Добавить в корзинуПозвонить
Найти в Дзене
Два Дантиста

Восстанавливаем эстетику улыбки с рецессией десны

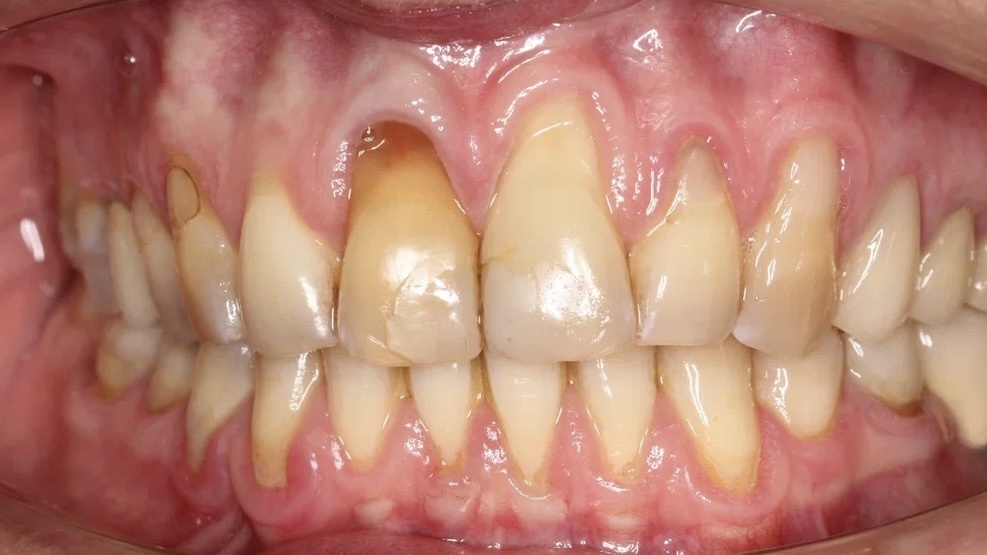
Пациентка обратилась к нам в клинику с жалобой на внешний вид зубов. Диагностика клинической ситуации показала наличие кариесов, рецессии десны, а также нездоровый цвет эмали. План лечения, составленный командой специалистов клиники «Два Дантиста», включал в себя ряд стоматологических процедур, направленных на оздоровление всей полости рта, подготовку к протезированию и исправлению эстетики. Клинические случаи с комплексным лечением является рекомендованным восстановлением для всех пациентов. В данной ситуации, например, игнорирование лечения кариеса могло привести к развитию осложнений, потере зуба, распространению инфекции. Рецессия десны — это появление таких последствий, как повышенная чувствительность зубов, увеличение риска кариеса корня зуба, воспаления и пародонтит, потеря зуба и эстетические проблемы. Нарушение эстетики внешнего вида улыбки приводит к неуверенности в себе, что способствует возникновению психологических, социальных и профессиональных проблем. Заботьтесь о зд

Пациентка обратилась к нам в клинику с жалобой на внешний вид зубов. Диагностика клинической ситуации показала наличие кариесов, рецессии десны, а также нездоровый цвет эмали.

План лечения, составленный командой специалистов клиники «Два Дантиста», включал в себя ряд стоматологических процедур, направленных на оздоровление всей полости рта, подготовку к протезированию и исправлению эстетики.

-2

  • С помощью терапевтических манипуляций были удалены кариозные поражения, установлены пломбы, смоделированы формы зубов и сделана их полировка для гладкости и эстетики.
-3
  • Хирургической операцией было восстановлено опущение десневых тканей, что помогло остановить прогрессирование рецессии десны, восстановить нормальный внешний вид улыбки и укрепить здоровье тканей пародонта.
  • Стоматолог-ортопед установил 7 керамических виниров, которые освежили и омолодили улыбку пациента за счет изменения формы зубов, их привлекательного натурального цвета и природной фактуры.
-4

Клинические случаи с комплексным лечением является рекомендованным восстановлением для всех пациентов. В данной ситуации, например, игнорирование лечения кариеса могло привести к развитию осложнений, потере зуба, распространению инфекции. Рецессия десны — это появление таких последствий, как повышенная чувствительность зубов, увеличение риска кариеса корня зуба, воспаления и пародонтит, потеря зуба и эстетические проблемы. Нарушение эстетики внешнего вида улыбки приводит к неуверенности в себе, что способствует возникновению психологических, социальных и профессиональных проблем.

Заботьтесь о здоровье и красоте своих зубов, чтобы увеличить их срок службы, больше улыбаться, избавиться от комплексов и повысить качество жизни.

Записаться в клинику «Два Дантиста» можно через сайт или по тел. 8 (812) 223-43-29