Найти в Дзене
Маммолог в Туле

Кисты молочных желез

Оглавление

Кисты молочной железы очень частый диагноз у женщин и самая частая причина обращения к маммологу.

Кисты могут протекать бессимптомно и выявляться случайно при скрининге, или проявляться такими симптомами, как уплотнение в молочной железе, боли, выделения из сосков молочной железы.

Кисты молочной железы не самостоятельная патология, а проявление более комплексного доброкачественного заболевания - фиброзно-кистозной болезни молочных желез (ФКБ).
С теми или иными проявлениями фиброзно-кистозной болезни молочных желез в течении жизни сталкиваются до 90% женщин. У 20% заболевание протекает с симптомами. У 10-30% впоследствии развивается склерозирующий аденоз. У 10% женщин кисты могут определяться при пальпации. Кисты чаще всего встречаются в возрасте с 30 до 50 лет. В связи с гормональным происхождением число кист резко снижается после климакса.

На начальных этапах ФКБ проявляется усилением дискомфорта и/или болями перед месячными - циклической масталгией. Однако 80% кист протекают бессимптомно, и лишь 20% сопровождаются болью в молочной железе.

Чаще всего кисты проявляются пальпируемым бессимптомным уплотнением в ткани молочной железы.

Диагностика

Правильный диагноз должен устанавливаться на основании тщательного клинического обследования, использования методов визуализации (УЗИ, ММГ, МРТ и т.д.), а также при необходимости биопсии.

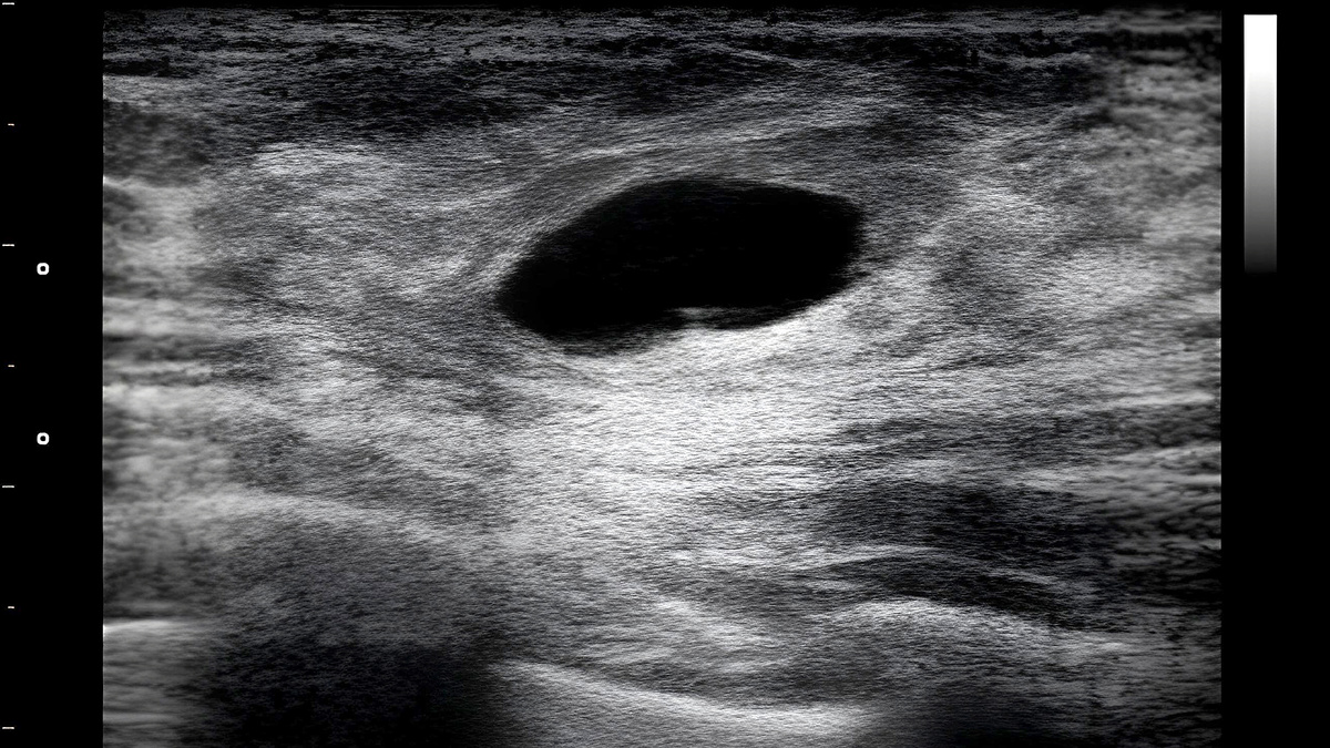
На ультразвуковом исследовании (УЗИ) молочных желез кисты представляются округлыми тонкостенными анэхогенными образованиями с четкими контурами. Это так называемые простые кисты.
Сложные кисты характеризуются толстой стенкой, образованиями внутри кисты, или солидным компонентом в структуре кисты.

Рентген-маммография (ММГ) менее информативна при диагностике кист молочной железы, но может быть полезна для выявления микрокальцинатов, дифференциальной диагностике в подозрительных случаях.

МРТ хороший метод исследования кист молочной железы, но ввиду высокой стоимости и отсутствия выраженных преимуществ по сравнению с УЗИ не может рекомендоваться для рутинного обследования при ФКБ.

Последний этап диагностики - проведение морфологической верификации.
Тонкоигольная аспирационная биопсия (ТАБ) проводится вслепую или под контролем УЗИ. Чаще всего содержимое соломенно-желтое и прозрачное, но может быть непрозрачным и даже мутным. Мутное содержимое должно быть направлено на посев и чувствительность к антибиотикам. Ржавая и кровянистая жидкость должна быть обязательно направлена на цитологическое исследование.

Лечение

В большинстве случаев кисты исчезают после аспирации. Повторный УЗ контроль следует осуществлять через 4-6 недель после откачивания. В случае повторного набора содержимого, рекомендуется выполнение core-биопсии для выявления невидимого на УЗИ солидного компонента или малигнизации.

Сложные кисты требуют более тщательного наблюдения. Если биопсия показывает доброкачественный процесс, допускается наблюдение за сложной кистой каждые 6 месяцев. Если при наблюдении выявляется рост тканевого компонента кисты, проводится повторная биопсия с решением вопроса об оперативном лечении.

Стандартным хирургическим методом лечения является проведение секторальной резекции молочной железы.
Вакуум-аспирационная биопсия (ВАБ) также безопасна и эффективна в случае образований небольшого размера и подходящей локализации.