Добавить в корзинуПозвонить
Найти в Дзене
Celebrity Clinic

Композитные виниры

Композитные виниры — это тонкие накладки на переднюю поверхность зубов, изготовленные из стоматологического композитного материала (тот же светоотверждаемый материал, что используется для пломб и реставраций). В отличие от керамических виниров, которые создаются в лаборатории, композитные виниры чаще всего формируются и моделируются прямо на зубах пациента в кабинете стоматолога. Ключевые характеристики и особенности композитных виниров: 1. Материал: Стоматологическая композитная смола (пластик, наполненный частицами стекла, керамики и др. для прочности). 2. Технология изготовления: Прямой метод (наиболее распространенный): Стоматолог послойно наносит, моделирует и отверждает (засвечивает специальной лампой) композитный материал непосредственно на подготовленный зуб. Требует высокого мастерства врача-стоматолога-терапевта. Непрямой метод: Снимаются сканы зубных рядов, затем в зуботехнической лаборатории происходит виртуальное моделирование виниров в программе, после чего печатаются

Композитные виниры — это тонкие накладки на переднюю поверхность зубов, изготовленные из стоматологического композитного материала (тот же светоотверждаемый материал, что используется для пломб и реставраций). В отличие от керамических виниров, которые создаются в лаборатории, композитные виниры чаще всего формируются и моделируются прямо на зубах пациента в кабинете стоматолога.

Ключевые характеристики и особенности композитных виниров:

1. Материал: Стоматологическая композитная смола (пластик, наполненный частицами стекла, керамики и др. для прочности).

2. Технология изготовления:

Прямой метод (наиболее распространенный): Стоматолог послойно наносит, моделирует и отверждает (засвечивает специальной лампой) композитный материал непосредственно на подготовленный зуб. Требует высокого мастерства врача-стоматолога-терапевта.

Непрямой метод: Снимаются сканы зубных рядов, затем в зуботехнической лаборатории происходит виртуальное моделирование виниров в программе, после чего печатаются модели новых зубных рядов на 3D принтере. В клинике с этих моделей получают силиконовые ключи и изготавливаются компостные виниры заданой формы.

3. Преимущества:

Относительно низкая стоимость: Значительно дешевле керамических виниров.

Быстрота изготовления (прямой метод): Можно установить за одно посещение (обычно 1-3 часа на несколько зубов).

Минимальная обработка зуба: Требуется лишь незначительное сошлифовывание эмали или иногда вообще не требуется (в зависимости от ситуации).

Обратимость: Процесс менее инвазивен, чем установка керамических виниров.

Ремонтопригодность: При сколах или повреждениях их легче и дешевле починить прямо во рту.

Эстетика (начальная): Позволяют добиться отличного эстетического результата, скрыть сколы, трещины, промежутки, неровности, изменять форму и цвет зубов.

4. Недостатки и ограничения:

Меньшая долговечность: Срок службы обычно 3-7 лет (реже до 10 при идеальном уходе), в то время как керамические служат 10-15 лет и более.

Склонность к окрашиванию: Композит пористый материал, поэтому он легче впитывает пигменты из кофе, чая, красного вина, табака, ягод. Требует более тщательной гигиены и регулярной профессиональной чистки/полировки.

Менее высокая эстетика (со временем): Могут терять блеск, гладкость, менять цвет, выглядеть менее естественно по сравнению с керамикой, особенно на границе с десной.

Менее прочные: Более подвержены сколам и царапинам, чем керамика. Не рекомендуются людям с бруксизмом (скрежет зубов) или вредными привычками (грызть ногти, ручки и т.д.).

Требуют регулярного обслуживания: Необходима периодическая полировка у стоматолога для восстановления блеска и удаления поверхностных окрашиваний.

Зависимость от мастерства врача: Качество и эстетика результата сильно зависят от опыта и художественных навыков стоматолога при прямом методе.

Показания к установке композитных виниров:

Небольшие сколы или трещины передних зубов.

Закрытие небольших промежутков (диастем, трем).

Коррекция незначительной неровности формы или положения зуба.

Изменение цвета зуба, если отбеливание неэффективно (но композит тоже может окрашиваться).

Временное решение перед установкой керамических виниров или других реставраций.

Когда бюджет пациента ограничен.

Противопоказания:

Сильное разрушение зуба.

Очень большие пломбы на вестибулярной (передней) поверхности.

Тяжелый бруксизм или другие парафункции.

Плохая гигиена полости рта.

Некоторые виды патологического прикуса.

Уход за композитными винирами:

1. Тщательная гигиена: Чистка зубов 2 раза в день мягкой щеткой и пастой без крупных абразивов, использование зубной нити/ершиков.

2. Ограничение красящих продуктов: Умеренное употребление кофе, чая, красного вина, ягод, курения.

3. Избегание чрезмерных нагрузок: Не грызть твердые предметы (орехи, леденцы, семечки со скорлупой).

4. Регулярные визиты к стоматологу: Профессиональная чистка и полировка виниров (примерно раз в 6-12 месяцев) для поддержания их внешнего вида и долговечности.

Композитные виниры vs. Керамические виниры:

Композит: Дешевле, быстрее, ремонтопригоднее, минимально инвазивно. Но: менее долговечны, окрашиваются, требуют больше ухода, эстетика со временем может ухудшаться.

Керамика: Долговечнее, лучше эстетика (естественность, блеск, стабильность цвета), устойчивее к окрашиванию и истиранию. Но: дороже, требуют больше времени (2+ посещения), более значительная обработка зуба, сложнее в ремонте.

Вывод:

Композитные виниры — отличное бюджетное и быстрое решение для незначительной коррекции эстетики передних зубов. Они позволяют добиться хорошего результата за одно посещение. Однако, важно понимать их ограничения в долговечности и устойчивости к окрашиванию, а также необходимость тщательного ухода и регулярного обслуживания. Для более масштабных изменений, максимальной долговечности и эстетики предпочтительны керамические виниры.

Обязательно проконсультируйтесь с квалифицированным стоматологом-терапевтом (эстетическим стоматологом) или ортопедом! Только специалист после осмотра сможет оценить вашу ситуацию, обсудить все возможные варианты (композитные виниры, керамические виниры, люминиры, коронки, отбеливание, ортодонтию) и рекомендовать оптимальное решение именно для вас.

Записаться на консультацию к нам в клинику:

+7 (831) 266-84-93

Вконтакте: https://vk.com/celebrity.clinic

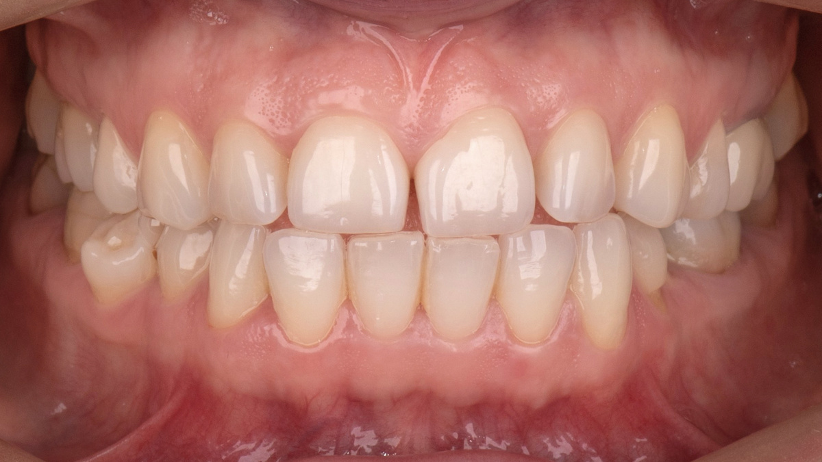
Фото до
Фото до
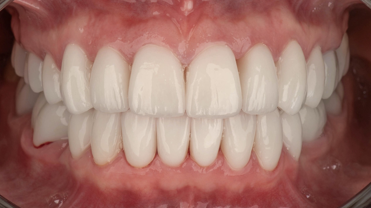
Фото после
Фото после