Добавить в корзинуПозвонить
Найти в Дзене
Farakicks

18 рентгеновских снимков, которые впору назвать необычными произведениями искусства

Какое впечатление на вас производят рентгеновские снимки? Согласитесь, что немного завораживает снимок, который показывает ваши собственные органы, просвечивая тело насквозь. Правда, для обывателя такие фотографии ни о чем. А вот врач способен сделать многие выводы о здоровье. Так что можно и нужно благодарить изобретателя технологии. Напомним, что это был Вильгельм Конрад Рентген, который открыл удивительные лучи с необычными свойствами в 1895 году. Мы же собрали по-настоящему потрясающие снимки. Они производят неизгладимое впечатление! По-своему красивые и завораживающие. Увы, такая проблема со здоровьем бывает не только у людей. Хотя в целом она весьма распространена, этот снимок все-таки необычный. Ведь такого размера камни встречаются крайне редко. Кстати, животное от этого не страдает. В целом врач не видит необходимости в каких-то мерах. А вот посмотреть, как выглядит место перелома, весьма любопытно. Эффект впечатляющий даже наглядно. Ведь п
Оглавление

Какое впечатление на вас производят рентгеновские снимки? Согласитесь, что немного завораживает снимок, который показывает ваши собственные органы, просвечивая тело насквозь.

Правда, для обывателя такие фотографии ни о чем. А вот врач способен сделать многие выводы о здоровье. Так что можно и нужно благодарить изобретателя технологии. Напомним, что это был Вильгельм Конрад Рентген, который открыл удивительные лучи с необычными свойствами в 1895 году.

Мы же собрали по-настоящему потрясающие снимки. Они производят неизгладимое впечатление! По-своему красивые и завораживающие.

Просто дамская сумочка

-2

Это кошечка свернулась клубочком и спит

-3

Курица позирует!

-4

Морской конек! Какой, оказывается, красавец

-5

Это часть тела йоркширского терьера. Благодаря рентгену обнаружены камни

-6

Увы, такая проблема со здоровьем бывает не только у людей. Хотя в целом она весьма распространена, этот снимок все-таки необычный. Ведь такого размера камни встречаются крайне редко.

После того, как аппарат выдал ошибку, его решили

-7

протестировать на кукле

Переломы пальцев и скобы, которыми их скрепил врач

-8

Старый рентгеновский снимок, который, может, не совсем четкий, но одной семье крайне дорог. Потому что это просвечивание ребенка, который умудрился проглотить батарейку

-9

Иногда встречаются аномалии: по шесть пальцев на каждой руке и ноге

-10

А кому-то пришло в голову просветить карту памяти microSD

-11

Кошечка родилась со сломанным хвостиком. Немного позже ей сделали рентген

-12

Кстати, животное от этого не страдает. В целом врач не видит необходимости в каких-то мерах. А вот посмотреть, как выглядит место перелома, весьма любопытно.

Что только не встречают врачи! На этом снимке запечатлена старушка с кифозом. Он развит до такой степени, что всю свою жизнь женщина смотрит просто в землю

-13

Кто-то решил просветить змею. И, если внимательно присмотреться, можно увидеть, что внутри нее переваривается мышь

-14

Внутри одной свинки растет вторая! Беременная самочка

-15

Когда пациент не верит врачу, что нужны срочно брекеты, можно показать, как на самом деле расположены зубы. Впечатляет и даже ужасает!

-16

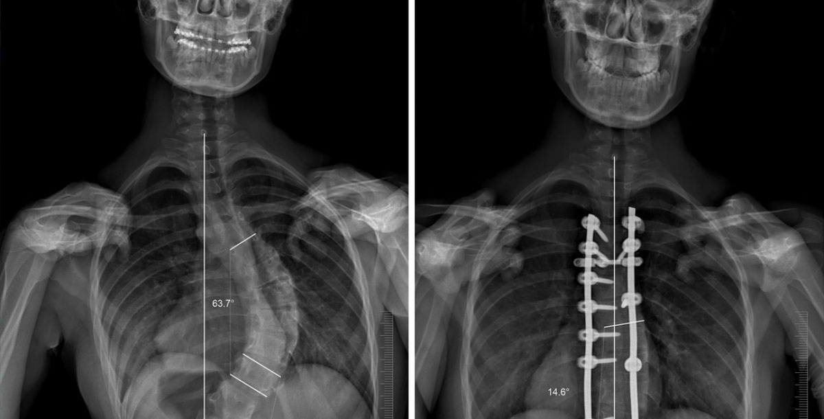
На снимках можно увидеть, как поменялся позвоночник после операции по исправлению искривления

-17

Эффект впечатляющий даже наглядно. Ведь после операции человек буквально сразу вытянулся на целых пять сантиметров вверх.

Что будет, если просветить морского ската

-18

А это еще один морской житель: большеголовая молот-рыба

-19

Если у человека ожирение, это можно понять даже по рентгену

-20

Это заснят момент, когда мама-сова принесла мышку совенку

-21

Давайте-ка посмотрим, что успела слопать пиранья

-22

Это некто Эрнст Пейн решил сделать снимок ноги, обутой в ботинок. Видно мельчайшие подробности!

-23

Снимок хамелеона. Впечатляет особенно по той причине, что он получен в далеком 1896 году

-24

Пропускали когда-то чемодан в аэропорту через аппарат досмотра? Вот, в каком виде сотрудники безопасности видят его содержимое

-25

Если очень приспичило в туалет, мочевой пузырь выглядит приблизительно так

-26

Мотоциклист в шлеме

-27

В чем странность этой фотографии? Она сделана после установки титановой челюсти. А до этого была удалена родная кость, так как ее поразил рак

-28