Добавить в корзинуПозвонить
Найти в Дзене
MY ORT

Как правильная гигиена полости рта спасла зубы от агрессивного пародонтита: реальный случай

Мотивация пациента и соблюдение рекомендаций врача играют очень важную роль в долгосрочном успехе пародонтального лечения и лечения зубов в целом. В этом клиническом случае я, врач-стоматолог, хирург, имплантолог, пародонтолог, приведу пример молодой пациентки с агрессивной формой пародонтита, которая отказалась от комплексного ортодонтического лечения, но добилась стабильных результатов благодаря высокой приверженности к гигиене полости рта. Надеюсь, мой рассказ поможет вам лучше понять, насколько важна гигиена полости рта и как правильное соблюдение всех рекомендации врача-стоматолога поможет сохранить ваши зубы целыми и здоровыми. Женщина в возрасте 28 лет обратилась ко мне с жалобами на подвижность зубов и дискомфорт при жевании. После визуального осмотра и по результатам проведенного обследования (КТ), была выявлена агрессивная форма пародонтита. К сожалению, этот диагноз быстро разрушает ткани, удерживающие зубы, и часто приводит к их потере уже в молодом возрасте, если не заним
Оглавление


Мотивация пациента и соблюдение рекомендаций врача
играют очень важную роль в долгосрочном успехе пародонтального лечения и лечения зубов в целом. В этом клиническом случае я, врач-стоматолог, хирург, имплантолог, пародонтолог, приведу пример молодой пациентки с агрессивной формой пародонтита, которая отказалась от комплексного ортодонтического лечения, но добилась стабильных результатов благодаря высокой приверженности к гигиене полости рта.

Надеюсь, мой рассказ поможет вам лучше понять, насколько важна гигиена полости рта и как правильное соблюдение всех рекомендации врача-стоматолога поможет сохранить ваши зубы целыми и здоровыми.

Жалобы пациента и диагностика

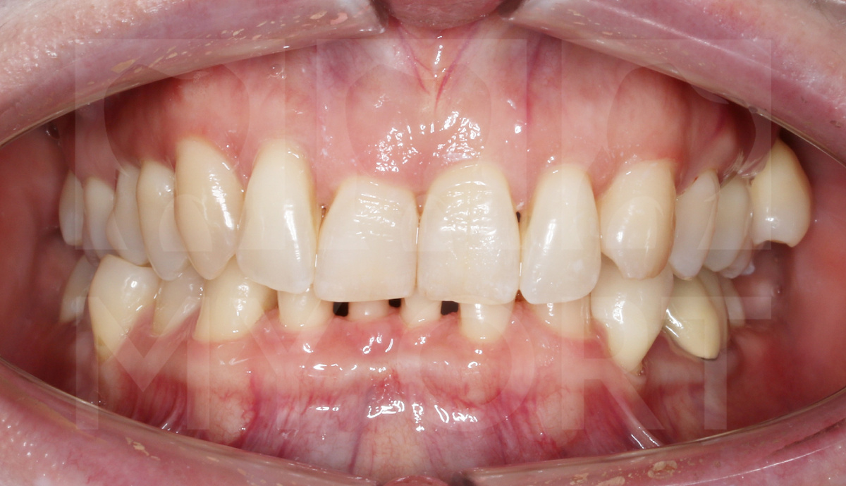
Женщина в возрасте 28 лет обратилась ко мне с жалобами на подвижность зубов и дискомфорт при жевании. После визуального осмотра и по результатам проведенного обследования (КТ), была выявлена агрессивная форма пародонтита. К сожалению, этот диагноз быстро разрушает ткани, удерживающие зубы, и часто приводит к их потере уже в молодом возрасте, если не заниматься его лечением. Дополнительно к этому у пациентки заметны выраженные ортодонтические нарушения (скученность зубов).

На старте всё выглядело тревожно. Но результат оказался вдохновляющим.

План лечения

Мной был составлен комплексный план лечения на основе компьютерной томографии (КТ). Пациентке было предложено провести консервативную пародонтальную терапию (устранение воспаления и восстановление здоровья десен и окружающих тканей зуба) и ортодонтическое лечение с целью устранения скученности и улучшения условий для поддержания гигиены.

Однако пациентка отказалась от ортодонтии (исправление прикуса), решив сосредоточиться на пародонтальной терапии и регулярной гигиене полости рта.

Лечение

Пациентке была проведена профессиональная гигиена полости рта и проведен закрытый кюретаж (очищение поддесневых участков). После этого я провел обработку пародонтальных карманов антисептиками и назначил пациентке антисептические средства для домашнего ухода за полостью рта (пасту, щетку, ирригатор, межзубные ершики, ополаскиватели).

Пациентка регулярно проходила контрольные осмотры и поддерживающую терапию каждые 3–6 месяцев.

Реабилитация

Несмотря на сохраненные ортодонтические проблемы, пациентка сделала главное — взяла на себя ответственность за гигиену. Пациентка строго соблюдала рекомендации и очень дисциплинированно ухаживала за полостью рта дома.

Мы наблюдали её в течение 10 лет.

Результат

Посмотрите, что у нас получилось добиться вместе с пациенткой.

До начала лечения
До начала лечения
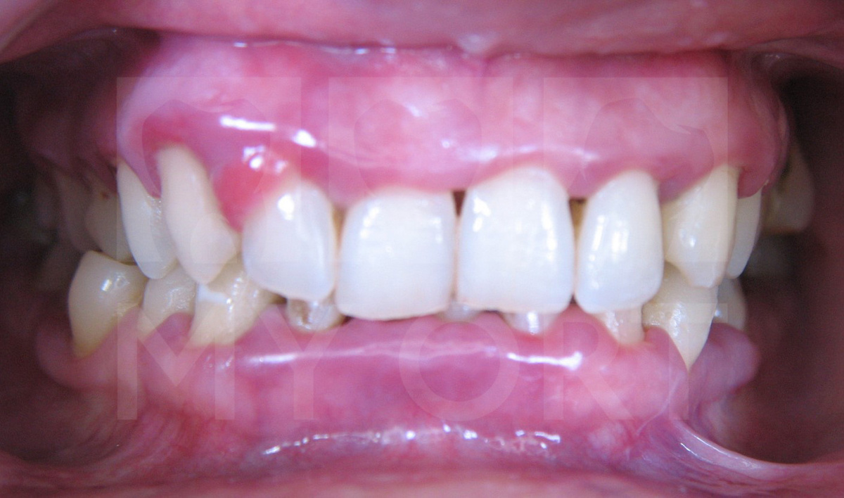
Через 10 лет после начала лечения
Через 10 лет после начала лечения

Между этими фотографиями 10 лет. Если бы пациентка не включилась в процесс и не мотивировалась на гигиену полости рта, — зубы могли бы быть утеряны уже в первые годы.

Сейчас же состояние пародонта и десны остается стабильным. Зубы были сохранены, несмотря на исходный агрессивный характер заболевания и отказ от проведения ортодонтического лечения.

Этот клинический случай подчеркивает, что мотивация и гигиеническая дисциплина пациента могут компенсировать даже неполное выполнение комплексного лечения и обеспечить долговременное сохранение зубов при пародонтите.

Если вам поставлен диагноз «парадонтит» — это не приговор.
Главное — начать действовать: пройти диагностику, выбрать стратегию и соблюдать рекомендации врача.

Мы
в MY ORT знаем, как помочь сохранить зубы — даже в самых сложных случаях.

Ждем вас в комментариях. Расскажите, как проходило ваше лечение и какие были результаты, довольны ли вы ими.

Автор статьи: Госьков Иван Анатольевич. Врач-стоматолог хирург, имплантолог, пародонтолог, детский стоматолог