Добавить в корзинуПозвонить
Найти в Дзене

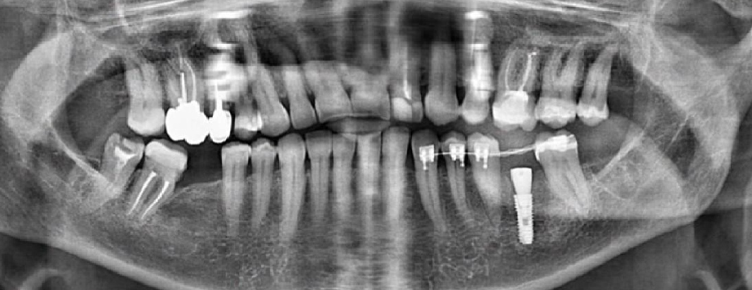
Нужна ортодонтия, а провели имплантацию: индивидуальный подход

Скажем иначе – позволительный и желаемый пациентом компромисс. Не всегда идеальный план лечения совпадает с возможностями. Финансовыми, временными, моральными. Важно услышать пациента, понять его мотивы и предложить подходящую альтернативу. Для примера – клинический случай. Ранее мы установили и запротезировали имплант на нижней челюсти слева. Перед протезированием провели ортодонтическую коррекцию и после зафиксировали коронку. Примечание: на правой части снимка – левая сторона пациента, а на левой части снимка – правая. Панорамный снимок (он же ОПТГ) всегда перевертыш. «+» идеальная позиция коронки => лучше гигиена, нет проблем с фиксацией
«–» до сдачи коронки от момента имплантации пришлось ждать более полугода Поэтому от ортодонтии на правой стороне пациентка отказалась. Что же мы поменяли? 1. Удаление зуба мудрости и установку ортодонтического минивинта для выпрямления седьмого зуба (3 месяца).
2. Дентальная имплантация на месте отсутствующего шестого зуба (приживление 3 месяц
Оглавление

Скажем иначе – позволительный и желаемый пациентом компромисс. Не всегда идеальный план лечения совпадает с возможностями. Финансовыми, временными, моральными. Важно услышать пациента, понять его мотивы и предложить подходящую альтернативу.

Для примера – клинический случай. Ранее мы установили и запротезировали имплант на нижней челюсти слева. Перед протезированием провели ортодонтическую коррекцию и после зафиксировали коронку.

Примечание: на правой части снимка – левая сторона пациента, а на левой части снимка – правая. Панорамный снимок (он же ОПТГ) всегда перевертыш.

Что дала нам ортодонтия?

«+» идеальная позиция коронки => лучше гигиена, нет проблем с фиксацией
«–» до сдачи коронки от момента имплантации пришлось ждать более полугода

Поэтому от ортодонтии на правой стороне пациентка отказалась. Что же мы поменяли?

Все варианты у нас обсуждаются честно и открыто, для понимания преимуществ и недостатков
Все варианты у нас обсуждаются честно и открыто, для понимания преимуществ и недостатков

Планировали:

1. Удаление зуба мудрости и установку ортодонтического минивинта для выпрямления седьмого зуба (3 месяца).
2. Дентальная имплантация на месте отсутствующего шестого зуба (
приживление 3 месяца).
3. Временная коронка (
1-2 месяца).
4. Постоянная коронка.
ИТОГО: не менее 7-8 месяцев от начала лечения до фиксации постоянной коронки.

Сделали:

1. Удаление зуба мудрости, седьмого зуба, сразу установка двух имплантов: на место отсутствующего шестого и только что удаленного седьмого зуба (приживление 3 месяца).
2. Временная и постоянная коронка еще ждут своей очереди (
поделимся обязательно).
ИТОГО: 4-5 месяцев до фиксации постоянной коронки. Экономия трех месяцев.

-3

По средствам – примерное равенство обоих вариантов. Но время лечения оказало решающее значение.

Вот такой он, индивидуальный подход.

Доктора:

  • Асанов Владимир Константинович – хирург-имплантолог
  • Галстян Саркис Гурамович – ортопед
А это коронка на импланте с левой стороны
А это коронка на импланте с левой стороны

__________________________________

Про выпрямление зубов ранее уже рассказывали:

__________________________________

Если статья была полезной для Вас, будем рады лайкам. На все вопросы в комментариях стараемся отвечать оперативно.

Консультации в стоматологическом центре «Перово» бесплатные.

Находимся по адресу: 1-я Владимирская ул., 14 (м. Перово).

Телефон для записи: 8 (499) 490-93-01

Мы доступны в Telegram и MAX по номеру7 (991) 603-40-31

Наш сайт: stom-perovo.ru (для заявок на консультацию).