Найти в Дзене

МРТ-Характеристики Лимфом Головного Мозга у Кошек и Собак

МРТ-Характеристики Лимфом Головного Мозга у Кошек и Собак Лимфомы центральной нервной системы (ЦНС) у собак и кошек встречаются относительно редко. Первичная лимфома ЦНС (PCNSL) – это опухоль, исходящая из тканей мозга/спинного мозга или оболочек, без признаков системного поражения на момент диагностики. У собак на PCNSL приходится около 4% всех лимфомmdpi.com и примерно 3–5% первичных внутричерепных опухолейmdpi.com. У кошек первичные лимфомы ЦНС еще более редки (менее 3% всех первичных опухолей ЦНС)mdpi.com, хотя лимфома – второй по частоте внутримозговой опухолевый процесс у кошек после менингиомыpubmed.ncbi.nlm.nih.govmdpi.com. Чаще ЦНС поражается вторично при мультицентрической лимфоме: по разным данным, неврологические проявления выявляются у до 12% собак и 8–14% кошек с системной лимфомойmdpi.com. Вторичные лимфомы ЦНС могут быть результатом гематогенного метастазирования, непосредственного прорастания (например, из носовой полости, позвоночника) или инфильтрации оболочек при ра
Оглавление

МРТ-Характеристики Лимфом Головного Мозга у Кошек и Собак

МРТ-характеристики лимфом ЦНС у собак и кошек: руководство и обзор исследований

Введение: виды лимфом ЦНС у животных

Лимфомы центральной нервной системы (ЦНС) у собак и кошек встречаются относительно редко. Первичная лимфома ЦНС (PCNSL) – это опухоль, исходящая из тканей мозга/спинного мозга или оболочек, без признаков системного поражения на момент диагностики. У собак на PCNSL приходится около 4% всех лимфомmdpi.com и примерно 3–5% первичных внутричерепных опухолейmdpi.com. У кошек первичные лимфомы ЦНС еще более редки (менее 3% всех первичных опухолей ЦНС)mdpi.com, хотя лимфома – второй по частоте внутримозговой опухолевый процесс у кошек после менингиомыpubmed.ncbi.nlm.nih.govmdpi.com. Чаще ЦНС поражается вторично при мультицентрической лимфоме: по разным данным, неврологические проявления выявляются у до 12% собак и 8–14% кошек с системной лимфомойmdpi.com. Вторичные лимфомы ЦНС могут быть результатом гематогенного метастазирования, непосредственного прорастания (например, из носовой полости, позвоночника) или инфильтрации оболочек при распространенной форме заболевания.

Формы поражения. Различают несколько форм лимфом ЦНС:

  • Внутримозговые (паренхиматозные) – поражают головной или спинной мозг, образуя внутрипаренхиматозные узлы или диффузные инфильтраты.
  • Менингеальные – исходят из мозговых оболочек (пахименингеальные – твердая мозговая оболочка; лептоменингеальные – мягкая и паутинная оболочки). У кошек менингеальная форма встречается особенно часто: по одной серии, менингеальные опухоли выявлены в 58% случаев внутричерепных лимфом кошекmdpi.com. У собак первичные менингеальные лимфомы редки (9% внутричерепных лимфом, чаще как часть мультицентрического процесса)mdpi.com.
  • Лимфоматоз мозговых оболочек (leptomeningeal lymphomatosis) – диффузное поражение лептоменинкса без образования крупного узла. Проявляется распространенным скоплением опухолевых лимфоцитов в субарахноидальном пространстве, иногда с пропитыванием поверхностного слоя мозгаmdpi.commdpi.com. Такая форма описана и у собак, и у кошек, может быть первичной или вторичной; в литературе у кошек лептоменингеальный лимфоматоз чаще ассоциирован с Т-клеточным иммун фенотипом опухолиmdpi.com.
  • Внутрисосудистая (ангиоцентрическая) лимфома – редкий вариант, при котором опухолевые лимфоциты пролиферируют преимущественно внутри просветов мозговых сосудов. Макроскопически очаги могут быть диффузными, без чётких границ. По МРТ эта форма проявляется как множественные мелкие очаги T2/FLAIR-гиперинтенсивности с относительно изоинтенсивным или гипоинтенсивным сигналом на T1, зачастую без массивного контрастированияmdpi.com. Диагностика интраваскулярной лимфомы сложна и требует гистологии; на МРТ она может имитировать воспалительные или ишемические процессы.
  • Первично спинальные – лимфомы, поражающие спинной мозг, корешки или позвоночный канал. У собак они нередко вторичные (часть мультицентрической лимфомы), тогда как у кошек встречаются и как первичные изолированные опухоли спинного мозгаmdpi.com. Выделяют экстрадуральные лимфомы (в эпидуральном пространстве позвоночного канала), интрадурально-экстрамедуллярные (узлы под твердой оболочкой, сдавливающие спинной мозг) и интрамедуллярные (в толще спинного мозга) пораженияmdpi.commdpi.com. Например, у кошек наиболее типична экстрадуральная эпидуральная лимфома пояснично-крестцового отделаbohrium.com.

Иммун фенотип. У животных лимфомы ЦНС могут быть как B-клеточными, так и T-клеточными. У собак частота примерно одинаковая (по совокупным данным ~50/50)mdpi.com, тогда как у кошек преобладают B-клеточные лимфомыmdpi.com. B-клеточный тип – чаще диффузная крупноклеточная B-лимфома – доминирует и при системных лимфомах с метастазами в мозгmdpi.com. Т-клеточные формы встречаются реже; у кошек T-иммун фенотип наблюдается главным образом при некоторых особых формах (например, лимфоматоз ЦНС при FeLV-инфекции). Так, крупноклеточная Т-лимфома, исходящая из ЖКТ, может вторично поражать головной мозг, имитируя первичную диффузную инфильтрациюmdpi.com. Важно отметить, что чётких различий МР-картины между B- и T-лимфомами в ветеринарной практике не установлено – оба типа способны вызывать сходные по виду очаги. Однако по патоморфологии B-лимфомы чаще образуют объемные узловатые поражения (экстра- или интрааксиальные массы), тогда как T-лимфомы несколько чаще связаны с диффузными инфильтративными формами (например, лептоменингеальный или интраваскулярный рост)mdpi.commdpi.com.

МРТ-особенности лимфом ЦНС на разных последовательностях

Магнитно-резонансная томография – основной метод in vivo диагностики опухолей нервной системы у животных. Хотя МРТ-признаки лимфомы ЦНС неспецифичны (нет патогномоничного сигнала, полностью отличающего ее от других опухолей)mdpi.compubmed.ncbi.nlm.nih.gov, существуют характерные сочетания находок. Ниже рассмотрены типичные изменения на разных режимах сканирования:

  • T1-взвешенные изображения (T1 ВИ): Очаги лимфомы обычно гипо- или изоинтенсивны по отношению к коре головного мозга на нативных T1. В одном исследовании ~58% поражений были гипоинтенсивны на T1, остальные изоинтенсивныpubmed.ncbi.nlm.nih.gov. Такая сравнительно низкая интенсивность связана с плотной клеточностью опухоли и отсутствием жира. Выраженных спонтанных гиперинтенсивных участков на T1, как правило, нет (исключая случаи с кровоизлияниями или обширным некрозом). Например, у кошек со спинальной лимфомой очаги на T1 обычно изоинтенсивны к спинному мозгуbohrium.com.
  • T2-взвешенные изображения (T2 ВИ): Для лимфом характерен гиперинтенсивный сигнал на T2 в зоне поражения за счет высокой клеточности и отека. В большинстве случаев опухолевый очаг выглядит ярче белого вещества на T2pubmed.ncbi.nlm.nih.gov. По отношению к серому веществу сигнал может быть изо- или слегка гиперинтенсивнымpubmed.ncbi.nlm.nih.gov. Практически во всех наблюдениях (100% в серии Palus et al.) лимфомы у животных были T2-гипер-интенсивнымиpubmed.ncbi.nlm.nih.gov. Однако интенсивность на T2 может варьировать в зависимости от наличия некроза: отмечено, что необычно низкий сигнал на T2 у части лимфом коррелирует с обширными некрозами при гистологииbohrium.com (что является неблагоприятным признаком прогноза).
  • FLAIR (Fluid Attenuated Inversion Recovery): На FLAIR-изображениях паренхиматозные очаги лимфомы, как правило, не затухают полностью, остаются видимыми как гипер- или изоинтенсивные областиpubmed.ncbi.nlm.nih.govmdpi.com. Окружающий вазогенный отек дает зону гиперинтенсивности на FLAIR, облегчающую выявление инфильтрации. В половине случаев, по данным Palus et al., сама опухоль проявлялась гиперинтенсивно на FLAIR (5 из 9 обследованных очагов), в остальных – изоинтенсивноpubmed.ncbi.nlm.nih.gov. В большинстве наблюдений вокруг очага лимфомы видны нечёткие гиперинтенсивные зоны на FLAIR, отражающие перифокальный отёк (в 7 из 9 случаев)pubmed.ncbi.nlm.nih.gov. Таким образом, FLAIR-взвешенные снимки лучше демонстрируют отек и инфильтрацию, чем нативные T1/T2, и часто показывают перилезиционные изменения даже при относительно изоинтенсивной самой опухоли.
  • STIR (Short Tau Inversion Recovery): Хотя STIR-протокол традиционно применяется для подавления жира (например, при МРТ позвоночника), при поражениях ЦНС его роль аналогична FLAIR. Очаги лимфомы на STIR выглядят яркими (гиперинтенсивными) за счет высокого содержания воды. В позвоночном канале STIR помогает отличить опухолевую ткань от жировой клетчатки эпидурального пространства. Например, у кошек со спинальной эпидуральной лимфомой на STIR-сканах наблюдалось циркулярное гиперинтенсивное уплотнение вокруг спинного мозгаbohrium.com, вытесняющее нормальный сигнал жира. Таким образом, STIR-последовательность полезна для выявления эпидуральных лимфом, обеспечивая хороший контраст между опухолью и окружающими тканями.
  • Диффузионно-взвешенная МРТ (DWI) и ADC: Диффузия – перспективная методика для отличия высокоцеллюлярных опухолей. Лимфома ЦНС обычно имеет выраженно ограниченную диффузию, что на DWI проявляется как гиперинтенсивность очага при пониженном коэффициенте диффузии (ADC)onlinelibrary.wiley.com. Это обусловлено плотной упаковкой опухолевых клеток и высоким ядерно-цитоплазматическим соотношением, затрудняющим движение воды. В человеческой нейроонкологии DWI считается ценным при диагностике ЦНС-лимфомonlinelibrary.wiley.com – эти опухоли часто демонстрируют более низкий ADC, чем глиомы или метастазы. В ветеринарии данные пока ограничены отдельными случаями, но тенденция аналогична. Так, у кошек с В-клеточной лимфомой головного мозга DWI/ADC тоже может помогать в дифференциации, хотя для надежного выявления требуется МР-томограф высокой напряженности поляjournals.sagepub.com. В опубликованных кейсах на аппаратах 1,5–3 Тл лимфомы показывали зоны сниженного ADC. Однако на практике DWI не всегда выполняется: например, в одном сообщении низкопольный 0,4 Тл томограф не позволил чётко оценить ADC очагаpmc.ncbi.nlm.nih.gov. Тем не менее, если при наличии опухолевого узла определяется выраженное ограничение диффузии, это скорее в пользу лимфомы, тогда как менингиомы обычно диффузию не ограничивают (ADC повышен), а высокозлокачественные глиомы могут иметь смешанную картину из-за некрозов.
  • Контрастное усиление: Почти все лимфомы ЦНС у животных накапливают контраст благодаря нарушению гематоэнцефалического барьера. Контрастирование, как правило, умеренное или интенсивное и относительно однородноеmdpi.compubmed.ncbi.nlm.nih.gov. В ретроспективе по кошкам с неврологическими лимфомами усиление отмечено во всех поражениях (100%), при этом в 25 из 30 случаев оно было выраженным (гомогенно насыщенным)pubmed.ncbi.nlm.nih.gov. У собак схожие данные: Palus et al. сообщают о «генерализованном» (диффузном) контрастировании более чем в половине наблюденийpubmed.ncbi.nlm.nih.gov. Чаще всего накопление контраста однородное по всей массе опухоли. Гетерогенность усиления или кольцевидный тип (ring-enhancement) встречаются реже – обычно при наличии центрального некроза или полостей внутри опухоли. Например, многоузловая менингеальная лимфома у собаки описана с неоднородным контрастированием за счет кист и кровоизлиянийmdpi.com, однако это скорее исключение. Также характерно усиление мозговых оболочек вблизи опухоли: у 80–100% пациентов наблюдают сопутствующее линейное контрастирование мягкой или твердой мозговой оболочкиpubmed.ncbi.nlm.nih.govpubmed.ncbi.nlm.nih.gov. Такое менингеальное «подтекание» контраста отражает либо поверхностное распространение лимфомы по оболочкам, либо реактивный гиперемированный лептоменингит. Важно отметить, что нечеткие границы и диффузное пропитывание контрастом вокруг узла – распространенная картина при лимфомеmdpi.com. Это отличает ее от многих менингиом (у тех обычно четкая граница) и от метастазов (обычно имеют ограниченный узел). Тем не менее встречаются случаи, когда лимфома проявляет себя, казалось бы, как типичная менингиома – например, дуральный «хвост» на контрастных T1. Хотя раньше считалось, что признак «dural tail» специфичен для менингиомы, в последние годы описаны лимфомы с аналогичным феноменомmdpi.com. Поэтому наличие дурального усиления не гарантирует доброкачественности процесса.
  • Отек и масса-эффект: Практически все внутримозговые лимфомы вызывают перифокальный вазогенный отек и соответствующий им масс-эффект (смещение структур мозга). В серии из 12 животных у всех наблюдался заметный масс-эффектpubmed.ncbi.nlm.nih.gov. Отек может быть обширным несоразмерно размеру самой опухоли, особенно при глубоких перивентрикулярных лимфомах. Считается, что у собак лимфомы и глиомы высокой степени злокачественности вызывают более выраженный отек, чем менингиомыmdpi.com. Вследствие этого неврологическая симптоматика (повышение ВЧД, отёчный синдром) при лимфоме часто ярко выражена. На МРТ отек визуализируется как гиперинтенсивная зона на T2/FLAIR вокруг опухоли. При значительном отеке могут наблюдаться эффекты вклинения (например, смещение срединных структур).

Примечание: несмотря на описанные характерные черты, изолированно ни один признак не является уникальным для лимфомыpubmed.ncbi.nlm.nih.gov. Например, гипоинтенсивность на T1 и гиперинтенсивность на T2 свойственны большинству внутримозговых опухолей (от глиом до метастазов); контрастное усиление встречается у всех злокачественных новообразований ЦНС; перифокальный отёк также неспецифичен. Поэтому диагностика основывается на совокупности МРТ-данных в контексте клиники. Однако некоторые сочетания должны настораживать именно в сторону лимфомы – об этом далее.

Варианты МР-картины и дифференциальная диагностика

Типичные МРТ-образы. Лимфома ЦНС может выглядеть по-разному. Описаны несколько типовых паттернов на МРТ:

  • Экстрааксиальная масса: у кошек нередко наблюдается очаг, прилежащий к оболочкам, имитирующий менингиому – округлый, оболочечный, с широким основанием и усилением по периферииmdpi.commdpi.com. Однако при лимфоме такие массы часто сопровождаются диффузным менингеальным пропитыванием и инфильтрацией прилегающего вещества мозга, из-за чего их края менее чёткие. По данным Durand et al., у 22 кошек с внутричерепной лимфомой только 7 случаев были чисто экстрааксиальными узлами, тогда как 13 имели смешанный характер (одновременно внутри- и внепаренхиматозное распространение)pubmed.ncbi.nlm.nih.gov. Иными словами, для кошек особенно типично сочетание менингеального и паренхиматозного компонентов поражения. У собак экстрааксиальные лимфомы встречаются тоже, но реже; более половины случаев представляют именно внутримаозговые или смешанные по локализации очагиpubmed.ncbi.nlm.nih.govpubmed.ncbi.nlm.nih.gov. Экстрааксиальные лимфомы могут фиксироваться к твердой мозговой оболочке и даже давать признак «хвоста» на контрастеmdpi.com, однако в отличие от менингиом они часто множественные и не вызывают реакции кости (гиперостоза черепа, как это бывает при менингиомах, не отмечается).
  • Внутриаксиальный узел: крупное солидное образование в паренхиме мозга – еще один распространенный вариант. Чаще такие узлы локализуются глубоко, перивентрикулярно (например, в области таламуса, базальных ядер, мозолистого тела). У собак некоторые лимфомы обнаруживаются в коре и подкорковых отделах переднего мозга (ростротенториально)pubmed.ncbi.nlm.nih.gov. По наблюдениям Palus et al., у 6 из 8 собак лимфома поражала передний отдел головного мозга, а у 2 из 4 кошек – заднюю черепную ямку (ствол/мозжечок)pubmed.ncbi.nlm.nih.gov. Однако более поздние работы указывают, что и у кошек часты поражения лобно-теменной области: в серии Fonti et al. у 60% кошек с менингеальными лимфомами были задействованы лептоменинги передних долейmdpi.com. Поэтому конкретная локализация варьирует, но перивентрикулярные области (таламус, третьий желудочек, мозолистое тело) заслуживают внимания – поражение этих зон с двусторонним компонентом (“бабочкообразный” очаг в корпусе каллозум) считается подозрительным на лимфомуajronline.org. Внутримозговой узел лимфомы на МРТ часто гомогенно контрастируется и может напоминать метастаз или высокозлокачественную глиому. Ключевые отличия – сопутствующее менингеальное усиление (например, утолщение прилежащих оболочек) и отсутствие обширного центрального некроза, который типичен для глиобластом. Кроме того, лимфома склонна распространяться по перивенникулярным пространствам и через мозолистое тело на противоположную сторону – это менее характерно для глиом собакradiopaedia.org.
  • Диффузное инфильтративное поражение: иногда лимфома не образует четкого узла, а диффузно инфильтрирует большие участки мозга – состояние, известное как лимфоматоз головного мозга (lymphomatosis cerebri). В таких случаях на МРТ можно не увидеть явной массы; отмечаются лишь диффузные изменения белого вещества – гиперинтенсивность на T2/FLAIR, слабое или отсутствующее контрастирование, легкий объемный эффект. Подобная картина может симулировать воспалительную демиелинизацию или энцефалит. Описано несколько случаев у собак и кошек, в том числе T-клеточные лимфомы у кошек с исключительно диффузным поражением (без узла)mdpi.com. Важно помнить, что нормальная или почти нормальная МРТ при наличии неврологических симптомов не исключает лимфомуmdpi.com, особенно если животное ранее получало кортикостероиды (см. ниже). В подобных ситуациях диагноз ставится только на основании анализа цереброспинальной жидкости (ЦСЖ) или биопсии.
  • Вентрикулярное/суправентрикулярное поражение: редкий, но примечательный вариант – лимфома сосудистых сплетений и желудочков. Недавняя работа (Lampe и соавт., 2021) описала 6 животных (5 собак и 1 кошку) с лимфомой, поражавшей хориоидальные сплетения желудочковmdpi.com. Клинически это проявлялось упорным гидроцефальным синдромом. На МРТ такие опухоли визуализировались как внутрижелудочковые узлы в области сплетений, интенсивно накапливающие контрастmdpi.com. Часто отмечалось расширение соответствующего желудочка (окклюзионная гидроцефалия). Дифференцировать эти поражения следует от опухолей сосудистого сплетения (папилломы/карциномы) и других внутрижелудочковых новообразований (ependymoma, др.) – лимфома обычно более диффузно инфильтрирует стенки желудочка и может сочетаться с лептоменингеальным распространением (лимфоматозом оболочек), тогда как папиллома сплетения чаще одиночная и имеет сосочковую структуру. При наличии множественных узелков по ходу эпендимы желудочков, равномерно усиливающихся с контрастом, следует подумать о лимфомеmdpi.com.
  • Спинальные формы: МРТ паттерны лимфомы спинного мозга различаются в зависимости от уровня и типа поражения. Наиболее частый – эпидуральная (экстрадуральная) лимфома в пояснично-крестцовом отделе у кошек и собакbohrium.com. Она проявляется как нечетко отграниченная мягкотканная масса в позвоночном канале, окружая или смещая спинной мозг, часто по длине превышающая один позвонокbohrium.com. Сигнал такой массы: гиперинтенсивный на T2, изоинтенсивный на T1, контрастирование вариабельное (от умеренного до выраженного)bohrium.combohrium.com. Обычно наблюдается значимое компрессионное воздействие на спинной мозг, вплоть до его сплющивания. Другой тип – интрадурально-экстрамедуллярные узлы (например, лимфома конского хвоста или корешков): на МРТ они дают картину “капли на нитке” (каплевидное заполнение субарахноидального пространства на миелографических снимках) и могут напоминать оболоточные опухоли (менингеомы) или нервные опухоли (невриномы). Отличие – лимфома чаще множественная и может сочетаться с внутримозговыми очагами. Интрамедуллярная лимфома спинного мозга встречается редко, но описана: на МРТ виден набухший сегмент спинного мозга с диффузной Т2-гиперинтенсивностью и контрастированием, что неотличимо от, к примеру, глиомы спинного мозга. В таких случаях диагноз также ставят гистологически или по анализу ЦСЖ. В целом при МРТ-оценке позвоночника лимфому следует включать в дифференциалы при обнаружении протяженного эпидурального утолщения с компрессией или множественных узлов вдоль корешков, особенно у кошек с FeLV или у собак с сопутствующей лимфаденопатией.

Таблица: Сравнение МРТ-признаков лимфомы и других внутричерепных опухолей

ПризнакЛимфома ЦНС (собака/кошка)Менингиома (собака/кошка)Глиома (астро-/олигодендроглиома)Метастазы (разные опухоли)ЛокализацияЧасто глубокие структуры, перивентрикулярно; нередко множественные, с вовлечением оболочекmdpi.commdpi.com. У кошек часты сочетанные менингеально-паренхиматозные пораженияpubmed.ncbi.nlm.nih.gov.Обычно экстрааксиальная одиночная масса, прилежащая к твердой оболочке (конвекситальная, парасагиттальная, тенториальная). У кошек могут быть множественные менингиомы, но очаги дискретныmdpi.com.Интрааксиальная опухоль, чаще солитарная. У собак глиомы преимущественно в больших полушариях (лобные, височные доли) или стволе (брахицефалы). Множественные первичные глиомы крайне редки.Чаще множественные узлы по серо-белому переходу, либо распространение по оболочкам (карциноматоз). Возможна локализация в зависимости от первичного источника (напр. метастазы носовой карциномы – в обонятельных долях).Контуры и формаЧасто нечеткие, инфильтративные границыpubmed.ncbi.nlm.nih.govmdpi.com; может быть неправильной формы узел с «прорастающими» краями. Возможна лептоменингеальная диссеминация вдоль борозд.Четко отграниченная, обычно округлая или плоско-овальная (плакообразная) массаmdpi.com. Прилежит к твердой мозговой оболочке, может вызывать её утолщение (дуральный хвост).Варьирует: диффузные размытые края у высокозлокачественных (астроцитома гр. IV), либо относительно четкие у более доброкачественных (олигодендроглиома гр. II). Некоторые глиомы имеют неправильную форму с пальцевидным ростом.Четкие узловые контуры при метастатических узлах; при менингеальном канцероматозе – диффузное покрытие оболочек узелками. Метастазы обычно сферические или овальные, иногда сливающиеся.Сигнал на T1Гипоинтенсивный или изоинтенсивный относительно серого веществаpubmed.ncbi.nlm.nih.gov. Однородный по сигналу (если нет некроза). Геморрагии редки, кроме случаев после биопсии.Обычно изоинтенсивный к серому веществу; иногда слегка гиперинтенсивный (за счет высокопротеинового содержимого). Может содержать гиперинтенсивные включения (кальцинаты, кровь) у некоторых видов менингиом.Чаще гипо-/изоинтенсивный. Высокозлокачественные глиомы могут иметь участки гиперинтенсивности (метагемоглобин в кровоизлияниях или белок от некроза). В целом неоднородность выше, чем у лимфом.Большинство метастазов – гипо- или изоинтенсивны. Меланома может давать очень высокий сигнал на T1 (за счет меланина), геморрагические метастазы тоже. Сигнал зависит от ткани первичной опухоли.Сигнал на T2Гиперинтенсивный, обычно однородно (все опухолевое поле ярче белого вещества)pubmed.ncbi.nlm.nih.gov. Может быть умеренно повышенным или изо-корковым по интенсивностиpubmed.ncbi.nlm.nih.gov. Некротические области, если есть, могут выглядеть как участки пониженной интенсивности внутри.Чаще изо- или умеренно гиперинтенсивный относительно коры. Могут встречаться гипоинтенсивные зоны от кальцификатов. Вариант – кистозная менингиома: большое гиперинтенсивное (на T2) кистозное пространство с тонким периферическим узломmdpi.com.Гетерогенный сигнал: склонность к смешанной картине – чередование гипер- и гипоинтенсивных областей из-за некрозов, кист, опух.ткании. Относительно однородно гиперинтенсивны лишь низкозлокачественные глиомы.Как правило, окружены выраженным вазогенным отеком (T2-гиперинтенсивным). Сама метастатическая ткань может быть разной: аденокарцинома – изо-/гипо- на T2, гемангиосаркома – неоднородная с геморрагиями, и т.д. Общая черта – отек обычно очень выражен.КонтрастированиеПочти всегда есть. Чаще гомогенное интенсивное усилениеpubmed.ncbi.nlm.nih.govmdpi.com по всему объему. В 50–60% случаев – диффузное (сплошное) контрастирование очагаpubmed.ncbi.nlm.nih.gov. Кольцевидное усиление встречается редко (при распаде опухоли). Часто сопровождается усилением менингеальных структур вокругpubmed.ncbi.nlm.nih.govpubmed.ncbi.nlm.nih.gov.Чёткое интенсивное усиление по периферии опухоли («плащеобразное»). Обычно однородное у классических менингиом; у некоторых – гетерогенное (если есть кисты, кальцинаты). Часто виден «дуральный хвост» – линейное контрастирование твердой оболочки отходящее от опухоли.Зависит от степени злокачественности: высокозлокачественные глиомы обычно дают кольцевое или неравномерное контрастирование из-за центрального некроза (кольцо по периферии с неусиливающимся центром). Низкозлокачественные глиомы могут вообще не накапливать контраст или слабо накапливать.Как правило, выраженное контрастирование узлов. Метастазы часто усиливаются гетерогенно или по кольцевому типу (особенно из солидных карцином). Множественные очаги разного размера с кольцевым усилением у собаки – сперва подозревают метастазы, но лимфома тоже может давать несколько узлов.Отек, реакция тканейВыраженный перифокальный отек почти всегда (у большинства животных отмечен)pubmed.ncbi.nlm.nih.gov. Иногда отек непропорционально велик (например, при перивентрикулярной лимфоме – тяжелая окклюзионная гидроцефалия, отёк мозга). Реактивный менингит част.Обычно отек умеренный или незначительный, за исключением злокачественных менингиом. У кошек менингиомы часто почти без отека. Реакция кости: гиперостоз под опухолью (у 15–20% менингиом собак).Высокозлокачественные глиомы вызывают сильный вазогенный отёк (сопоставимо с лимфомой). Низкозлокачественные – минимальный отёк. Реактивные изменения: возможно кровоизлияние в окружающую ткань при глиобластомах.Отек обычно сильно выражен (что и дает основную неврологическую симптоматику). Возможны кровоизлияния вокруг. Реактивный лептоменингит встречается редко (только при распространении опухоли на оболочки).Диффузия (DWI/ADC)Ограничена диффузия: повышенный сигнал на DWI, пониженный ADConlinelibrary.wiley.com (высокая клеточность). В случаях низкопольного МРТ может не оцениваться.Обычно нет ограничения: менингиома – опухоль с низкой клеточностью, ADC нормальный или повышен.Могут быть разные участки: в некрозах ADC повышен, по периферии может быть немного ограничена (высокая плотность клеток на краях). В целом для глиобластом характерна смешанная картина на DWI.Как правило, не ограничена, ADC нормальный или повышен. Исключение – очень клеточные метастазы (например, из лимфомы же или мелкоклеточного рака).Эффект терапииСтероиды могут резко уменьшить отёк и даже размер опухолевого поражения (особенность лимфом). Химиотерапия способна вызвать полное исчезновение контрастируемых очаговpmc.ncbi.nlm.nih.gov. Без лечения быстро прогрессирует, возможны новые очаги.Стероиды снижают отек, но саму менингиому существенно не уменьшат. Лучевая терапия вызывает постепенное сокращение объема опухоли. После хирургического удаления на МРТ может остаться дефект с контрастированием (рубец).Стероиды могут немного уменьшить отек и массу-эффект, но опухоль остаётся. Химиотерапия неэффективна (кроме некоторых олигодендроглиом). После радиотерапии глиомы могут некротизироваться – на МРТ появятся увеличенные зоны некроза.Стероиды уменьшают отёк вокруг метастазов, улучшая состояние, но опухолевые узлы остаются. Успешная химиотерапия метастатического рака может уменьшить размеры узлов, вплоть до исчезновения, но менингеальный канцероматоз трудно лечить (очаги на оболочках сохраняются).

Как видно из таблицы, МРТ-картина лимфомы может подражать и менингиоме, и глиоме, и метастатическому поражению. Тем не менее сочетание признаков – экстра- + интрааксиальный рост, многоочаговость, диффузное менингеальное усиление, сильное однородное контрастирование узлов при ограниченной диффузии – наиболее характерно для лимфомы ЦНСmdpi.commdpi.com. В клинической практике при обнаружении таких изменений у пациента (особенно с системной лимфомой в анамнезе) врачи обоснованно подозревают лимфому ЦНС. Окончательное подтверждение требует цитологического или гистологического исследования.

Влияние терапии на МРТ-картину (стероиды, химиотерапия)

Одной из сложностей диагностики лимфомы ЦНС является ее чувствительность к глюкокортикоидам. Кортикостероиды (преднизолон и др.) входят в стандарт лечения лимфопролиферативных заболеваний и способны быстро улучшать состояние пациента. Однако они же могут существенно изменить МР-картину. Стероиды уменьшают проницаемость сосудов и снимают отек – за счет этого МР-очаг лимфомы может значительно уменьшиться или временно исчезнутьmspca.org. У людей известен феномен «steroid response» при PCNSL, когда после курса стероидов опухолевой узел на МРТ становится невидимым. Аналогично и у животных: описаны случаи, когда предварительная стероидная терапия приводила к исчезновению контрастного усиления и затрудняла дальнейшую диагностикуmspca.orgmdpi.com. Поэтому важно по возможности проводить МРТ до начала лечения стероидами. Если же животное поступило уже на фоне гормонотерапии, негативная МРТ не исключает лимфомы – необходимо дополнительное обследование (цитология ЦСЖ, иммунная ПЦР и т.д.).

-2

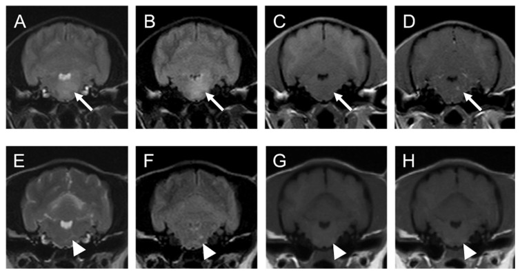
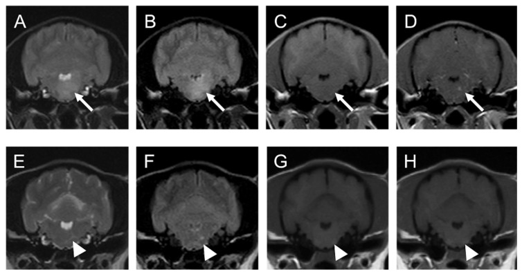
Химиотерапия (чаще всего протоколы с включением цитостатиков, проникающих через ГЭБ, например, высокие дозы цитозина-арабинозида, ломустин, протоколы типа CHOP) при лимфоме ЦНС может приводить к драматическому улучшению визуализации. Полная регрессия опухоли на МРТ – достижимая цель. В недавнем сообщении из Японии две собаки с PCNSL получали комбинацию нимустина (нитрозомочевина, аналог ломустина) и преднизолона: у них через несколько месяцев лечения неврологические симптомы полностью регрессировали, а контрольная МРТ показала исчезновение контрастируемых очаговpmc.ncbi.nlm.nih.govpmc.ncbi.nlm.nih.gov. На месте бывших поражений остались лишь небольшие участки повышенного T2-сигнала без накопления контраста, расцененные как глиоз (рубцовые изменения)pmc.ncbi.nlm.nih.govpmc.ncbi.nlm.nih.gov. Ремиссия сохранялась длительно – в одном случае собака прожила свыше 7 лет без рецидиваpmc.ncbi.nlm.nih.gov. Такой поразительный ответ подтверждает, что лимфома – опухоль радиочувствительная и хемочувствительная. На практике это означает, что МРТ «до и после» лечения может разительно отличаться: было объемное поражение с отеком – стало почти нормальное изображение мозга (рис. 1).

Однако, к сожалению, так бывает не всегда. Нередко после курса химиотерапии (особенно если он не включает проникающих через ГЭБ препаратов) сохраняются резидуальные опухолевые очаги. На МРТ они будут видны как уменьшившиеся, но всё же присутствующие узлы. Кроме того, возможны рецидивы: у части животных, даже достигших ремиссии, спустя месяцы появляются новые очаги лимфомы, часто в других отделах ЦНСbohrium.com. Поэтому при лечении лимфомы врачи контролируют состояние по повторным МРТ. Появление свежих контрастно накапливающих очагов на фоне ранее чистого скана указывает на рецидив или прогрессирование – требуются коррекция терапии. В целом, в отличие от многих других опухолей мозга, лимфома способна заметно уменьшаться под воздействием медикаментов, что является ценным диагностическим признаком (и одновременно ловушкой). Этот факт также используется практически: иногда проводят терапевтическую пробу – короткий курс преднизолона – и оценивают динамику. Значительное улучшение на МРТ и клинически за несколько дней косвенно поддерживает диагноз лимфомы (хотя окончательно утверждать нельзя без цитологии/гистологии)mspca.org.

Что касается лучевой терапии, то в литературе по ветеринарии её применение при лимфоме ЦНС описано мало, поскольку системная химиотерапия чаще дает хороший эффект. В человеческой онкологии облучение всего мозга вместе с химиотерапией улучшает контроль PCNSL. Можно ожидать, что на МРТ постлучевые изменения при лимфоме будут схожи с другими опухолями: уменьшение массы-эффекта, появление зон лучевого энцефалопатического изменения (белое вещество с диффузным T2/FLAIR-гиперинтенсивным сигналом).

Отдельно отметим новые подходы. В последние годы исследуются таргетные препараты (ингибиторы тирозинкиназ и др.) для лечения лимфом. В китайских обзорах предлагается, например, использование ингибитора BTK для продления ремиссии PCNSLcnsav.comxyqks.ijournals.cn – такие случаи у животных пока не опубликованы, но в будущем могут появиться. Это важно в контексте визуализации: новые препараты могут изменять характер роста опухоли, и, возможно, МРТ-признаки рецидивов станут иными (например, больше мелких очагов вместо одного крупного).

Локализация лимфом ЦНС: типичные и атипичные случаи

Головной мозг – супратенториальные vs инфратенториальные. У собак лимфома чаще поражает передний отдел мозга (полушария, диэнцефальную область)pubmed.ncbi.nlm.nih.gov. У кошек, согласно некоторым старым данным, нередки поражения задней черепной ямки (мозжечок, ствол)pubmed.ncbi.nlm.nih.gov, но более новые исследования показывают, что и у кошек превалирует вовлечение переднего мозга – особенно оболочек лобных, теменных долейmdpi.com. Видимо, обе группы локализаций возможны. Практически, лимфому стоит подозревать при опухолевых очагах нетипичного расположения: например, у собаки породы, не склонной к глиомам (небрахицефал), обнаружена глубинная опухоль таламуса или гипоталамуса – это наводит на мысль о лимфоме. Также лимфома может одновременно затронуть и супратенториальные, и инфратенториальные структуры (мультифокально). Например, описан случай кошки: массивная лимфоматозная инфильтрация лептоменинкса больших полушарий и диффузное распространение по оболочкам спинного мозгаmdpi.com. Такая комбинация (головной + спинной мозг) больше характерна для лимфопролиферативного процесса, чем для каких-либо других опухолей.

Атипичная локализация – желудочки, гипофиз, нервы. Мы уже упоминали про внутрижелудочковые лимфомы. Их надо отличать от папиллом сосудистого сплетения. Признаки в пользу лимфомы: быстрое развитие гидроцефалии, множественность очагов (например, одновременно в боковом и третьем желудочке), сопровождающийся менингит. В литературе также описаны лимфомы гипофиза у собак – они крайне редки, но могут имитировать аденому гипофиза на МРТ (объемное образование в области турецкого седла)mdpi.com. Однако лимфома гипофиза обычно связана с мультицентрическим процессом (поражение других органов).

Поражение черепных нервов и корешков – нейролимфоматоз – еще одна возможная форма. Например, системная В-лимфома у собаки может проявиться параличом тройничного нерва за счёт лимфоматозной инфильтрации гассерова узла и стволиков (описаны серии собак с подобной локализацией)mdpi.com. На МРТ это видится как утолщение соответствующего нерва с контрастированием, иногда с вовлечением смежных областей (кавернозного синуса и др.). Дифференцируют с невриномой – без гистологии не всегда возможно, но лимфома чаще множественная (например, одновременно поражает несколько черепных нервов или и периферические тоже). В спинном мозге аналогично: лимфома может инфильтрировать спинномозговые нервы, сплетения (особенно пояснично-крестцовое)pubmed.ncbi.nlm.nih.gov – на МРТ видны утолщения корешков конского хвоста, контрастно усиливающиеся.

Таким образом, типичные локализации лимфомы ЦНС – головной мозг (передние отделы у собак, оболочки полушарий у кошек), атипичные, но возможные – ствол, мозжечок, желудочки, гипофиз, оболочки спинного мозга, периферические нервы (при нейролимфоматозе). При встрече с опухолью в необычном месте, особенно у молодого животного или при множественных синхронных очагах, следует включать лимфому в дифференциальный ряд.

Клинические примеры и редкие формы

Ниже приведены некоторые клинические кейсы, иллюстрирующие обсуждаемые особенности.

Кейс 1. Собака, 3 года, генерализованная лимфома ЦНС. Пациент – той-пудель с остро возникшим синдромом вестибулярного поражения и глубокими расстройствами проприоцепцииpmc.ncbi.nlm.nih.gov. На МРТ выявлены множественные очаги: в левом таламусе и в продолговатом мозге – оба гиперинтенсивны на T2/FLAIR и слегка накапливают контрастpmc.ncbi.nlm.nih.gov. Также отмечается диффузное усиление мягких мозговых оболочек над этими областями. ЦСЖ-аналіз показал повышенный клеточный состав с моноцлональными В-лимфоцитамиpmc.ncbi.nlm.nih.gov. Диагноз – PCNSL, В-клеточный. Назначена химиотерапия (нимустин + преднизолон). Через 8 месяцев контрольная МРТ: все прежние очаги полностью исчезли, остались лишь точечные зоны глиоза без контрастированияpmc.ncbi.nlm.nih.govpmc.ncbi.nlm.nih.gov. Клинически – полная ремиссия, которая сохраняется свыше 2 лет (данные на момент публикации)pmc.ncbi.nlm.nih.gov.

Кейс 2. Кошка, 8 лет, первичная менингеальная лимфома. У животного – прогрессирующая эпилептиформная симптоматика и подострая тетрапарезия. На МРТ (1,5 Тл) обнаружено обширное утолщение лептоменинкса вдоль дорсальной поверхности головного мозга (область межполушарной щели и над теменными долями), которое изотропно гиперинтенсивно на T2 и резко, однородно накапливает контраст по всей протяженности. Паренхима мозга сдавлена, но четких внутримозговых узлов нет. Также контрастируются оболочки спинного мозга на всем протяжении (рис. 2). ЦСЖ – плеоцитоз с лимфобластами; кровь – антиген FeLV положительный. По результатам иммуногистохимии (биопсия оболочек) – T-клеточная лимфома. К сожалению, несмотря на начальный ответ на преднизолон, через 1 месяц состояние ухудшилось. Повторная МРТ показала увеличение толщины инфильтрата и появление очагов в мозге. Кошка была усыплена; патологоанатомически подтвержден генерализованный лептоменингеальный лимфоматоз.

Примечание: Рис. 2 составлен на основании описаний, так как изображения подобного редкого случая в открытом доступе труднодоступны; он схематически демонстрирует особенности лептоменингеального распространения.

Кейс 3. Собака, 10 лет, метастатическая лимфома ЦНС. У взрослого лабрадора с диагностированной ранее мультицентрической B-лимфомой (ремиссия 6 месяцев) внезапно развились судороги и атаксія. Предположен ЦНС-рецидив. МРТ мозга: множественные мелкие контраст-усиливающиеся узелки по ходу сосудистых сплетений боковых желудочков и диффузное усиление мягкой мозговой оболочки (рисунок похож на канцероматоз). Анализ ЦСЖ – атипичные крупные лимфоциты в большом количестве. Такой паттерн подтверждает вторичное поражение мозга при системной лимфоме (SCNSL). Собаке была проведена интратекальная химиотерапия (цитозар) по экспериментальной схеме, отмечено временное улучшениеpmc.ncbi.nlm.nih.gov, однако прогноз при столь диссеминированном поражении оказался неблагоприятным.

Эти случаи демонстрируют, насколько разной может быть МРТ-картина при лимфоме – от четкого узла до диффузного менингита, – а также подчеркивают значение комплексного подхода (учет системного статуса, исследование ЦСЖ, динамическое наблюдение).

Новейшие исследования (2020–2025) и международный опыт

В последние годы появилось несколько крупных исследований и обзоров, расширяющих наши знания о лимфомах ЦНС у мелких домашних животных:

  • Durand и соавт., 2022 (JVIM) – многоцентровое исследование лимфомы нервной системы у кошек. Проанализированы 31 случай кошек с подтвержденной лимфомой ЦНС и/или периферической нервной системыpubmed.ncbi.nlm.nih.gov. Работа показала, что у кошек лимфома часто одновременно поражает ЦНС и периферические нервы (в 12 из 31 случая были комбинации поражений)pubmed.ncbi.nlm.nih.gov. Интракранальные лимфомы у кошек проявляли несколько MRI-паттернов – экстрааксиальный, интрааксиальный, смешанный – причем более половины имели смешанный характер (одновременное вовлечение оболочек и паренхимы)pubmed.ncbi.nlm.nih.gov. Контрастирование отмечалось во 100% очагов, причем в 83% – интенсивноеpubmed.ncbi.nlm.nih.gov, а менингеальный «паттерн» усиления присутствовал почти во всех случаяхpubmed.ncbi.nlm.nih.gov. Авторы делают вывод, что хотя ни один признак не является уникальным, совокупность МРТ-данных вместе с клиникой и анализом ЦСЖ позволяет поставить обоснованный прижизненный диагноз лимфомыpubmed.ncbi.nlm.nih.gov. Этот труд – один из самых подробных на сегодня по кошкам, он систематизировал знания и подтвердил, что лимфома у кошек – очень разноликая “маскировщица” на МРТ.
  • Auger и соавт., 2021 (Front. Vet. Sci.) – МРТ экстрадуральных спинальных опухолей. В этот ретроспективный анализ включены 60 собак и 7 кошек с опухолями в эпидуральном пространстве позвоночного каналаmdpi.com. Цель – найти отличия между разными типами новообразований. Выяснилось, что лимфома – одна из самых частых причин экстрадуральных масс у кошек и собак наряду с менингиомами и саркомами. Для лимфомы наиболее характерны: локализация в поясничном отделе, протяженность более одного позвонка, кольцевое охватывание спинного мозга на аксиальных срезах и отсутствие разрушения костей позвонков (при вовлечении кости опухоль обычно распространяется вдоль костного мозга, не вызывая кортикального остеолиза)bohrium.combohrium.com. Этот признак – сохранение кортикального слоя позвонков – может помочь отличить лимфому от, скажем, остеосаркомы или метастазов в позвонки. Также подтверждено, что лимфомы на МРТ гиперintense on T2, iso on T1, как упоминалось ранееbohrium.com. Данное исследование обобщило опыт многих клиник и стало полезным для диагностики спинальных новообразований.
  • Lampe и соавт., 2021 (J. Small Anim. Pract.) – лимфома с поражением сосудистых сплетений. Как уже упоминалось, этот труд описывает серию случаев, где лимфома затронула хориоидальные сплетения желудочков у 6 животныхmdpi.com. Помимо самого факта необычной локализации, авторы акцентировали, что все эти случаи имели выраженную внутреннюю гидроцефалию, а на МРТ наблюдался характерный вид: контрастнопозитивные узлы в желудочках + диффузное усиление ependymal lining (эпендимы)mdpi.com. Такие находки следует расценивать как высоко подозрительные на лимфому, особенно у пациентов с известной лимфомой вне мозга. Эта статья заполнила пробел в литературе, показав, что лимфома может «прятаться» и в желудочках, а не только в ткани мозга или оболочках.
  • Fonti и соавт., 2023 (Animals, MDPI) – патоморфологическое исследование 92 случаев лимфом нервной системы у кошек и собак с обзором литературыmdpi.com. Хотя основная цель – морфология, в обсуждении приводится обзор данных по нейровизуализации из разных источников. Подтверждены эпидемиологические особенности: у собак B- и T-тип представлены почти поровну, у кошек доминируют B-клеточные опухолиmdpi.com; менингеальная локализация более характерна для кошек (до 30–100% внутричерепных лимфом по разным работам)mdpi.com, у собак – редка. Описаны девять паттернов распространения (в т.ч. уже упомянутые: узловой, менингеальный, лептоменингеальный, интраваскулярный, лимфоматозный и пр.)mdpi.com. Этот обзор ценен тем, что собрал воедино множество разрозненных сообщений. Отмечено, что диагностическая чувствительность МРТ при лимфоме сильно варьирует – от 0 до 100% по разным авторамmdpi.com, т.е. одни исследователи ставили предварительный диагноз правильно в каждом случае, а другие – наоборот, часто ошибались. Это подчеркивает необходимость дальнейших усилий для идентификации надежных критериев.
  • Работы из Восточной Азии (Китай, Япония, Корея). В странах Азии ветеринарные онкологи также активно изучают лимфомы ЦНС. Многие исследования публикуются на английском языке, но есть и обзоры на родных языках. Например, японские врачи описали первый случай PCNSL у молодой собаки (3 года) – B-клеточная лимфома мозга у мальтийской болонкиpubmed.ncbi.nlm.nih.gov. Южнокорейские специалисты сообщили о Т-клеточной мультицентрической лимфоме с поражением ЦНС у кокер-спаниеляkoreascience.kr – случай, который иллюстрирует, что даже при отрицательной МРТ (вначале подозревали инсульт) в итоге диагноз подтвердился при вскрытии. В Китае в 2020-х годах вышло несколько обзоров по человеческим PCNSL, и хотя они не напрямую о ветеринарии, китайские ветеринары перенимают опыт: обсуждается использование PET/CT для оценки ремиссии (пока скорее в исследованиях)whosaeng.comkormedi.com, высокодозная химиотерапия с метотрексатом (у людей – стандарт для PCNSL) и ее потенциальная применимость у собак. Таким образом, международный опыт консолидируется: ключевые выводы разных языковых источников совпадают – МРТ незаменима для выявления и мониторинга лимфомы ЦНС, но окончательная верификация нужна гистологическая; новые методы визуализации (диффузия, PET) улучшают диагностику; комбинированная терапия дает шанс на длительную ремиссию.

Заключение

Лимфома центральной нервной системы у собак и кошек – сложное в диагностическом отношении заболевание, способное имитировать практически любые объемные процессы мозга. Современное МРТ-исследование позволяет выявить характерные признаки: T2/FLAIR-гиперинтенсивный инфильтративный очаг с сильным однородным контрастированием, размытыми границами, обширным отеком и сопутствующим менингеальным усилениемpubmed.ncbi.nlm.nih.govmdpi.com. Выявление таких изменений (особенно множественных или необычной локализации) у пациента с системными проявлениями лимфопролиферативного процесса должно настораживать клинициста. Дифференциальная диагностика проводится с глиомами, менингиомами, метастазами и инфекционно-воспалительными болезнями (гранулематозным менингоэнцефалитом и др.). Ни один метод нейровизуализации не дает 100% уверенности, поэтому пункция ЦСЖ с цитологией и/или биопсия остаются золотым стандартом подтверждения диагнозаpubmed.ncbi.nlm.nih.gov.

Тем не менее, МРТ – незаменимый инструмент не только для постановки диагноза, но и для планирования лечения и мониторинга. Лимфома относится к опухолям, которые могут полностью регрессировать под действием химиолучевой терапии, что видно и клинически, и на МРТpmc.ncbi.nlm.nih.gov. Таким образом, своевременно поставленный диагноз дает шанс на успешное лечение и длительную ремиссию даже при тяжелом поражении ЦНС. Совокупный опыт последних лет, отраженный в международной литературе (англоязычной, а также работах из Китая, Японии, Кореи), повышает нашу осведомленность и позволяет разрабатывать оптимальные схемы диагностики и терапии для спасения неврологических пациентов.

Источники:

  1. Palus V. et al. MRI features of CNS lymphoma in dogs and cats. Vet Radiol Ultrasound. 2012;53(1):44-49pubmed.ncbi.nlm.nih.govpubmed.ncbi.nlm.nih.gov.
  2. Durand A. et al. Clinical and MRI features of lymphoma involving the nervous system in cats. J Vet Intern Med. 2022;36(2):679-693pubmed.ncbi.nlm.nih.govpubmed.ncbi.nlm.nih.gov.
  3. Fonti N. et al. Neuropathology of CNS lymphoma in dogs and cats: 92 cases (1994–2022) + literature review. Animals (Basel). 2023;13(5):862mdpi.commdpi.com.
  4. Akiyoshi H. et al. MRI findings (including DWI) in 7 cats with nasal lymphoma vs 2 with adenocarcinoma. J Feline Med Surg. 2021;23(5):393-399pmc.ncbi.nlm.nih.gov.
  5. Hidaka Y. et al. Successful treatment of CNS lymphoma with nimustine + prednisolone in two dogs. Vet Sci. 2023;10(9):533pmc.ncbi.nlm.nih.govpmc.ncbi.nlm.nih.gov.
  6. Auger M. et al. MRI features of extradural spinal neoplasia in 60 dogs and 7 cats. Front Vet Sci. 2021;7:610490bohrium.combohrium.com.
  7. Lampe R. et al. MRI of CNS lymphoma with choroid plexus involvement in 5 dogs and 1 cat. J Small Anim Pract. 2021;62(8):690-699mdpi.commdpi.com.
  8. Rossmeisl JH et al. Effect of corticosteroids on MRI features in dogs with brain tumors. J Vet Intern Med. 2025;39(3):e70126pmc.ncbi.nlm.nih.govpmc.ncbi.nlm.nih.gov.
  9. Kim NH et al. Primary CNS B-cell lymphoma in a young dog (case report). Can Vet J. 2012;53(5):559-564pubmed.ncbi.nlm.nih.gov.
  10. Прочие источники: обзоры и онлайн-ресурсы (MSPCA NeuroOncologymspca.org; Brainmed (China) PCNSL reviewwhosaeng.com; Gifu Univ. Vet. Journal Club (Japan)animalhospital.gifu-u.ac.jp; и др.), подтверждающие сходные данные.