Добавить в корзинуПозвонить
Найти в Дзене

Отодектоз у собак: симптомы, лечение и профилактика

Отодектоз (ушная чесотка) – это заразное заболевание, вызванное микроскопическими клещами Otodectes cynotis. Эти паразиты живут в ушных каналах собаки, питаясь кожными выделениями и вызывая сильное воспаление. Без лечения отодектоз может привести к серьезным осложнениям, включая отит и даже потерю слуха. Клещи передаются: ✔ При контакте с больным животным(кошками, собаками). ✔ Через общие предметы ухода(подстилки, расчески). ✔ От матери к щенкам. Заподозрить ушного клеща можно по следующим признакам: ⚠ Важно! Похожие симптомы бывают при бактериальных и грибковых инфекциях, поэтому точный диагноз должен ставить ветеринар (под микроскопом). Терапия включает несколько этапов: Используйте ветеринарный лосьон(например, "Отифри" или "Барс") для удаления корочек и выделений. Так как Otodectes может жить на теле, используйте капли на холку("Стронгхолд", "Адвокат", "Фронтлайн"). Постирайте подстилку, обработайте лежак и расчески акарицидным спреем. Нет, Otodectes cynotis не паразитирует на л
Оглавление

Отодектоз (ушная чесотка) – это заразное заболевание, вызванное микроскопическими клещами Otodectes cynotis. Эти паразиты живут в ушных каналах собаки, питаясь кожными выделениями и вызывая сильное воспаление. Без лечения отодектоз может привести к серьезным осложнениям, включая отит и даже потерю слуха.

Как собака заражается отодектозом?

Клещи передаются:

✔ При контакте с больным животным(кошками, собаками).

✔ Через общие предметы ухода(подстилки, расчески).

✔ От матери к щенкам.

Симптомы отодектоза

Заподозрить ушного клеща можно по следующим признакам:

  • Сильный зуд – собака трясет головой, чешет уши лапами или трется о мебель.
  • Темно-коричневые выделения(похожи на кофейную гущу).
  • Неприятный запах из ушей.
  • Покраснение и расчесы в ушной раковине.
  • Отит (в запущенных случаях – гнойные выделения).

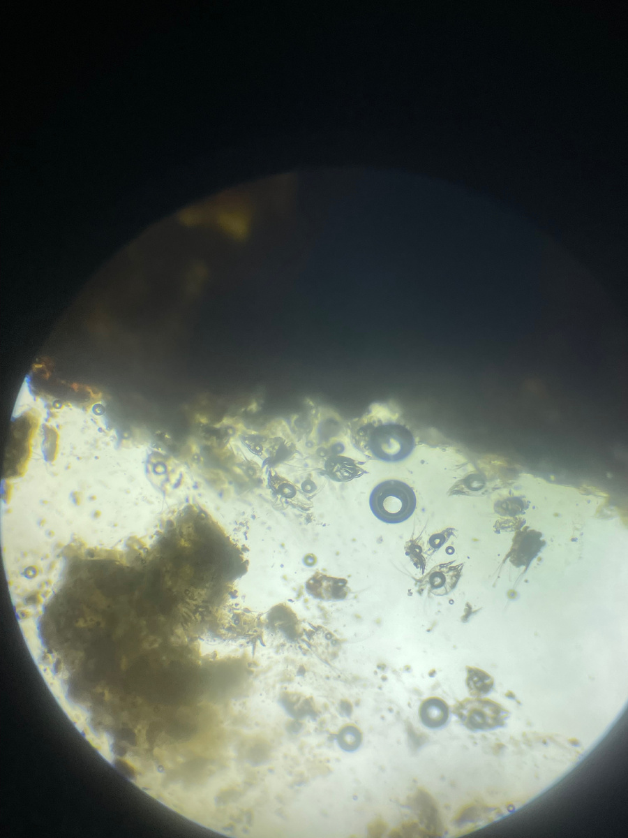
⚠ Важно! Похожие симптомы бывают при бактериальных и грибковых инфекциях, поэтому точный диагноз должен ставить ветеринар (под микроскопом).

Лечение отодектоза

Терапия включает несколько этапов:

1. Очистка ушей

Используйте ветеринарный лосьон(например, "Отифри" или "Барс") для удаления корочек и выделений.

2. Применение акарицидных препаратов

  • Капли ("Амитразин", "Отоферонол Голд", "Суролан").
  • Мази (аверсектиновая мазь).
  • Инъекции (при осложнениях – "Ивермектин", но только по назначению врача!).

3. Обработка от блох и клещей

Так как Otodectes может жить на теле, используйте капли на холку("Стронгхолд", "Адвокат", "Фронтлайн").

4. Дезинфекция окружающей среды

Постирайте подстилку, обработайте лежак и расчески акарицидным спреем.

Профилактика ушного клеща

  • Регулярно осматривайте ушипитомца.
  • Чистите уши 1-2 раза в месяц (специальными лосьонами).
  • Используйте капли от блох и клещей (например, раз в месяц).
  • Избегайте контактов с бродячими животными.

Опасен ли отодектоз для человека?

Нет, Otodectes cynotis не паразитирует на людях, но может вызвать аллергическую реакцию при случайном попадании на кожу.

Вывод

Отодектоз – неприятное, но излечимоезаболевание. Если вы заметили у собаки зуд и темные выделения из ушей – не затягивайте с визитом к ветеринару! Чем раньше начать лечение, тем быстрее питомец избавится от клещей и избежит осложнений.

🐾 Здоровья вашим любимцам! Если есть вопросы – спрашивайте в комментариях.

-2