Найти в Дзене

Зубы «МУДРОСТИ» - у 600 человек из 1000 требуют удаления! Вы в их числе или нет?

Всем привет! Сегодня о зубах «мудрости». Мудрости, конечно же, в кавычках. К сожалению, эти зубы - мудрости никому точно не прибавят, а вот проблем могут прибавить очень много. По стоматологически эти зубы называются  - третьи большие коренные зубы, или третьи моляры, или просто восьмые зубы. Чаще всего они прорезываются в 18−29 летнем возрасте, хотя и это не обязательно. Они могут не прорезаться вообще по той причине, что практически у 25 процентов населения Земли, как минимум, одного из этих зубов просто нет - соответственно нечему и прорезаться. У 75 процентов оставшихся зубы скорее всего прорежутся , хотя не факт, что полностью, в том месте, где надо и при этом не вызовут никаких проблем. Как правило, половина из обладателей восьмых зубов имеют весьма значительные проблемы, но просто они себя не дают знать. Как мы говорим - зло дремлет. В моей практике был такой случай - бабушка 75 лет, которой я изготовил полные съемные протезы, те которые ряд стоматологов - бездарей
Оглавление

Всем привет!

Сегодня о зубах «мудрости». Мудрости, конечно же, в кавычках.

К сожалению, эти зубы - мудрости никому точно не прибавят, а вот проблем могут прибавить очень много.

По стоматологически эти зубы называются  - третьи большие коренные зубы, или третьи моляры, или просто восьмые зубы.

Чаще всего они прорезываются в 18−29 летнем возрасте, хотя и это не обязательно.

Они могут не прорезаться вообще по той причине, что практически у 25 процентов населения Земли, как минимум, одного из этих зубов просто нет - соответственно нечему и прорезаться.

У 75 процентов оставшихся зубы скорее всего прорежутся , хотя не факт, что полностью, в том месте, где надо и при этом не вызовут никаких проблем.

Как правило, половина из обладателей восьмых зубов имеют весьма значительные проблемы, но просто они себя не дают знать.

Как мы говорим - зло дремлет.

В моей практике был такой случай - бабушка 75 лет, которой я изготовил полные съемные протезы, те которые ряд стоматологов - бездарей называют присосками приходит через шесть месяцев и говорит:

  • сынок посмотри у меня там по-моему третий комплект зубов начал прорезаться.

И действительно- через где-то полгода после того, как я ее протезировал, я увидел в полости рта у нее прорезались два восьмых зуба.

Конкретно у нее это было благом, потому что на этих зубах удалось расположить фиксирующие элементы съемного протеза, который имел до этого меньшую устойчивость.

Что же случилось?

Так вот, съемная пластинка в данной ситуации действовала как раздражающий фактор и простимулировала прорезывание зубов.

Такое бывает - правда в основном в детском возрасте.

И вот потом рождаются легенды, что у человека три комплекта зубов и в возраст 75 все выпало и выросло заново. Да, слухи рождаются быстро и распространяются очень широко.

Нр, тем не менее поговорим о том, как это происходит чаще всего.

На самом деле, где-то после 16 лет, восьмые зубы могут начать появляться.

Причем у кого-то это происходит совершенно безболезненно и не доставляет никаких проблем и не надо ни о чем беспокоиться.

Хорошо, если прорезались все восьмые - и верхние, и нижние.

В этом случае они установятся правильно - друг против друга и будут полноценно участвовать в жевании.

Хуже когда прорезаются зубы только на одной челюсти верхней или нижней.

В этом случае верхние выдвигаются ниже, чем положено, или наоборот нижние выдвинуться вверх

Это приведет к тому, что могут они упереться в слизистую оболочку противоположной челюсти и травмировать десну, в таком случае лучше их будет удалить.

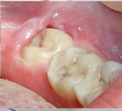
Часто бывает, что восьмые зубы прорезаются с большим трудом, возникает болезненное ощущение, десна отекает вокруг зуба, и пациенты говорят, у меня воспалился капюшон - десна прикрывающая зуб. Стоматологи называют - перикоронит.

-2

Вы знаете, с одной стороны это даже хорошо, потому что, если вы с такой проблемой своевременно обратитесь к стоматологу, то грамотный специалист сделает обязательно обзорный снимок

-3

и оценит наличие и правильность расположения всех восьмых зубов и если он убедится что этим зубам достаточно места, корни их располагаются параллельно с корнями рядом стоящих зубов и им есть место для прорезывания, то он окажет помощь, проведет противовоспалительное лечение - максимум иссечет десну над восьмым зубом и все нормализуется.

Хуже если 8 зубы располагаются неправильно - они лежат - горизонтально

-4

или под углом

и упираются своей передней поверхностью в седьмые зубы.

Так чаще бывает на нижней челюсти.

На верхней челюсти очень часто восьмые зубы прорезаются в сторону щек и при этом они упираются в ветвь нижней челюсти и для того чтобы открыть рот нижней челюсти приходится как-то обходить эти препятствия.

-5

И в той и в другой ситуации могут возникнуть проблемы с суставом, причем они наступают незаметно.

Сначала

-что-то стало больно в мышцах или тесно зубам, расположенным кпереди от восьмых зубов,

-потом появляется боль, щелканье в области височины нижнечелюстного сустава с одной или с двух сторон

- и,  когда пациент с такими проблемами приходит к стоматологу, требуется иногда не только удаление 8-ых, но и ортодонтическое лечение и иногда повторное, в том случае, если вы уже когда-то в детстве лечились у ортодонта.

Совет - если ортодонт приступает к лечению без наличия ортопантомограммы - обзорного рентгеновского снимка, а лучше КТ, стоит задуматься о его квалификации.

Ортодонт, проводя лечение вам или вашему ребенку, не оценив возможность прорезывания восьмых зубов, может привести к необходимости повторного лечения, в более тяжелой ситуации из-за того, что присоединились проблемы с суставами и с мышцами.

Я бы, наверное хотел бы дать такой совет всем ребятам достигшим 17−20 летнего возраста и всегда его даю нашим студентам-стоматологам, которые проходят обучение на первых курсах, именно в этом возрасте, провести рентгеновское исследование, обзорный снимок получить и оценить наличие и возможность правильного прорезывания восьмых зубов.

Конечно Вы сами может быть и не сможете оценить все корректно, но большинство стоматологов знают к чему это может привести и направят вас на ортодонтическое лечение и/или удаление зубов мудрости или - скажут что все в порядке.

Это очень своевременный профилактический метод, чтобы у вас в последующем не было очень больших проблем.

Что будет если не предпринимать никаких усилий и поступать по принципу - заболит - вылечу?

Да, организм может действительно справиться с многими проблемами и в молодом возрасте, а это - тот возраст когда все проблемы легко забываются и  кажется что впереди будет все время только так.

Когда дело  касается восьмых зубов все может кончится  весьма плачевно. Посмотрите вот на этот снимок,

который я показываю всегда своим пациентам, когда хочу их смотивировать в том, что восьмые зубы надо своевременно удалять.

На нижней челюсти, с левой стороны, у человека не прорезался восьмой зуб,

-6

который лежит практически горизонтально. Мало того, он упирается в седьмой зуб. Из-за этого, разрушилась кость, черный очаг вокруг двух зубов, седьмого, восьмого. Мало того, еще этот очаг разрушения костной ткани затрагивает и 6 зуб, а возраст пациента, которому сделал был снимок всего 35 лет.

-7

Так, один неудаленный своевременно восьмой зуб привел к необходимости удаления трех больших боковых зубов, в результате чего образуется дефект зубного ряда, который очень сложно заместить, мало того и костная ткань разрушилась так, что чтобы ее восстановить для установки имплантатов придется затратить очень много  финансовых и  физических усилий или пользоваться со съемным протезом.

Так что делайте выводы сами.