Найти в Дзене
Иннова Клиник

Клинический случай: Закрытие промежутков между зубами после ортодонтического лечения композитным материалом без препарирования

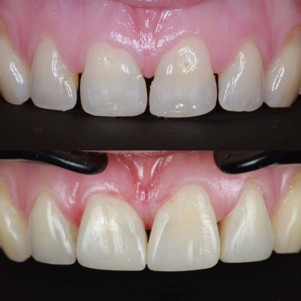
Клинический случай: Закрытие промежутков между зубами после ортодонтического лечения композитным материалом без препарирования Пациентка обратилась с жалобами на эстетические недостатки улыбки после завершения (не нашего) ортодонтического лечения. Несмотря на то, что зубы были выровнены, оставшиеся промежутки между ними создавали дискомфорт и снижали уверенность в себе. Для достижения наилучшего результата было решено использовать композитный материал без предварительного препарирования зубов. До начала реставраций было проведено сканирование зубов для изготовления прототипа будущей формы, с которой врач сделает слепок и перенесет ее в полость рта. В первую очередь был подобран композитный материал, максимально соответствующий естественному цвету зубов пациентки. Это обеспечит гармоничное сочетание и естественный вид. 2. Зубы были очищены от налета и загрязнений, чтобы обеспечить хорошую адгезию композита. Поверхность зубов подготовили порошкоструйным методом для улучшения сцепле

Клинический случай: Закрытие промежутков между зубами после ортодонтического лечения композитным материалом без препарирования

Пациентка обратилась с жалобами на эстетические недостатки улыбки после завершения (не нашего) ортодонтического лечения. Несмотря на то, что зубы были выровнены, оставшиеся промежутки между ними создавали дискомфорт и снижали уверенность в себе.

Для достижения наилучшего результата было решено использовать композитный материал без предварительного препарирования зубов.

До начала реставраций было проведено сканирование зубов для изготовления прототипа будущей формы, с которой врач сделает слепок и перенесет ее в полость рта.

В первую очередь был подобран композитный материал, максимально соответствующий естественному цвету зубов пациентки. Это обеспечит гармоничное сочетание и естественный вид.

2. Зубы были очищены от налета и загрязнений, чтобы обеспечить хорошую адгезию композита. Поверхность зубов подготовили порошкоструйным методом для улучшения сцепления.

3. Композитный материал был аккуратно нанесен на промежутки между зубами. Используя технику послойного наложения, специалист создал форму, соответствующую анатомии зуба, что позволило добиться естественного вида.

4. Каждый слой композита был полимеризован с помощью светового полимеризатора, что обеспечивало прочность и долговечность материала.

5. После завершения наложения композита зубы были отполированы до блеска, что придало им естественный вид и улучшило эстетические характеристики.

После завершения процедуры пациентка была довольна результатом. Промежутки между зубами были успешно закрыты, а улыбка приобрела гармоничный и эстетичный вид.

Работа врача -стоматолога -терапевта Романовой Анастасии Александровны