Добавить в корзинуПозвонить
Найти в Дзене
Parodoctor

Поставил брекеты и пожалел - честный дневник первых трёх дней от ассистента ортодонта

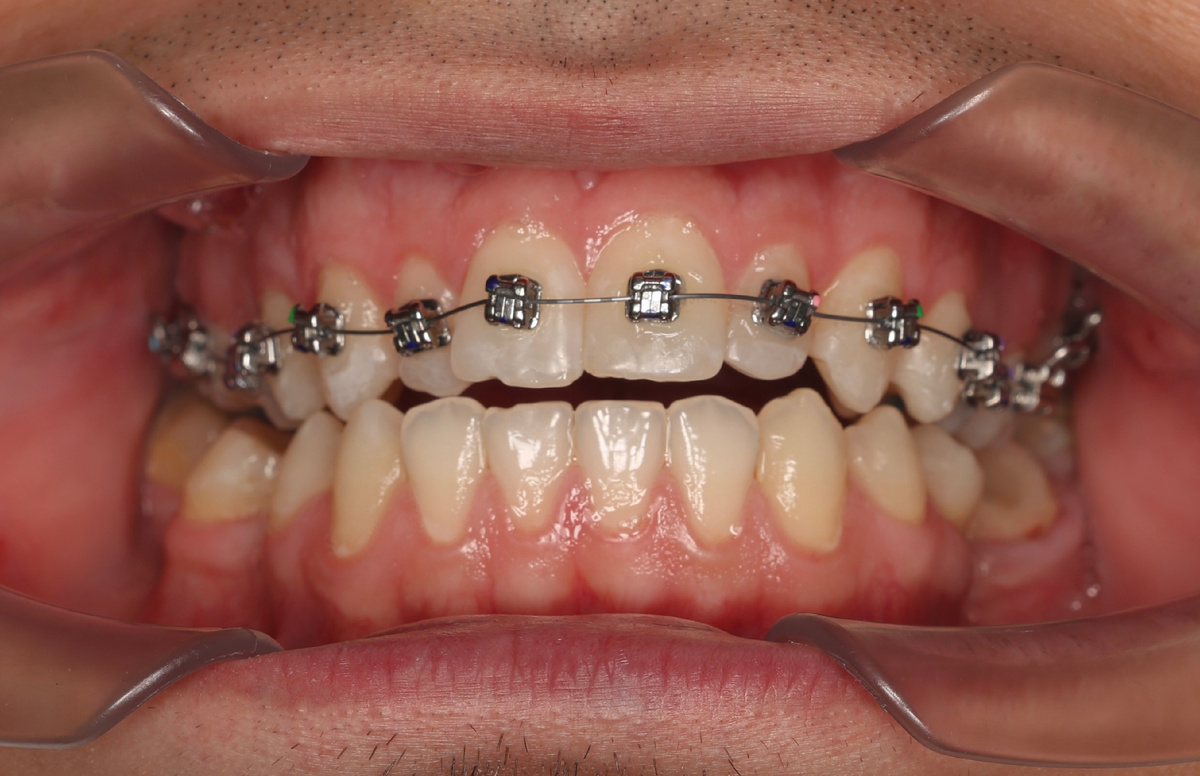
А вы знали, как мы благодарим достойных сотрудников? Дарим им страдания и боль на парочку годков вперёд. Ладно, пошутила. Пока лишь три дня мучений у парнишки за спиной, посмотрим, что будет дальше. А как всё начиналось Есть у нас в клинике ассистент, который уже давно работает, хорошо себя проявляет, он очень доброжелательный, исполнительный, надёжный - и вот за хорошую работу было решено преподнести ему полезный презент в виде полного цикла лечения на брекет-системе. Тем более, что стал он жаловаться на боли в суставе... Хотел на элайнеры накопить, да больно уж они дорогие даже в закупке, копить не перекопить, поэтому брекеты за счёт клиники - отличный и своевременный вариант. Улыбка ДО: Не норма! "Ну что, товарищ помогатор, готов?" - задала вопрос. А он и готов. Подлатали некоторые зубы, подготовили дёсны (профгигиена, очищение корней и порядок), погнали. А далее будет дневник самого героя статьи, без цензуры и прикрас. Понятное дело, что всё переписано мною под стилистику блога,
Оглавление

А вы знали, как мы благодарим достойных сотрудников? Дарим им страдания и боль на парочку годков вперёд.

Ладно, пошутила. Пока лишь три дня мучений у парнишки за спиной, посмотрим, что будет дальше.

А как всё начиналось

Есть у нас в клинике ассистент, который уже давно работает, хорошо себя проявляет, он очень доброжелательный, исполнительный, надёжный - и вот за хорошую работу было решено преподнести ему полезный презент в виде полного цикла лечения на брекет-системе. Тем более, что стал он жаловаться на боли в суставе...

Хотел на элайнеры накопить, да больно уж они дорогие даже в закупке, копить не перекопить, поэтому брекеты за счёт клиники - отличный и своевременный вариант.

Улыбка ДО:

"Ну что, товарищ помогатор, готов?" - задала вопрос.

А он и готов. Подлатали некоторые зубы, подготовили дёсны (профгигиена, очищение корней и порядок), погнали.

А далее будет дневник самого героя статьи, без цензуры и прикрас. Понятное дело, что всё переписано мною под стилистику блога, но так ещё веселее. Передаю слово.

------------------------------------------------------------------------------------

Дневник ассистента с брекетами - первые три дня

Ну вот и решено. Решился, так давно хотел и боялся, все за и против в голове перебирал. Если бы не Наталия Александровна с Ксенией Владимировной, годам к 30 созрел бы. Но это не точно.

Ну да ладно, пока память ОЧЕНЬ свежа, делюсь впечатлениями. Надеюсь,у вас всё было, есть, будет иначе. Полегче.

День первый - от эйфории до "да что же я наделал"

Первые 2 часа после установки.

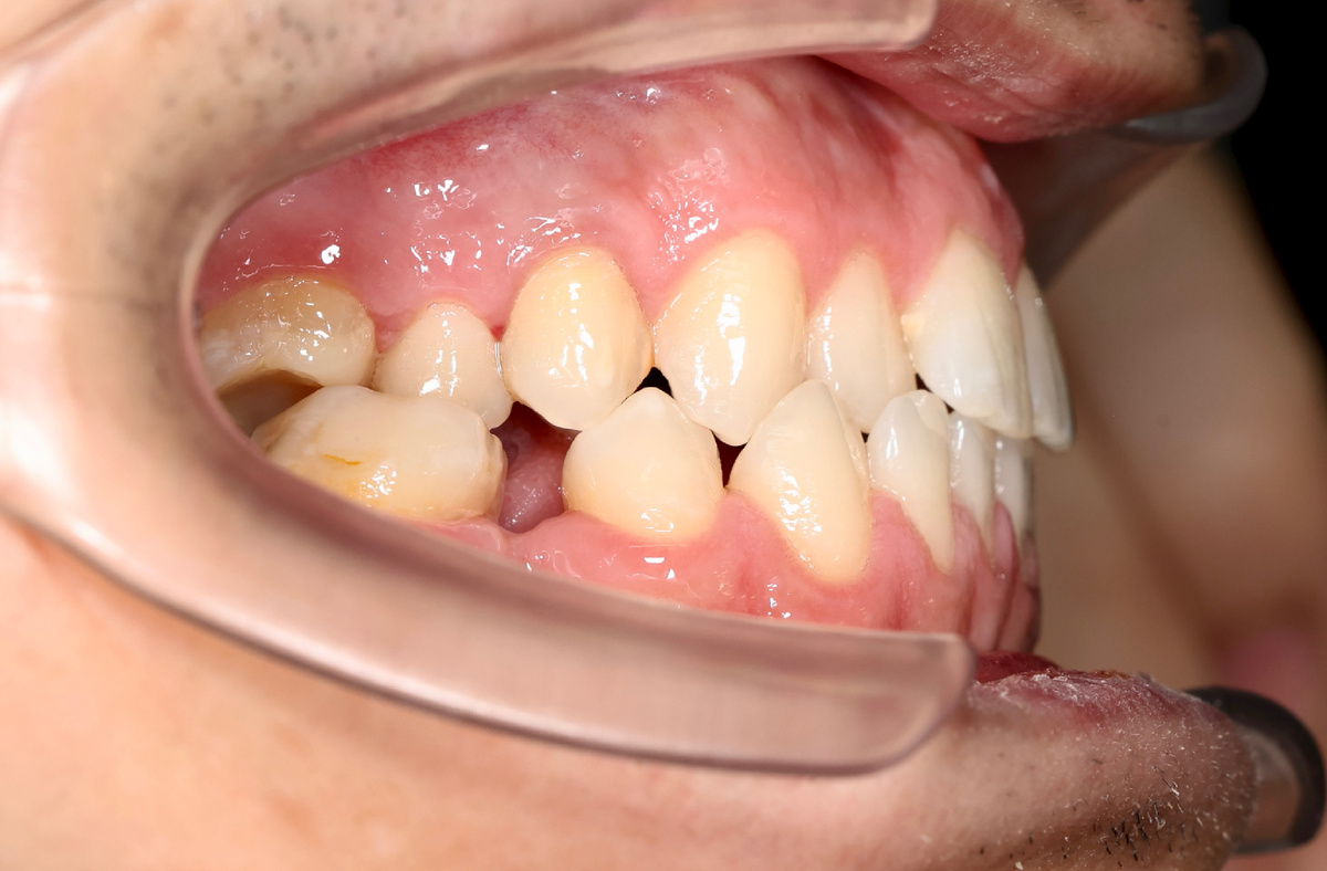
Из-за накладок рот не закрывается
Из-за накладок рот не закрывается

Круто, офигенно, почему же я столько ждал? Давно пора было решиться. Хочется улыбаться во все зубы. В зеркало посматриваю постоянно, благо в клинике с отражающими поверхностями полный порядок. Красота... Всем родным и друзьям, да даже одноклассникам бывшим селфи разослал. Правда, с кем удалось пообщаться в видеоформате отметили, что шепелявлю я знатно, как первоклассник.

Что сразу отмечу, так это привкус металлический во рту. Необычно, но прошло быстро, как-раз за пару часов.

И вот после этих 2 часов организм от эйфории очнулся...

Прошло 2 часа

Слишком много всего лишнего во рту! Вообще не круто, желание всё снять. Слюни текут, как у бульдога какого-то бешеного. Простите за подробности, но будущим брекетоносцам может быть полезна данная информация.

Рот не закрывается - накладки, мать их перемать. Как есть? Никак, по ходу.

Видите синеву где-то в области дальних зубов - это они, гады. С двух сторон такие поналепили
Видите синеву где-то в области дальних зубов - это они, гады. С двух сторон такие поналепили

Хотя нет, понял, как можно есть - не жуя, глотая всё целиком, как чайка на помойке. Пьре, пюре, привет.

Вечер первого дня - начало конца.

Накрыло к вечеру. Помните ощущения из детства, когда молочный зуб шатается, готовый отдать своё место постоянному? Хочется нажимать на него, расшатывать языком, боль тянущая такая, зудящая. Представьте это ощущение на всез зубах верхней челюсти разом - вот что я пережил.

Грешным делом подумал, что алкоголь поможет. Выпил. Не помогло! Не прошло! Сдуру забыл, что пюре теперь моя еда и только, пытался съесть кусок мяса, привычка... Не получилось, естественно.

Всё, плюнул на брекеты эти собачачьи,снимаю сам - решено. Открыл 4 замочка, хотел достать дугу в панике, но не вышло. Пожалел, потому что очень долго не мог закрыть их обратно, чуть не плакал. Дошло закинуться обезболивающим, провалился в сон.

День второй - добро пожаловать в ад

Проснулся и ощущаю неладное - дырки в щеках. Что-то по типу стоматита. Догадался, в чём дело - не использовал воск, спал щеками на ладонях, всё логично.

Хочу ли я сегодня улыбаться? Нет. Разговаривать? Ни за что. Работать? Хоть увольняйся.

Теперь подробнее об ощущениях второго дня. Про присоединившуюся боль в щеках понятно, а вот что ещё:

  • всё чешется и зудит;
  • всё болит;
  • прострелы в зубах;
  • зубы, которые некоторое время назад перелечивали по поводу периодонтита, ощущаются странно - будто изнутри!

Ни до одного зуба нельзя дотронуться языком, дышать через зубы - пытка, о прохладной водой в летний зной можно забыть. Завтракаю хлебом, размоченным в чае. Обед - то же самое. Ужин - хотел добавить к хлебному мякишу на мелкие фрагменты порезанную колбасу, да взвыл - не вышло. Сдался, опустил лапы. Видимо, придётся хужеть в 0, ибо я и так худой.

Рабочая смена далась сложно, от ощущения безысходности было никуда не деться. Но я выдержал и никого не подвёл. Вот за такую самоотверженность и наградили меня брекетами =))

Если честно, постоянно думал об элайнерах и жалел, что не накопил на них - там хоть на время еды можно снять орудие пытки и переждать без них приступ паники.

Вспомнил про воск, не зря же все брекетоносцы с ним не расстаются. Знаете что? Да где же я раньше был, почему не воспользвался воском в первый же день? Щекам сразу же стало легче. Одной проблемой меньше. Зубы же продолжели адское шоу. Обезбол обязательно принял. Спал на спине, нужда заставила - никогда ранее не изменял бокам, всю жизнь на них спал.

День третий - проблески надежды

Ура - на завтрак манная каша, а не только размоченный хлебный мякиш. Я, мужчина взрослый, питаюсь как дедуля...

Болит, но уже жить можно. Даже обезболивающее не принимал, адаптируется организм, благо.

Приятнейший бонус - сусавы не болят! Им прям легко и свободно, очень классные ощущения. Прилив моральных сил ощутил.

Воды пью много, слюни текут, но уже этот момент не тревожит так.

Азиатская кровь и особенности костной ткани

Хочу отметить, что являюсь выходцем из Азии. Кости у нас очень плотные - генетическая особенность. Собственно, поэтому и идут перемещения тяжелее, больнее. Но! Что заметил - всего лишь три дня в брекетах, а уже заметил перемещение зубов, кроме шуток. Работает! Я рад.

О хорошем - не всем так больно и всё проходит быстро

Естественно, стал задавать вопросы всем, кто сейчас в брекетах или носил их раньше - от друзей до пациентов. Так вот - никто не отмечал таких страданий, какие постигли меня. Хотя некоторые признались, что просто уже забыли всё. Быстро же прошло. А негатив забывается, если за ним следует позитивное подкрепление.

Если на ваши зубы не устанавливают накладки - лафа, вам будет намного проще пережить эти дни и адаптацию.

Выводы спустя 3 дня ношения брекет-системы

Не пугайтесь! Да, первые 2 дня могут быть жутковатыми, особенно день второй. Но - это проходит, человек быстро адаптируется и становится намного легче уже на 3 день, даже если зубы у вас кривые, а кости плотные.

Советы выжившего:

  • купите воск заранее и пользуйтесь им сразу;
  • запас обезболивающих обязателен;
  • купите блендер;
  • в первые дни никаких важных дел и встреч.
А теперь вопрос к вам: кто как переносил первые дни с брекетами? Поделитесь в комментариях - дайте надежду, что я не один такой страдалец!

------------------------------------------------------------------------------------

Хочу поблагодарить ассистента за то, что честно поделился своими ощущениями и даже признался, что хотел всё содрать к чертям собачьим =)

Но - ему уже легче, информация из первых уст, это интервью он лично надиктовал мне, сидя рядом в ординаторской клиники.

Трансформация - всегда путь. Это не спа, не массаж, любое лечение стоматологическое сопряжено с тяготами и лишениями. Это путь. Чем раньше начали и чем прще патология, тем легче будет дорога.

Так что не затягивайте.

А я скоро расскажу от себя ощущения от ношения элайнеров, благо, они уже в клинику приехали и на следующей неделе установка. Очень интересно, бду ли так же на стену лезть, как ассистент. Рассказывать обещаю честно, так как элайнеры мне достались не по бартеру, а за полный прайс, включая диагностику. Поэтому, считаю, что могу не увиливать от острых моментов, если таковые будут.

И да - я всегда за честность. До встречи.

Больше ортодонтических статей в подборке:

Ортодонтические варианты | Parodoctor | Дзен

Большой тг канал на 6000 подписчиков с чатом, в котором я и мои врачи всегда готовы помочь и подсказать, где собрано лояльное и позитивное сообщество взрослых людей без негатива:

Parodoctor

С уважением, Лежачёва Наталия Александровна, хирург-пародонтолог и главный врач стоматологии Parodent, СПб.

Статья №2:

Статья №3: