Добавить в корзинуПозвонить
Найти в Дзене
Екатерина Ляпина

Байт джамп в действии

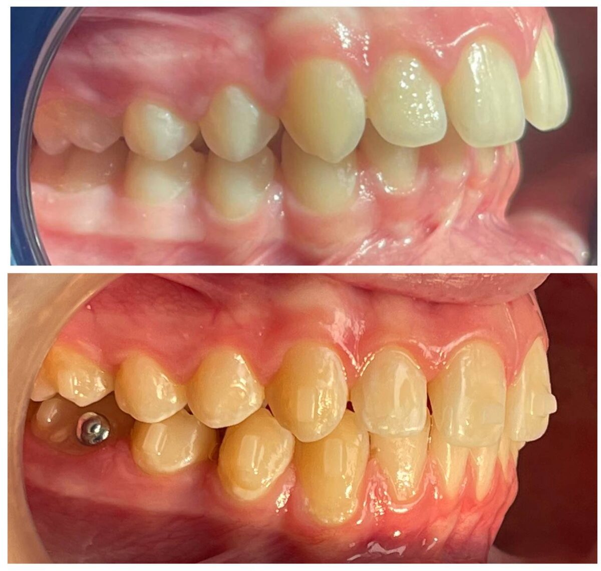
Байт джамп в действии 😍 Байт-Джамп - это «прыжок» нижней челюсти кпереди при создании оптимальных условий. Здесь лечим подростка в 13 лет - еще есть остаточный рост, на него мы и надеялись. Ребенок носит элайнеры и резинки между зубов - в итоге элайнеры создают условия для роста нижней челюсти. Вот почему важно начинать лечение в пик роста - примерно в 12-14 лет. Результат за 1,3 года ношения элайнеров 🥳

Байт джамп в действии 😍

Байт-Джамп - это «прыжок» нижней челюсти кпереди при создании оптимальных условий.

Здесь лечим подростка в 13 лет - еще есть остаточный рост, на него мы и надеялись.

Ребенок носит элайнеры и резинки между зубов - в итоге элайнеры создают условия для роста нижней челюсти. Вот почему важно начинать лечение в пик роста - примерно в 12-14 лет.

Результат за 1,3 года ношения элайнеров 🥳