Найти в Дзене
Стоматология BLANCO

Что важно знать перед имплантацией зубов по технологии All-on-6

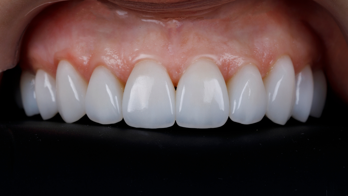
Отсутствие зубов — серьезная проблема, которая негативно влияет не только на улыбку, но и на образ жизни: затрудняет жевание, меняет прикус и даже черты лица. Если у вас отсутствуют все или почти все зубы на челюсти, имплантация All-on-6 — один из самых надежных способов восстановить зубной ряд. Методика позволяет вернуть полноценную функциональность и эстетику всего за несколько визитов к стоматологу. Но чтобы результат радовал вас долгие годы, важно правильно подготовиться и выбрать подходящую технологию. О важных моментах, которые нужно знать перед имплантацией по технологии All-on-6, а также о том, как проходит лечение и реабилитация рассказывает стоматолог-имплантолог Blanco Никита Анатольевич Чугунов. All-on-6 — метод полного восстановления зубного ряда на одной челюсти с помощью шести имплантов, на которых фиксируется несъемный протез. Как это работает: 1. В кость челюсти устанавливают 6 титановых имплантов (в передней и боковой зонах). 2. На них фиксируют протез из металлопласт
Оглавление

Отсутствие зубов — серьезная проблема, которая негативно влияет не только на улыбку, но и на образ жизни: затрудняет жевание, меняет прикус и даже черты лица.

Если у вас отсутствуют все или почти все зубы на челюсти, имплантация All-on-6 — один из самых надежных способов восстановить зубной ряд.

Методика позволяет вернуть полноценную функциональность и эстетику всего за несколько визитов к стоматологу. Но чтобы результат радовал вас долгие годы, важно правильно подготовиться и выбрать подходящую технологию. О важных моментах, которые нужно знать перед имплантацией по технологии All-on-6, а также о том, как проходит лечение и реабилитация рассказывает стоматолог-имплантолог Blanco Никита Анатольевич Чугунов.

Что такое имплантация All-on-6

All-on-6 — метод полного восстановления зубного ряда на одной челюсти с помощью шести имплантов, на которых фиксируется несъемный протез.

Как это работает:

1. В кость челюсти устанавливают 6 титановых имплантов (в передней и боковой зонах).

2. На них фиксируют протез из металлопластмассы или циркония, который выглядит и функционирует как натуральные зубы.

Основные преимущества методики:

  • Максимальная стабильность — 6 опор распределяют нагрузку равномерно, снижая риск перегрузки.
  • Подходит даже при атрофии кости — не всегда требуется сложная костная пластика.
  • Быстрый результат — временный протез ставят сразу, а постоянный спустя 3–6 месяцев.
  • Долговечность — при грамотном уходе конструкция служит несколько десятков лет.

All-on-6 подходит в следующих случаях:

  • при полном или почти полном отсутствии зубов;
  • умеренной или сильной убыли кости, так как импланты ставятся под углом, то это позволяет избежать костной пластики;
  • нежелании носить съемные конструкции;
  • потребности быстро восстановить жевательную функцию и эстетику улыбки.

Отличия между All-on-4 и All-on-6

-2

All-on-4 — способ восстановления зубов на одной челюсти с помощью четырех имплантов, на которых закрепляется несъемный протез.

Когда выбирают All-on-4

Методика «все на четырех» подходит, если:

  • Костной ткани достаточно. Если кость не слишком сильно рассосалась, 4 импланта хватит для надежной фиксации.
  • Нужен быстрый результат. Временный протез фиксируется уже через 1–3 дня после операции.
  • Есть ограничения по здоровью. Меньше имплантов = меньшая травматичность и более легкое восстановление.
  • Финансовые возможности. All-on-4 обычно дешевле, чем All-on-6.

Но если у вас сильная атрофия кости, высокие нагрузки на челюсть, например, занимаетесь спортом или любите твердую пищу, и хотите получить максимально долговечный результат, то лучше рассмотреть All-on-6.

Как проходит подготовка к имплантации

-3

Мы понимаем, что подготовка к имплантации может вызывать волнение. Но представьте: всего через несколько месяцев у вас появятся новые зубы, которые не отличить от натуральных! Чтобы всё прошло гладко, мы разработали понятный и комфортный процесс подготовки. Разберём его по шагам.

1. Первая консультация. Мы с вами познакомимся, и вы расскажете о своих пожеланиях и страхах перед имплантацией. Потом проведу осмотр полости рта, проверю состояние десен и оставшихся зубов. Направлю на компьютерную томографию. 3D-снимок челюсти покажет плотность и объем кости.

На этом этапе уже можно понять, подходит ли вам All-on-6, или лучше рассмотреть другие варианты.

Не стесняйтесь задавать вопросы, например, будет ли больно, сколько времени займет подготовка.

2. Медицинское обследование. На этом этапе проверяем здоровье. Чтобы имплантация прошла успешно, важно исключить противопоказания:

  • невылеченный кариес или воспаление десен;
  • серьезные хронические заболевания, например, диабет, остеопороз;
  • проблемы со свертываемостью крови.

В обследование входит:

  • Анализы крови (общий, на сахар, свертываемость).
  • Санация полости рта — лечение кариеса, удаление разрушенных зубов.
  • Коррекция терапии, если вы принимаете лекарства, влияющие на заживление.

3. Планирование. Создаем модель идеального протеза. На компьютере проектируем будущие зубы с учетом вашего прикуса и формы лица. Подбираем тип и размер имплантов.

Вы заранее увидите, как будут выглядеть зубы, и сможете скорректировать форму или цвет.

4. Подготовка организма. Чтобы снизить риски осложнений, даю рекомендации перед операцией:

  • Отказать от курения хотя бы за 2 недели, так как никотин ухудшает заживление.
  • Принимать витаминный комплекс, чтобы укрепить костную ткань.
  • Полноценно отдыхать и высыпаться, чтобы помочь организму восстановиться.

5. Последние приготовления. За день до имплантации рекомендую легкий ужин, если операция утром, тщательно почистить зубы и настроиться на позитив. Ведь завтра начнется ваша новая жизнь с красивыми зубами!

Никакой спешки. Каждый этап согласовываем с вами. Если что-то беспокоит, то вы в любой момент можете обратиться в Blanco. Наша клиника работает круглосуточно.

Что ожидать после установки All-on-6

-4

После установки имплантов начинается важный период — заживление и привыкание.

Мы сделали этот процесс максимально комфортным и предсказуемым.

Первые 24 часа после операции. Небольшая отечность десны, легкая болезненность, как после удаления зуба, и незначительные кровянистые выделения из ранок — это нормально.

Что делать:

  • Приложите холод (лед в полотенце) на 10 минут каждый час, чтобы уменьшить отек.
  • Примите обезболивающее строго по схеме от врача.
  • Спите на высокой подушке — это снизит приток крови к челюсти.

Чего не надо делать:

  • не полощите рот в течение суток, чтобы не вымыть кровяной сгусток;
  • не трогайте место операции языком, чтобы не сместить имплантат;
  • откажитесь от курения и алкоголя — они замедляют заживление.

2–7 день. Адаптация к временному протезу. Отек постепенно спадает. К пятому дню станет значительно меньше. Вы научитесь жевать мягкую пищу: пюре, супы, паштеты. Может ощущаться легкое давление на импланты — это нормально.

В этот период можно есть теплую (не горячую!) пищу, избегать крошащиеся продуктов (печенье, хлебные корки), так как они могут попасть под протез.

Чистить зубы следует очень мягкой щеткой и использовать ирригатор с антисептиком, чтобы промывать десны.

Если протез сильно мешает или вызывает боль — сразу звоните нам! Мы откорректируем его за 30 минут.

2–4 неделя. Возвращение к привычной жизни. Десны окончательно заживут, пропадут дискомфорт и чувствительность. Вы полностью привыкнете к протезу.

На этом этапе можно вводить в рацион более твердую пищу, например, рыбу, котлеты, макароны. Аккуратно жевать на обеих сторонах, чтобы нагрузка должна быть равномерной.

Чистить протез 2 раза в день специальной щёткой.

1–6 месяцев. Поэтапный переход на постоянный протез. Через 3 месяца импланты полностью срастаются с костью. На 4–5 месяц снимаем временный протез, ставим постоянный (из циркония или акрила).

За постоянными зубами важно тщательно ухаживать:

  • Чистить 2 раза в день с использованием ирригатора.
  • Раз в полгода проходить профессиональная чистка у стоматолога.
  • Не раскусывать орехи, лед, и не открывать упаковки зубами, чтобы не повредить конструкцию.

Долгосрочная поддержка. Мы всегда на связи. Если что-то беспокоит, то вы можете в любое время позвонить. Клиника работает круглосуточно. Мы уверены в качестве своей работы и даем годовую гарантию на лечение + 100 лет гарантии на импланты от производителя.

Коротко о методе All-on-6

Методика позволяет надежно установить полный зубной протез на шести искусственных корнях.

Процедура особенно актуальна для людей, которые потеряли все зубы или у них диагностированы серьезные проблемы с зубами и деснами.

All-on-6 показана при значительной атрофии костной ткани, когда необходимо обеспечить максимальную стабильность протеза. Способ также подходит для пациентов, которые хотят восстановить зубы за короткий срок.

Перед процедурой проводится комплексная диагностика, включая компьютерную томографию и функциональную диагностику. Это позволяет оценить состояние костной ткани и разработать индивидуальный план лечения.

После установки имплантов пациент проходит несколько этапов реабилитации, включая контроль за состоянием десен и имплантов.

Хотите узнать, подходит ли вам All-on-6? Запишитесь на консультацию — наши специалисты проведут диагностику и предложат оптимальный план лечения именно для вашего случая.

Ваша новая улыбка ближе, чем кажется!