Добавить в корзинуПозвонить
Найти в Дзене
MY ORT

Вылечила дистальный и открытый прикус на элайнерах: клинический случай

Если вас беспокоит неправильный прикус или вы задумываетесь о выравнивании зубов, но не готовы носить брекеты, то этот клинический случай будет вам особенно интересен. В этой статье я, врач-ортодонт, гнатолог, расскажу вам о пациентке, которая успешно исправила прикус и выровняла зубы с помощью элайнеров. Надеюсь, эта история поможет вам лучше понять, как проходит такое лечение, и вдохновит вас сделать первый шаг на пути к красивой улыбке. Пациентка обратилась ко мне с жалобами на неровные зубы и неправильный прикус. Она хотела получить ровную и красивую улыбку. Для неё было очень важно, чтобы лечение было как можно менее заметным. При осмотре полости рта и после проведения полной диагностики были определены нарушения прикуса: дистальный и открытый прикус. Присутствовало смещение клыков и других зубов. Из-за сложности случая я предложила провести лечение на брекет-системе, но пациентка отказалась из-за нюансов эстетики. В итоге я приняла решение провести лечение на элайнерах (съемные
Оглавление

Если вас беспокоит неправильный прикус или вы задумываетесь о выравнивании зубов, но не готовы носить брекеты, то этот клинический случай будет вам особенно интересен. В этой статье я, врач-ортодонт, гнатолог, расскажу вам о пациентке, которая успешно исправила прикус и выровняла зубы с помощью элайнеров. Надеюсь, эта история поможет вам лучше понять, как проходит такое лечение, и вдохновит вас сделать первый шаг на пути к красивой улыбке.

Жалобы пациента и диагностика

Пациентка обратилась ко мне с жалобами на неровные зубы и неправильный прикус. Она хотела получить ровную и красивую улыбку. Для неё было очень важно, чтобы лечение было как можно менее заметным.

При осмотре полости рта и после проведения полной диагностики были определены нарушения прикуса: дистальный и открытый прикус. Присутствовало смещение клыков и других зубов.

-2

Какое лечение было выбрано

Из-за сложности случая я предложила провести лечение на брекет-системе, но пациентка отказалась из-за нюансов эстетики. В итоге я приняла решение провести лечение на элайнерах (съемные прозрачные каппы), с дополнительными коррекциями. Пациентка была готова к длительному процессу лечения и согласилась строго придерживаться моих рекомендаций.

Лечение

Лечение началось с первого комплекта элайнеров. Уже на этом этапе удалось добиться значительных изменений, однако часть зубов не достигла правильного положения, поэтому я приняла решение провести три дополнительных коррекции. В каждом из них пациентке выдавались новые наборы элайнеров для достижения желаемого результата.

По завершении лечения пациентке был установлен ретейнер, чтобы закрепить полученный результат и зубы удерживались в новом положении до полной стабилизации.

-3

Ретейнеры практически не ощущаются во рту, незаметны при ношении и не требуют сложного ухода. Они безопасны для эмали и дёсен, а адаптация к ним проходит быстро и комфортно.

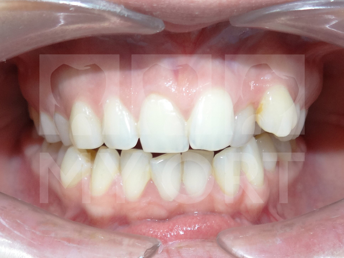
Улыбка пациентки ДО и ПОСЛЕ

Посмотрите, какого результата нам с пациенткой удалось достичь:

ДО лечения
ДО лечения
ПОСЛЕ лечения
ПОСЛЕ лечения
-6
-7

Результаты лечения

С момента завершения лечения прошло около трёх лет, потребовалось 36 элайнеров, чтобы добиться желаемого результата. Положение зубов остаётся стабильным, и ничего не сместилось.

Мы смогли добиться:

  1. Ровных зубов;
  2. Устранен дистальный и открытый прикус;
  3. Вернули клык и другие зубы в анатомически правильные положения.

Я рекомендовала пациентке провести реставрацию на передних зубах для улучшения эстетики зубов. Но пациентка отказалась, так как уже была полностью удовлетворена достигнутым результатом.

А как проходило ваше ортодонтическое лечение, довольны ли вы им? Использовали ли вы элайнеры? Поделитесь с нами в комментариях.

Автор статьи: Ермошкина Ольга Сергеевна. Врач-ортодонт, гнатолог