Найти в Дзене

Стоматология «Жуйкан» Китай г. Хэйхэ

В прошлой статье, которую вы можете прочитать тут m.dzen.ru/...qzd я рассказывала о возможностях протезирования зубов в Китае. Сегодня предлагаю поближе познакомиться с Клиникой. 🇨🇳Государственная стоматологическая клиника "Жуйкан" более 20 лет предоставляет передовые услуги в области зубного протезирования: 🦷Собственная лаборатория позволяет снижать затраты и ускорять изготовление протезов. 🦷Восстановление зубов проводится квалифицированными специалистами оперативно и безболезненно благодаря современному оборудованию и препаратам.  🦷Все инструменты стерильны и вскрываются в присутствии пациента.  🦷Команда опытных врачей постоянно совершенствует свои навыки.  🦷 удобный график работы, чтобы каждый пациент мог получить качественные услуги в подходящее для него время. Ниже вы можете посмотреть результат некоторых работ клиника занимается не только протезированием, а оказывает полный перечень услуг: 🦷импланиация 🦷лечение заболеваний полости рта 🦷эстетическая стоматология Более

В прошлой статье, которую вы можете прочитать тут m.dzen.ru/...qzd я рассказывала о возможностях протезирования зубов в Китае.

Сегодня предлагаю поближе познакомиться с Клиникой.

Коллектив клиники
Коллектив клиники

🇨🇳Государственная стоматологическая клиника "Жуйкан" более 20 лет предоставляет передовые услуги в области зубного протезирования:

🦷Собственная лаборатория позволяет снижать затраты и ускорять изготовление протезов. 🦷Восстановление зубов проводится квалифицированными специалистами оперативно и безболезненно благодаря современному оборудованию и препаратам. 

🦷Все инструменты стерильны и вскрываются в присутствии пациента. 

🦷Команда опытных врачей постоянно совершенствует свои навыки. 

🦷 удобный график работы, чтобы каждый пациент мог получить качественные услуги в подходящее для него время.

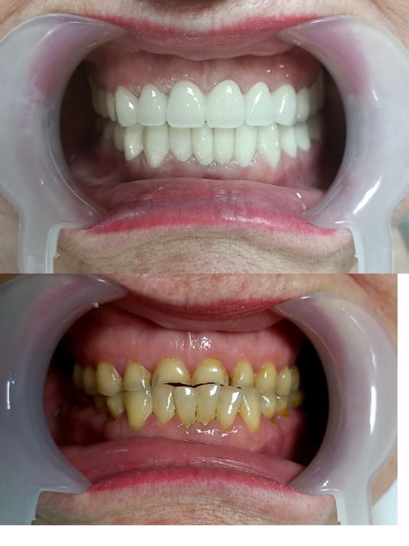
Ниже вы можете посмотреть результат некоторых работ

Было проведено лечение, установлены коронки из диоксида циркония
Было проведено лечение, установлены коронки из диоксида циркония

-3

клиника занимается не только протезированием, а оказывает полный перечень услуг:

🦷импланиация

🦷лечение заболеваний полости рта

🦷эстетическая стоматология

Более подробно об этом и многом другом я рассказываю в группе

во ВКонтакте vk.com/...243

В группе в телеграмм t.me/...i/1