Найти в Дзене
Белка в позе

Дежурство 12.07.25

Здравствуйте🤝 Проснулась в пять и понять не могу , мне надо сегодня куда-то или не надо? Выходной у меня или рабочий? Глянула на телефон :стоит на шесть будильник , значит, на работу мне все-таки надо, но можно еще час спать. В шесть же поднялась окончательно и в семь была на работе. В приемнике уже сидели люди, но хоть в "мотеле" не лежали, и то хорошо. –Как смена ? Не много народу было? Сколько снимков сделали?–поприветствовала я оставшихся ждать смену двоих коллег. –Даже не знаю , что тебе сказать, вдруг ты сразу уйдёшь? –пошутила Юрьевна. –Что? Неужели больше трехсот? –Триста пятьдесят. –А где-то гололед? –Да , прям , ну , что ты , не знаешь , что в пятницу из ЦРБ вывозят. –Что , всех триста пятьдесят вывезли? Ну , максимум десять , остальные -то откуда в таком количестве? –Да , оттуда , оттуда ,попривыкнуть давно пора. – Если бы график хоть как-то нормировался ! А то вся больница , можно сказать , живет на работе! –Тебе же сказали :потерпите! Меня этот постоянно повторяющийся ра

Здравствуйте🤝

Проснулась в пять и понять не могу , мне надо сегодня куда-то или не надо? Выходной у меня или рабочий?

Глянула на телефон :стоит на шесть будильник , значит, на работу мне все-таки надо, но можно еще час спать.

В шесть же поднялась окончательно и в семь была на работе.

В приемнике уже сидели люди, но хоть в "мотеле" не лежали, и то хорошо.

–Как смена ? Не много народу было? Сколько снимков сделали?–поприветствовала я оставшихся ждать смену двоих коллег.

–Даже не знаю , что тебе сказать, вдруг ты сразу уйдёшь? –пошутила Юрьевна.

–Что? Неужели больше трехсот?

–Триста пятьдесят.

–А где-то гололед?

–Да , прям , ну , что ты , не знаешь , что в пятницу из ЦРБ вывозят.

–Что , всех триста пятьдесят вывезли? Ну , максимум десять , остальные -то откуда в таком количестве?

–Да , оттуда , оттуда ,попривыкнуть давно пора.

– Если бы график хоть как-то нормировался ! А то вся больница , можно сказать , живет на работе!

–Тебе же сказали :потерпите!

Меня этот постоянно повторяющийся разговор только злит, но , против системы особо не попрешь.

Отпустила коллегу пораньше , они завтра снова на сутки придут.

********************

Раньше восьми принимать травма не будет , у них тоже пересменка. Если нет жизнеугрожающего состояния –пациенты будут ждать приема.

Работаем сегодня втроем ,у одной Натальи последняя смена перед отпуском , а у другой-первая после отпуска.

Наталья , которая уходит в отпуск , попросила ее пустить работать первой, да мне не жалко , пусть идет.

Только обычно первый работающий собирает всех посетителей и граждан страждущих.

Что с утра , что в ночь.

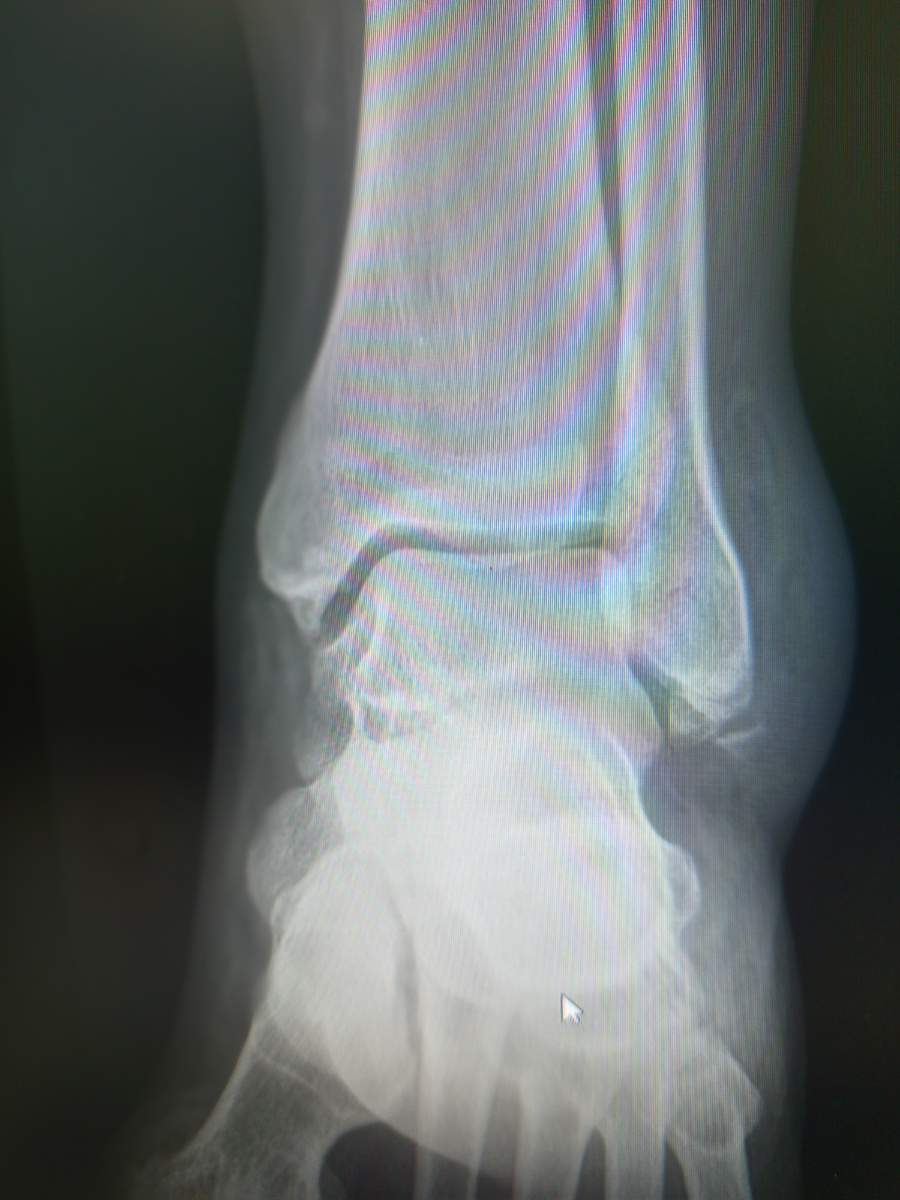
Конечно , все накопившиеся пациенты количеством 5 штук и пришли в первый час работы кабинета рентгена, а у меня был всего один пациент в мой рабочий час) Ну , знаете , не все ж мне работать).У пациента травма тоже не сегодняшняя , а вчерашняя , но вчера ему нужно было работать и прийти не смог, а вот сегодня выходной , другое дело.

-Что же вы с такой ногой работали? –поинтересовалась я. Нога в голеностопи сильно распухшая и черного цвета вдоль линии стопы.

–А куда мне деваться было?-угрюмо ответил пациент.

-2

А сейчас уже точно придется сидеть дома, с подтвержденным-то диагнозом.

*******************

Первые четыре рабочих часа я "чилила" во всю)

Зато у меня было время ознакомиться с шедеврами одной особы, солирующей вчера в одном блоге.

Женщина ущемилась и оскорбилась моими некоторыми статьями, причем про нее никто в них не упоминал, ибо об ее существовании и не подозревал.

Но , не всех останавливает этот факт)))

Ущемленная хм , женщина , поделилась несомненно радостной для нее вестью , что на меня написана теперь жалоба в Минздрав и полицию. Организацию "Спортлото" женщина почему-то проигнорировала, но , это временное упущение , я полагаю, все еще впереди, как у Шарикова" самое главное событие в жизни."

-3

Ну , все , у тетеньки есть теперь утешение в жизни, она тоже теперь не просто читатель , но и писатель, фактически автор и коллега)))

Поздравим ее с пробой пера , а так же с тем , что смогла найти занятие по душе.

Я всегда так говорю , что нужно заниматься только тем , к чему душа лежит , это будет продуктивнее , чем постылое занятие)

А вы как считаете ? Лучше работать на любимой работе за меньшие деньги , чем на постылой , но за хорошее денежное вознаграждение?)

Все события вымышлены , все совпадения случайны.