Добавить в корзинуПозвонить
Найти в Дзене

Лекарство от волчанки вызвало токсическое поражение сетчатки глаз

Ирландские врачи сообщили о случае пожилой женщины с системной красной волчанкой, которая поступила в офтальмологическую клинику для планового ежегодного скринингового обследования. Оно позволило своевременно определить у нее токсическое поражение сетчатки иммуносупрессивным препаратом гидроксихлорохином, который она принимала в течение длительного времени. Терапию скорректировали, и зрение пациентки не пострадало. Описание этого случая опубликовано в The New England Journal of Medicine. Системная красная волчанка — это хроническое аутоиммунное заболевание соединительной ткани, которое может поражать кожу, суставы, почки, мозг и другие органы. Препаратом первой линии для лечения легких и умеренных форм этого заболевания служит гидроксихлорохин, снижающий патологическую активность иммунной системы. Его хронический прием может вызывать серьезные побочные эффекты, в том числе со стороны сетчатки глаз, которые могут поначалу не иметь явных симптомов, поэтому в ходе лечения важно периодичес
  Aaron Donnelly, Noel Horgan / NEJM, 2025
Aaron Donnelly, Noel Horgan / NEJM, 2025

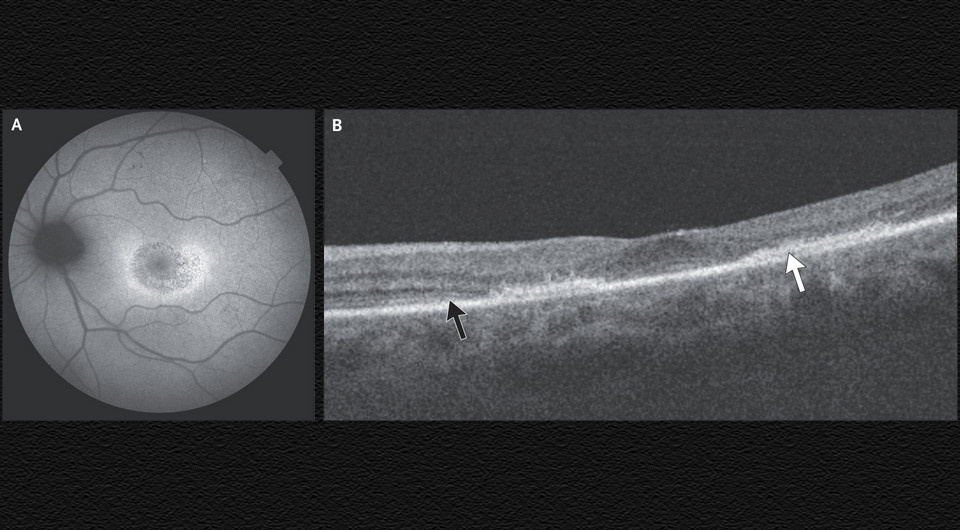
Ирландские врачи сообщили о случае пожилой женщины с системной красной волчанкой, которая поступила в офтальмологическую клинику для планового ежегодного скринингового обследования. Оно позволило своевременно определить у нее токсическое поражение сетчатки иммуносупрессивным препаратом гидроксихлорохином, который она принимала в течение длительного времени. Терапию скорректировали, и зрение пациентки не пострадало. Описание этого случая опубликовано в The New England Journal of Medicine.

Системная красная волчанка — это хроническое аутоиммунное заболевание соединительной ткани, которое может поражать кожу, суставы, почки, мозг и другие органы. Препаратом первой линии для лечения легких и умеренных форм этого заболевания служит гидроксихлорохин, снижающий патологическую активность иммунной системы. Его хронический прием может вызывать серьезные побочные эффекты, в том числе со стороны сетчатки глаз, которые могут поначалу не иметь явных симптомов, поэтому в ходе лечения важно периодически проходить скрининговые обследования.

К врачам Аарону Доннелли (Aaron Donnelly) и Ноэлу Хоргану (Noel Horgan) в Университетскую больницу Сент-Винсент для планового офтальмологического обследования поступила 71-летняя женщина с системной красной волчанкой. В течение последних 15 лет она принимала 200 миллиграмм (3,3 миллиграмма на килограмм массы тела) гидроксихлорохина в день в качестве базовой терапии. Изменений зрения женщина не отмечала, при осмотре острота зрения была нормальной.

При офтальмоскопии визуализировалась гипопигментация желтого пятна обоих глаз по типу «бычьего глаза». Аутофлуоресценция глазного дня определила повышенное накопление липофусцина («пигмента старения», который откладывается в неделящихся клетках) в парафовеолярных областях пигментного эпителия сетчатки обоих глаз. При оптической когерентной томографии наблюдалось утончение наружных слоев сетчатки с миграцией в них пигментного эпителия.

По данным обследования женщине поставили диагноз токсического поражения сетчатки обоих глаз гидроксихлорохином — дозозависимой пигментной ретинопатии. Ежегодный скрининг на подобные состояния показан всем пациентам, принимающим гидроксихлорохин в дозе более пяти миллиграмм на килограмм массы тела или в любой дозе дольше пяти лет. При своевременном выявлении, как в этом случае, прогноз обычно благоприятный. Терапию гидроксихлохином пациентке отменили, при повторном осмотре через пять лет она сохранила нормальную остроту зрения, состояние сетчатки оставалось стабильным.

Ранее американские офтальмологи описали два случая токсической ретинопатии при приеме препарата от эректильной дисфункции силденафила: один пациент начал видеть все в красном свете, а у другого в обоих глазах появились кольцевидные слепые пятна.