Добавить в корзинуПозвонить
Найти в Дзене

Съемный протез с балочной фиксацией на имплантатах: современный подход к реабилитации пациентов с полной адентией

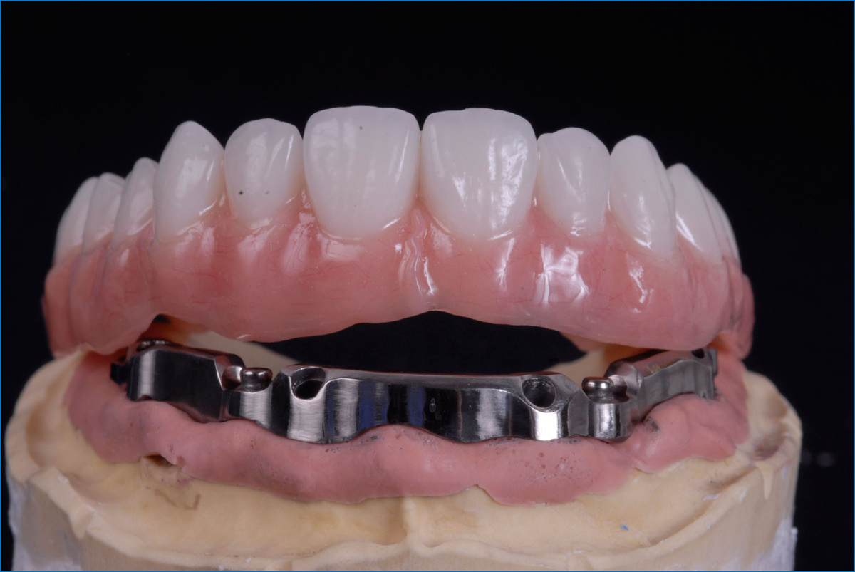
Полная адентия — серьезная медицинская и социальная проблема, значительно снижающая качество жизни пациентов. Традиционные съемные протезы часто не обеспечивают достаточной стабильности и функциональности, что приводит к дискомфорту и атрофии костной ткани. Одним из наиболее эффективных решений является использование съемных протезов с балочной фиксацией на имплантатах, которые сочетают надежность имплантации с удобством съемной конструкции. Принцип работы балочной фиксации Балочная система состоит из: 1. Имплантатов (обычно 2–4 в нижней челюсти и 4–6 в верхней), установленных в кость. 2. Металлической балки, соединяющей имплантаты и распределяющей жевательную нагрузку. 3. Съемного протеза с матрицами (клипсами), которые защелкиваются на балке, обеспечивая фиксацию. Преимущества системы: · Стабильность – протез не смещается при разговоре и жевании. · Защита от атрофии – нагрузка распределяется равномерно, сохраняя объем кости. · Комфорт – нет необходимости в гелях и адгезивах. · Гигиен

Полная адентия — серьезная медицинская и социальная проблема, значительно снижающая качество жизни пациентов. Традиционные съемные протезы часто не обеспечивают достаточной стабильности и функциональности, что приводит к дискомфорту и атрофии костной ткани. Одним из наиболее эффективных решений является использование съемных протезов с балочной фиксацией на имплантатах, которые сочетают надежность имплантации с удобством съемной конструкции.

Принцип работы балочной фиксации

Балочная система состоит из:

1. Имплантатов (обычно 2–4 в нижней челюсти и 4–6 в верхней), установленных в кость.

2. Металлической балки, соединяющей имплантаты и распределяющей жевательную нагрузку.

3. Съемного протеза с матрицами (клипсами), которые защелкиваются на балке, обеспечивая фиксацию.

Преимущества системы:

· Стабильность – протез не смещается при разговоре и жевании.

· Защита от атрофии – нагрузка распределяется равномерно, сохраняя объем кости.

· Комфорт – нет необходимости в гелях и адгезивах.

· Гигиеничность – протез легко снимается для очистки.

Показания и противопоказания

Показания:

· Полная адентия.

· Неудовлетворенность традиционными съемными протезами.

· Умеренная атрофия альвеолярного гребня.

Противопоказания:

· Тяжелые системные заболевания (некомпенсированный диабет, остеопороз).

· Недостаточный объем кости (может потребоваться синус-лифтинг или остеопластика).

· Пародонтит в активной фазе.

Этапы лечения

1. Диагностика – КТ, планирование позиций имплантатов.

2. Хирургический этап – установка имплантатов (классическая или одноэтапная методика).

3. Ортопедический этап – снятие оттисков, изготовление балки и протеза.

4. Фиксация – протез крепится к балке с помощью аттачменов.

Альтернативы

· Классические съемные протезы – менее стабильны, но дешевле.

· All-on-4/All-on-6 – несъемные конструкции с немедленной нагрузкой.

Съемный протез с балочной фиксацией – оптимальное решение для пациентов, желающих сочетать надежность имплантации с удобством съемной конструкции. Метод обеспечивает высокую функциональность, эстетику и долговечность, значительно улучшая качество жизни пациентов с полной адентией.

Рекомендации:

· Регулярное наблюдение у стоматолога.

· Тщательная гигиена протеза и имплантатов.

· Использование ирригатора и мягких щеток.

Внедрение современных технологий в ортопедическую стоматологию позволяет добиваться впечатляющих результатов даже в сложных клинических случаях.

Дорогие друзья!

Если вам надоело разглядывать собственные десны перед зеркалом и задумываться над вечностью бытия, тогда мы идём к вам!

Приглашаем всех желающих в клинику «Лаки Смайл», расположенную неподалёку от станции метро «Таганская». У нас имеется чудеснейший способ вернуть вашим зубам былое величие — съёмный протез с балочной фиксацией на имплантатах. Это такая штуковина, благодаря которой ваши зубы станут крепче стен Кремля, а улыбка сиять ярче праздничных огней на Красной площади.

Наши специалисты настолько искусны, что даже самый привередливый пациент забудет о своей боязни стоматологов навсегда. А технология имплантации настолько продумана, что никаких неприятных ощущений вы испытывать не будете. Разве что легкое чувство удовлетворения от сделанного шага навстречу идеальному образу.

Приходите скорее в нашу уютную клинику, подарите себе шанс вновь почувствовать себя полноценным членом общества и участником любых застолий и светских мероприятий. Ведь известно же, что аппетит приходит во время еды, а красивая улыбка открывает любые двери и сердца прекрасных дам.

Ждем вас ежедневно с утра до вечера в клинике «Лаки Смайл» на Таганке. Запишитесь заранее, ведь очередь желающих обрести новую улыбку растет быстрее бамбука в тропиках.

Пусть ваша улыбка станет предметом зависти коллег и причиной любви окружающих! Мы поможем вам сделать её именно такой.

Более подробно о наших ценах https://ls-stom.ru/czenyi