Добавить в корзинуПозвонить
Найти в Дзене
NEWS.ru

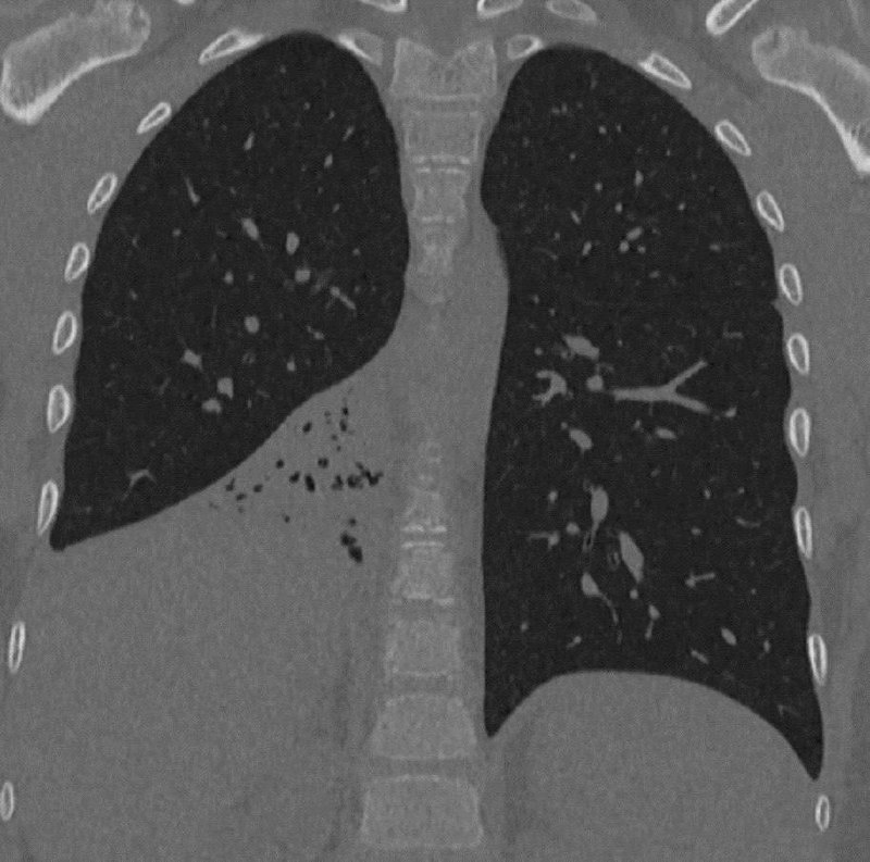
Пластиковый колпачок полгода скрывался в бронхах ребенка

Пластиковый колпачок полгода скрывался в бронхах ребенка. Восьмилетний мальчик в течение шести месяцев страдал от повторяющихся пневмоний и постоянно болел. Врачи Центра Рошаля выяснили, что в бронхах школьника застрял пластиковый колпачок, из-за которого было воспалено правое легкое и нарушена его работа. После удаления инородного предмета пациент пошел на поправку. ⭕ Подписаться | Прислать новость | Буст

Пластиковый колпачок полгода скрывался в бронхах ребенка.

Восьмилетний мальчик в течение шести месяцев страдал от повторяющихся пневмоний и постоянно болел. Врачи Центра Рошаля выяснили, что в бронхах школьника застрял пластиковый колпачок, из-за которого было воспалено правое легкое и нарушена его работа. После удаления инородного предмета пациент пошел на поправку.

Подписаться | Прислать новость | Буст

-2
-3