Найти в Дзене
Radiology start!

Осмотритесь вокруг - еще есть шанс стать лучше! Санпросветработа#

Идея написать что-то на тему профилактической медицины очень давно зрела у меня в голове, ведь ежедневно на протяжении своего шестнадцатилетнего рабочего стажа я наблюдаю множество пациентов и изучаю огромный объем медицинской информации. За что я люблю свою специальность – рентгенологию? За то, что она находится на стыке всех областей медицины! Вы только представьте, каким медицинским кругозором должен обладать врач КТ и МРТ: для этого попробуем взглянуть изнутри на рабочий день типичного рентгенолога. -Заболела голова или ударился головой – милости просим на КТ! -Болит шея, сложно глотать, вскочила какая-то шишка, лимфоузел – пожалуйста приходите в наш кабинет. - У вас кашель, чувство нехватки воздуха, боли в груди? Приходите в кабинет на КТ легких. - Болит и вздут живот, какие-то камни, изжога, тошнота? КТ или МРТ брюшной полости поможет разобраться с проблемой. - Гинекологические или урологические вопросы? Без МРТ и шагу не сделать. - Трудно ходить на большие дистанции,
Оглавление

Введение.

Идея написать что-то на тему профилактической медицины очень давно зрела у меня в голове, ведь ежедневно на протяжении своего шестнадцатилетнего рабочего стажа я наблюдаю множество пациентов и изучаю огромный объем медицинской информации.

За что я люблю свою специальность – рентгенологию? За то, что она находится на стыке всех областей медицины! Вы только представьте, каким медицинским кругозором должен обладать врач КТ и МРТ: для этого попробуем взглянуть изнутри на рабочий день типичного рентгенолога.

-Заболела голова или ударился головой – милости просим на КТ!

-Болит шея, сложно глотать, вскочила какая-то шишка, лимфоузел – пожалуйста приходите в наш кабинет.

- У вас кашель, чувство нехватки воздуха, боли в груди? Приходите в кабинет на КТ легких.

- Болит и вздут живот, какие-то камни, изжога, тошнота? КТ или МРТ брюшной полости поможет разобраться с проблемой.

- Гинекологические или урологические вопросы? Без МРТ и шагу не сделать.

- Трудно ходить на большие дистанции, холод или жжение в мышцах конечностей? Нужно сосуды посмотреть – КТ-ангиография поможет во всём разобраться.

- Ну а если у вас что-то с позвоночником или какая-то травма - планировать консервативное лечение или операцию без КТ или МРТ – всё равно что делать это вслепую с завязанными глазами.

Этот список можно продолжать бесконечно. В медицине принят коллегиальный подход – большинство пациентов мы (рентгенологи) обсуждаем с лечащими врачами, делимся взглядами на проблему, применяем клинические рекомендации, вырабатываем тактику диагностики и лечения. Именно поэтому по ходу работы мне приходится вникать не только в то, как выглядят различные заболевания на КТ и МРТ, но и в вопросы этиологии и патогенеза этих заболеваний. Для читателей, которым эти термины незнакомы, расшифрую:

- этиология (от греческого aitia – причина и logos - наука) – это причина или чаще всего комплекс причин, по которым возникает то или иное заболевание;

- патогенез (от греческого pathos – болезнь и genesis – развитие) – это развитие болезни.

Эти термины были и являются фундаментом медицинского мышления, так как без понимания этиологии невозможна профилактика, а без знания патогенеза – эффективное лечение. Именно этиологию и патогенез ряда болезней мы обсудим в данной статье. Но мы не будем рассматривать какие-либо экзотические заболевания, а внимательнее посмотрим на то , что всех нас окружает…

Не буду сразу открывать карты, давайте по порядку!

Сфера номер один – ментальная. Что-то кружится голова…

Начнем, пожалуй, с головы.

Внимательнее присмотритесь к своим друзьям, знакомым, родственникам. Особенно тем, кто находится в интервале возрастов от 50 до 80 лет. Наверняка вы замечали, что часть из них бодра и весела, не жалуется ни на какие проблемы – разговоры больше про работу или про отдых, полно планов на будущее, а про медицину и различные болезни речь заходит крайне редко или вообще никогда. Ум быстрый, точный, продуктивный, человек полон энергии. Общаться приятно, можно спросить совета, что угодно обсудить, можно вместе съездить отдохнуть. В общем жизнь бьёт ключом.

Не забывайте, что я рентгенолог. Для вас среднестатистический портрет такого счастливого человека будет выглядеть примерно так.

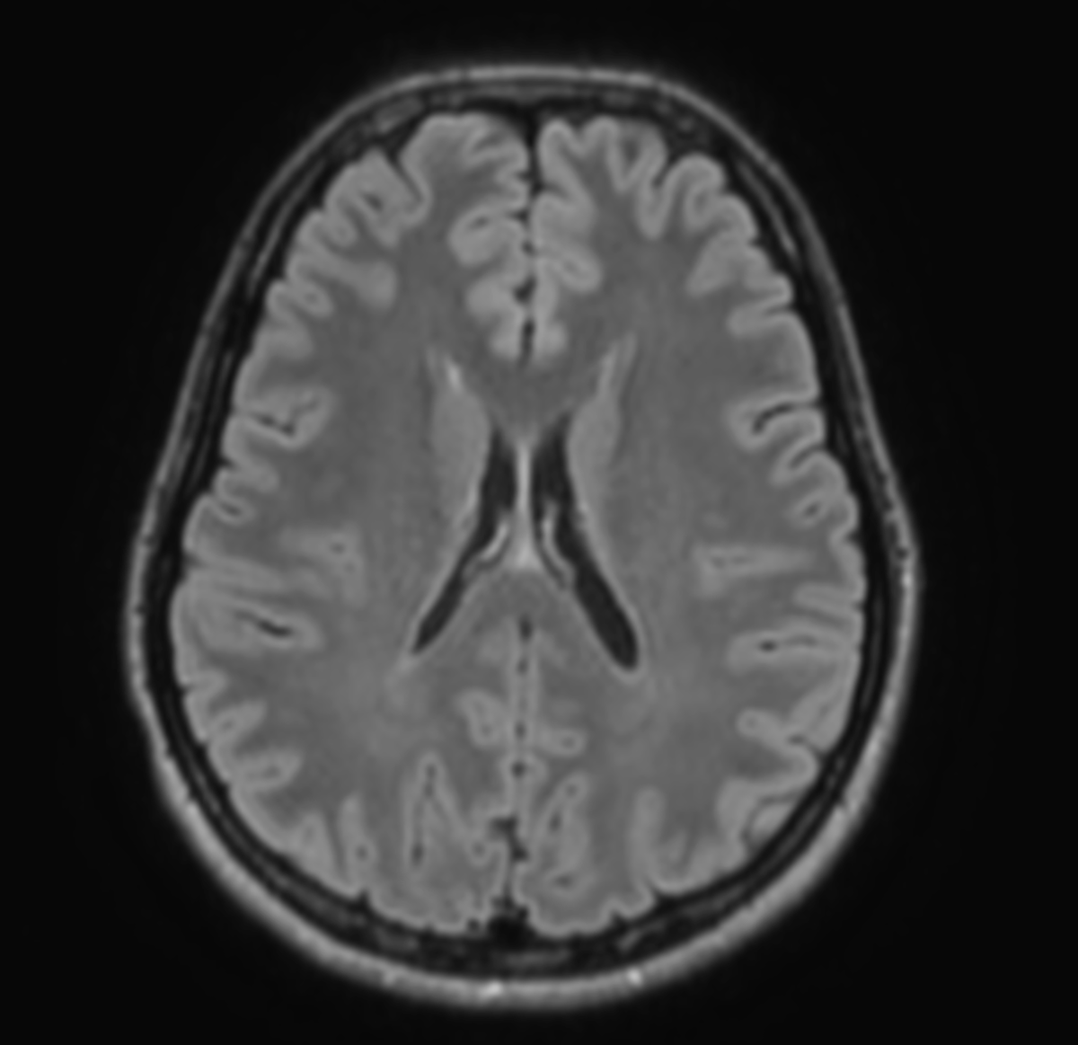
Портрет здорового человека.
Портрет здорового человека.

Но для меня он будет выглядеть так.

Вот как рентгенолог представляет себе человека со здоровым головным мозгом
Вот как рентгенолог представляет себе человека со здоровым головным мозгом

Возьмём вторую часть контингента от 50 до 80 лет: настроение не очень, ключевое слово устал или утомился – привычная работа даётся тяжело. Голова кружится, в ушах шумит, мушки перед глазами. Образ мышления вялый – не хочется строить никакие планы, хочется просто прийти домой и отдохнуть. Эмоциональная сфера, как говорят в медицине, лабильная (очень чувствительная к влиянию внешних факторов) – кажется на человека можно просто неправильно посмотреть и он уже плачет от обиды, а через 10 минут увидел в любимом сериале сентиментальный момент – и тоже плачет от умиления... Память страдает. Реакция заторможена. Способность чему-либо обучаться снижена или отсутствует. Разговоры все про болезни, да про давление, сахар и остеохондроз. Общаться трудно, вместо продуктивного диалога только куча жалоб на жизнь.

Вот портрет данного пациента для вас:

-3

Когда я сталкиваюсь с подобным, в моем медицинском сознании появляется вот такой портрет:

А вот так рентгенолог представляет себе человека с нездоровым головным мозгом
А вот так рентгенолог представляет себе человека с нездоровым головным мозгом

И не зря данные картинки всплывают у меня в голове – это аксиальные срезы головного мозга, которые получены с помощью МРТ. (если хотите узнать , что такое "аксиальные срезы" - вам сюда!) На медицинском языке эти изображения правильно называются " МР-томограммы".

Немного анатомии.

Два этих изображения головного мозга похожи между собой, но имеют принципиальные отличия. Чтобы это понять, немного углубимся в анатомию головного мозга. Познакомимся с анатомическими терминами: борозды, извилины, ликвор, желудочки, серое и белое вещество.

1. Серое и белое вещество - это огромная масса нервных клеток (нейронов), из которых состоит мозг. У нейрона есть тела и отростки. В телах происходят различные биохимические процессы и формируются нервные импульсы, а отростки обеспечивают связь между различными областями головного мозга. За счет этих процессов и связей мы можем мыслить, чувствовать, двигаться - осуществлять нервную деятельность. Серое вещество ( обозначено серым цветом) - содержит тела нейронов и располагается тонким как лента слоем по поверхности извилин. Белое вещество (обведено белым) - это все остальное вещество мозга (упрощенно, конечно же).

Серым цветом обозначена кора - расположена на поверхности головного мозга в виде ленты. Белым цветом обозначено белое вещество.
Серым цветом обозначена кора - расположена на поверхности головного мозга в виде ленты. Белым цветом обозначено белое вещество.

2. Извилины. Как мы видим, мозг имеет неровную как бы "складчатую" поверхность , как мятая простыня. И складки эти называются извилинами - на изображении ниже обозначены зеленым цветом. Извилины головного мозга - это хитрый ход природы , цель которого - увеличить объём серого вещества. Если бы поверхность мозга не была сморщенной, а была бы гладкой как шар - объём серого вещества был бы во много раз меньше. Соответственно, объём информации, который наш "живой компьютер" может обработать , был бы во много раз меньше, а скорость обработки - значительно ниже.

3. Борозды. Между извилинами находятся узкие, сложной формы углубления (обведены красным) - это борозды. Есть простая зависимость: чем толще извилина - тем больше объём нервных клеток в ней и тем уже борозда, чем тоньше извилина - тем меньше объём нервных клеток и шире борозда. Борозды заполнены ликвором (жидкость, которая вырабатывается в желудочках, питает и поддерживает гловной мозг), ликвор на наших томограммах черного цвета.

4. Желудочки (обведены желтым) - полости, в которых вырабатывается ликвор. В норме желудочки узкие. Если они расширены - это ненормально.

Зеленый - извилины. Красный - борозды. Желтый - желудочки.
Зеленый - извилины. Красный - борозды. Желтый - желудочки.

Что не так на томограммах?

А теперь внимательнее посмотрим на наши изображения. На первой картинке борозды узкие, извилины широкие, белое вещество однородное - это норма. А на второй картинке все наоборот - желудочки широкие, борозды широкие, извилины узкие, а в белом веществе видны многочисленные очаги. Именно в этих отличиях между томограммами и кроются различия в ментальных статусах пациентов, о которых я говорил ранее. Итак по порядку:

Патологические очаги - обведены красным.
Патологические очаги - обведены красным.

1. Что это за очаги? Эти очаги возникают, когда кровоснабжение головного мозга начинает ухудшаться. Причем не на уровне крупных сосудов - в этом случае возникает ишемический инсульт. Инсульт возникает остро и внезапно со всеми своими разнообразными последствиями вплоть до отсутствия возможности передвигаться и самостоятельно себя обслуживать. В нашем случае речь о нарушениях микроциркуляции. Здесь же страдают сосуды самого мельчайшего калибра , и в веществе мозга возникают небольшие очаги плохого кровоснабжения или ишемии. Это как бы микроинсульты, но вялотекущие, развиваются годами. В конечном счете в данных очагах нейроны погибают и замещаются рубцовой тканью, неспособной осуществлять нервную деятельность. Каждая зона головного мозга ответственна за какую либо сферу нашей жизнедеятельности: память, эмоции, настроение, двигательная сфера и т.п. Если в данной зоне гибнут нервные клетки - то в клинической картине будут возникать соответствующие симптомы - вялость, апатия, ухудшение памяти, головокружение, нарушения координации и моторики и еще множество других расстройств. В неврологии данные процессы объединены в одно заболевание, которое называется "дисциркуляторная энцефалопатия" или "хроническая ишемия головного мозга". Также, есть ещё более точный медицинский термин "церебральная микроангиопатия" - он отражает не столько клинику, сколько патофизиологические процессы, которые происходят в данных очагах. У этого заболевания тоже есть стадии, и, не вдаваясь в сложные классификации и подробности, зависимость здесь следующая – больше очагов – больше симптомов, меньше очагов – меньше симптомов. Пациенты на последних стадиях могут потерять способность нормально мыслить, передвигаться и обслуживать себя.

2. На первом изображении борозды узкие, а ликвор между извилинами практически не виден. На втором изображении ликвор свободно затекает в борозды между извилинами , так как борозды значительно расширены. Что в этом плохого? Помните , я говорил, что природа изобрела извилины головного мозга для того, чтобы увеличить объём серого вещества? За счет серого вещества мы мыслим и чувствуем. Если мы посмотрим на нормальный здоровый мозг подростка - такое впечатление, что места для ликвора в полости черепа нет вовсе! Вся черепная коробка туго забита нейронами, а борозды шириной всего 1-2 миллиметра - и это прекрасно - мозг растет , развивается и впитывает информацию!

Очень тонкие борозды и узкие желудочки - нормальная МР-картина головного мозга молодого человека. Кстати, на этом изображении ликвор белый, а не черный как на изображениях выше. Это  просто другой режим.
Очень тонкие борозды и узкие желудочки - нормальная МР-картина головного мозга молодого человека. Кстати, на этом изображении ликвор белый, а не черный как на изображениях выше. Это просто другой режим.

Но если мы посмотрим на головной мозг человека возрастом 80 лет и более - здесь все уже не так радужно - извилины тонкие, а борозды широкие. Желудочки мозга тоже очень широкие . Говоря человеческим языком мозг "усыхает" и "плавает" в ликворе. Это конечно же немедицинские термины – врачи так не говорят! Процесс этот называется "атрофия головного мозга".

МР-томограмма головного мозга пациента возрастом 97 лет! Очень широкие борозды и желудочки , структура белого вещества неоднородна за счет множества мелких жидкостных полостей - кист.
МР-томограмма головного мозга пациента возрастом 97 лет! Очень широкие борозды и желудочки , структура белого вещества неоднородна за счет множества мелких жидкостных полостей - кист.

К сожалению, наш генетический код запрограммирован таким образом, что мы неизбежно стареем. И мозг стареет вместе с нами. Количество нейронов уменьшается и объём мозга тоже становится меньше. А борозды и желудочки шире. К чему это приводит? Опять медицинский термин: к снижению когнитивных функций. Когнитивные функции это всё, что связано с сознанием и мышлением. Человек с нарушением когнитивных функций очень медленно реагирует на происходящие события, не может разобраться в простейших вещах – например, в инструкции от телевизора, все забывает. Кругозор сужается, ничего не интересно, ничему научиться не получается. Это только на начальных стадиях! Дальше больше – возможно значительное ухудшение памяти, нарушения в эмоциональной сфере. Человек может забывать недавно происходящее события, где был, что делал или что хотел сделать. А на последних стадиях могут появиться симптомы деменции и различные психиатрические нарушения . Все это связано с прогрессирующей потерей нейронов.

Из-за чего все это возникает?

Человек, который не работает в медицине, как правило, расценивает всё то, о чем я говорил выше, как признаки естественного старения. И не задумывается о его причинах. Все что мы слышим на эту тему вокруг – высказывания вроде "кому-то суждено постареть раньше, а кому-то позже", "хорошая наследственность - плохая наследственность", "я старый стал, все из головы вылетает, ничего запомнить не могу – но мне же не 15 лет".

Друзья, если вы тоже так считаете – вы очень глубоко заблуждаетесь! ⛔️ И я сейчас объясню, почему!

Изменения головного мозга , о которых я говорил выше (атрофия и очаги), я уже много лет наблюдаю на МРТ не только у пожилых людей, но и у пациентов в совершенно разных возрастных группах. О чем это говорит? О том, что в большинстве своем это никак не признаки старости, а патологические процессы, у которых есть своя причина.

1. Начнем с атрофии головного мозга. Атрофия встречается и в 30 лет, правда, здесь никаких секретов нет, и портрет такого пациента очень типичный. Как правило, это настоящие хронические алкоголики , страстно употребляющие горячительные напитки с детского возраста. Наркоманы тоже относятся к группе риска по атрофии головного мозга. Алкоголь и наркотики относятся к нейротоксичным ядам , употребление которых прямо ведёт к потере нейронов и нарушению происходящих в них обменных процессов. Иногда встречаются пациенты с редкими нейродегенеративными заболеваниями, либо профессиональными интоксикациями, которые тоже ведут к потере нейронов и атрофическим процессам в нервной системе - таких людей в общей массе менее 1% - поэтому не обольщайтесь - чаще всего мы губим и отравляем сами себя добровольно. Вывод: хроническое употребление алкоголя и наркотиков увеличивает риск возникновения атрофических изменений головного мозга. Если мозг 30-летнего пациента выглядит на все 70 лет - значит здесь дело без хронической интоксикации не обошлось...

2. А теперь поговорим про те самые очаги хронической ишемии. Здесь есть прямая связь с состоянием микроциркуляторного русла головного мозга. Я максимально упрощу объяснение патогенеза (помните такое слово?) микроциркуляторных нарушений. Сосуды, которые относятся к микроциркуляторному руслу называются "капилляры". Размер их столь мал, что невооруженным взглядом их не видно, только через микроскоп.

Примерная схема сосудистого русла. Капилляры  находятся в центре в виде мелкой сети. Это самые мелкие сосуды нашего организма.
Примерная схема сосудистого русла. Капилляры находятся в центре в виде мелкой сети. Это самые мелкие сосуды нашего организма.

Толщина стенки такого сосуда измеряется в микрометрах, а сама стенка состоит всего из одного ряда клеток. Через эти клеточные стенки любые питательные вещества и кислород поступают из крови в клетки органа, в нашем случае головного мозга. Микроциркуляторные нарушения возникают в том случае, если затрудняется прохождение клеток крови через капилляр и нарушается поступление веществ через стенку капилляра в окружающие ткани. На состояние клеточной стенки прямо влияет состояние липидного обмена. Холестерин, ЛПНП, ЛПВП – это биохимические показатели крови, которые показывают нам в каком состоянии находится липидный обмен. Если липидный обмен нарушен (показатели холестерина и его фракций не в норме) , структура клеточной стенки меняется, в ней начинается вялотекущий хронический воспалительный процесс, клеточная стенка становится ломкой и восприимчивой к различным воздействиям, которые оказывают на неё проходящие через капилляр клетки крови – лейкоциты и эритроциты. В месте, где сосудистая стенка повреждена , происходит скопление тромбоцитов и молекул холестерина, циркулирующих в крови - начинают формироваться бляшки и микротромбы.

Схема атеросклеротической бляшки.
Схема атеросклеротической бляшки.

Бляшки сужают просветы капилляров - кровь не поступает в достаточном количестве к веществу мозга - запускается целый каскад биохимических реакций, результатом которого является формирование тех самых очагов церебральной микроангиопатии. Процесс развития микроциркуляторных нарушений довольно медленный, и развивается в течение многих лет. Но если у такого пациента повышено артериальное давление - процесс значительно ускоряется. А если ещё и нарушен углеводный обмен (я имею в виду сахарный диабет) – нарушения микроциркуляции формируются ещё быстрее. И чем сильнее выражены все вышеописанные обменные нарушения – тем скорее в головном мозге появятся те самые очаги, которые мы видели на изображении выше.

Мы рассматривали микроциркуляцию, но коснемся и магистральных артерий. В стенках крупных артерий происходят примерно те же самые изменения, что и в капиллярах. Стенки крупных артерий точно так же становятся ломкими, хрупкими, что приводит к формированию атеросклеротических бляшек. Упрощенно говоря, на повреждённую сосудистую стенку садятся циркулирующие в крови избыточном количестве тромбоциты и липиды (холестерин), что приводит к возникновению атеросклеротических бляшек - утолщений сосудистой стенки, состоящих из жировой ткани.

Формирование бляшки в крупном сосуде. Объём атеросклеротической  бляшки со временем растет, просвет сосуда сужается вплоть до полного его перекрытия.
Формирование бляшки в крупном сосуде. Объём атеросклеротической бляшки со временем растет, просвет сосуда сужается вплоть до полного его перекрытия.

Эти бляшки закупоривают просветы крупных артерий и перекрывают ток крови. Если перекрыть ток крови к головному мозгу – возникнет инсульт. Если перекрыть ток крови к какому-либо участку сердца – возникнет инфаркт миокарда. Если бляшки закупоривают сосуды нижних конечностей – в мышцах возникают грубые трофические и функциональные нарушения, которые в самых тяжелых случаях вызывают гангрену конечностей.

Не надо быть семи пядей во лбу, чтобы понять, что человек, у которого одновременно присутствуют нарушения макроциркуляции и микроциркуляции становится потенциальным кандидатом на тот свет в раннем возрасте. Это неизбежно.

Как уберечь себя и своих близких от этих страшных патологических состояний?

Бесспорно, можно было бы ограничиться простыми рекомендациями вроде: не есть много жирного, не есть много сладкого, заниматься спортом, не употреблять алкоголь. Это вроде бы правильные рекомендации, но беда в том, что они никоим образом не уберегут вас от гипертонии, нарушений жирового и углеводного обмена.

И гипертония, и диабет, и гиперхолестеринемия обусловлены генетически. Если в вашем генетическом коде есть эти нарушения – никакое правильное питание не убережет от вас от различного рода вышеописанных проблем. Мало того, если вы не уделяете должного внимания своему здоровью, то вы лет до 40 можете совершенно не подозревать о том, что у вас есть подобного рода обменные нарушения. Если данные проблемы клинически никак не проявляются – это совершенно не значит, что процесс разрушения сосудистой стенки не начался. Когда вам стукнет 50 лет и вы придёте к врачу неврологу с головокружением – процесс уже будет в полном ходу, и остановить его не удастся!😢

Поэтому, друзья, я хочу рассказать про диспансеризацию. Кажется , какое-то страшное слово эта диспансеризация, давайте его заменим на "периодический медосмотр". Как вы относитесь к периодическим медосмотрам? К сожалению, отношение к медосмотрам у нас сильно хромает... У большей части населения они ассоциируются с огромной очередью, формальными консультациями и общей своей бесполезностью. Современное здравоохранение прилагает много усилий, чтобы сломать эти стереотипы. Разрабатывается и внедряется множество программ диспансеризации, проводится информирование населения и активное приглашение на медосмотры. Но эффект этих мероприятий пока низковат... Тяжело сломать старые советские стереотипы, переданные от родителей к детям.

Я призываю вас, уважаемая аудитория, самим приложить немного усилий по заботе о своем здоровье. Периодический медосмотр это как ТО для дорогого любимого автомобиля - хочешь не хочешь - проходи раз в год, а иначе никто и ничего не гарантирует. Каким образом это сделать ?

Постараюсь быть кратким. Для этого мы разобьем наше население на несколько возрастных групп.

1. Первая возрастная группа: дети. Обращаюсь к родителям: ребёнок не может сам себе организовать никакую диспансеризацию, поэтому вы полностью ответственны за его здоровье. Если у вас в роду по отцовской или материнской линии присутствовали все вышеописанные обменные нарушения, высока вероятность того, что ваше чадо их тоже унаследовало. Дети довольно часто проходят медицинские осмотры и в детском саду и в школе. Простейшие анализы тоже сдают. Сахар, холестерин уж точно. И давление измеряют. Однако, человеческий фактор силён, и мы в силу своего несовершенного устройства можем пропустить даже то, что находится прямо у нас перед глазами. Поэтому не смотрите в эти анализы пустыми глазами, полными непонимания и не отдавайте все целиком на откуп медсестре из детского сада. Примите немного участия в жизни ребенка самостоятельно. Ничего сложного не нужно. Просто ответьте на три вопроса. Не повышен ли у моего ребёнка сахар? Не повышен ли холестерин? В норме ли артериальное давление? Отвечайте себе на эти вопросы раз в год. При выявлении любых отклонений от нормальных показателей консультируйтесь с врачом

2. Вторая возрастная группа: студенты. Теперь дети уже перестали быть детьми и самостоятельно несут полную ответственность за свое здоровье. Именно в молодом студенческом возрасте все вышеописанные обменные нарушения начинают активно "вылезать наружу". У студента беззаботная психика, денег на периодические медосмотры нет, времени тоже нет, в голове ветер учёба и веселье. Но уделить несколько часов в год своему здоровью вполне реально. Я ни в коем случае не призываю обращаться к нейросетям или проводить часы в медицинских клиниках по поводу каждого кашля или недомогания. Однако нужно усвоить, что есть базовые показатели, вы их уже знаете. Сахар, холестерин, давление. Следите за ними, если видите отклонения, даже небольшие – консультируйтесь с врачом. И про флюорографию не забывайте!

3. Третья возрастная группа: работающий контингент, от 20 до 40 лет. Этот период жизни напоминает сумасшедший вихрь, сам знаю, для меня он пролетел как один миг. Работа, карьера, семья… Великое счастье, если ваш работодатель организует вам периодические медосмотры раз в год. Если подход к медосмотру не формальный, а сколько-нибудь тщательный – скорее всего наши три заветных параметра находятся у вас под контролем. Но объективная реальность такова, что очень мало работодателей заботятся о здоровье своих сотрудников. Возьмите этот процесс в свои руки, не отпускайте ничего на самотёк. Организуйте медосмотр раз в год сами себе. И обязательно следите за… Сами знаете за чем.

Почему лечить гипертонию, гиперхолестеринемию и сахарный диабет психологически сложно?

Если сахар , холестерин и давление в норме - это замечательно. Но что делать, если есть отклонения? В этом случае необходимо обратиться к врачу. Превентивная медицина сейчас набирает обороты - если лет 10 назад участковый терапевт посмеялся бы над небольшими отклонениями в лабораторных показателях, то теперь (при условии, что вы обратитесь к специалистам действительно высокой квалификации) вы получите целый план мероприятий. Сюда будет входить и диета , и рекомендации по модификации образа жизни , и медикаментозное лечение , если оно необходимо. А также, консультации смежных специалистов , план дообследования и контроля. Контроля, слышите??? Возьмите это под свой контроль!

Не все так радужно - пациенты неизбежно сталкиваются с муками выбора: лечиться или нет? Представим себе довольно типичную картину. Вы молодой, полный сил и энергии человек в возрасте от 20 до 40 лет. И вдруг во время пресловутой нашей диспансеризации у вас находят чуть повышенный холестерин. Вы подкованы, начитаны, понимаете, что минимальные обменные нарушения можно скорректировать, если убрать лишний вес, сбалансировать питание и регулярно ходить в спортзал. Проходит год-другой, вы стали сильнее, успешнее, в зеркале на вас смотрит совершенно другой подтянутый человек, сбросивший 10 кг лишнего веса. Эйфория от успеха и вера в собственные силы только растёт. Но вот холестерин всё равно немного повышен. Объективно — нужно снижать уровень холестерина - пить всеми любимые и широко обсуждаемые препараты - статины. Однако возникает резонный вопрос: если я хорошо себя чувствую, хорошо выгляжу, правильно питаюсь и полностью доволен собой — какого черта я должен есть таблетки, которые к тому же недёшевы? А тут еще и дилетантская безответственная антипропаганда в интернете , типа " не пейте химию, не травите организм". Чтобы получить ответ на этот вопрос, возвращайтесь к началу статьи. Несмотря на ваше замечательное самочувствие, сосудистая стенка уже понемногу разрушается, а нарушения микроциркуляции уже давно стартовали. Очаги в голове появятся не в 70, а в 50 лет. Это неизбежно.

Заключение.

Все то же самое справедливо для диабета и для гипертонии. Принимая сахароснижающие и антигипертензивные препараты вы не почувствуете сиюминутного облегчения и значительного улучшения вашего состояния. Скорее всего, вы не почувствуете вообще ничего. Однако, это инвестиция в ваше будущее, ведь пенсионный возраст не за горами. Начать следить за своим здоровьем можно в любом возрасте, если вы не сделали этого ранее. Каждому хочется оставаться в ритме жизни как можно дольше. Дольше поработать на любимой работе. Ясным взглядом посмотреть, как вырастут дети, а может быть и внуки. Попутешествовать по всему миру. Радоваться общению с семьей и с окружающими. Следите за своим здоровьем! Это несложно!

P.S.

В данной статье мы сфокусировались на трёх очень важных показателях, которые являются залогом здоровья и полноценной жизни. Не думайте, что это очень просто - это очень сложно. Чтобы добиться хорошего результата в этом вопросе, нужно огромное количество усилий и постоянный самоконтроль. Но это ли не самый лучший челлендж в жизни?

Вся забота о здоровье, конечно же, не ограничивается контролем давления и биохимических показателей. Лучевая диагностика помогает нам на ранних стадиях выявлять огромный спектр заболеваний. Их мы рассмотрим в следующих публикациях. Подписывайтесь на мой канал. Помните, ваше здоровье в ваших руках. Ну а я помогу вам посмотреть на профилактическую медицину под правильным углом.

🔥Задавайте вопросы, пишите комментарии, всегда рад ответить! 🔥

🔥Подписывайтесь на мой канал Radiology start! Узнаете много интересного!🔥

🔥 Ссылка на обучающую платформу с моими курсами по рентгенологии для тех, кто только погружается в профессию: radiology-start.skillspace.ru/...ses🔥. Скидка на все курсы 50%: по промокоду FIRSTSTUDENTS