Добавить в корзинуПозвонить
Найти в Дзене
Parodoctor

Постоянный зуб у ребёнка не болел, а кариес добрался до нерва - биологический метод лечения пульпита, обратимый пульпит

Ох уж эти постоянные 6 зубы, которые прорезываются первыми и первыми же, зачастую, терпят крах - разрушаются, теряют "нервы" (пульпу). Ни один родитель не хочет своему чаду такой участи. А уж если нерв пришлось убрать... Всё, всю жизнь теперь ребёнку по "зубникам" ходить и денежки носить. Сегодня расскажу о случае, в котором маленькому человеку, только начавшему переход во взрослое состояние, невероятно повезло. Случилось несколько чудес сразу - парнишка оказался братом ассистента терапевта (работают в команде с 2022 года), его зуб взялся спасать этот же терапевт с новым микроскопом, я дала добро - постоянный зуб остался живым вопреки диагностическим показателям! Этой статьи не должно было бы существовать - мы не лечим зубы детям, никакого кариеса и пульпита в стенах клиники. Нет лицензии, в своё время не вышло обзавестись второй уборной, вот и не стали открывать "детство". Но. Я осознанно пишу эту статью, повторять подобное с другими детьми мы не будем, увы. Таков закон, дело не во в
Оглавление

Ох уж эти постоянные 6 зубы, которые прорезываются первыми и первыми же, зачастую, терпят крах - разрушаются, теряют "нервы" (пульпу). Ни один родитель не хочет своему чаду такой участи. А уж если нерв пришлось убрать... Всё, всю жизнь теперь ребёнку по "зубникам" ходить и денежки носить.

Сегодня расскажу о случае, в котором маленькому человеку, только начавшему переход во взрослое состояние, невероятно повезло. Случилось несколько чудес сразу - парнишка оказался братом ассистента терапевта (работают в команде с 2022 года), его зуб взялся спасать этот же терапевт с новым микроскопом, я дала добро - постоянный зуб остался живым вопреки диагностическим показателям!

Этой статьи не должно было бы существовать - мы не лечим зубы детям, никакого кариеса и пульпита в стенах клиники. Нет лицензии, в своё время не вышло обзавестись второй уборной, вот и не стали открывать "детство". Но. Я осознанно пишу эту статью, повторять подобное с другими детьми мы не будем, увы. Таков закон, дело не во вредности.
Смысл текста - возможно, кто-то более тщательно приглядится к зубам своих детей.

Как это было - начало

Разболелся у парня зуб, да не тот, что стал героем статьи. Нижняя шестёрка дала о себе знать острой болью, познакомив юного человека с миром страданий.

Хоть сотрудница наша и стоматолог, но с родителями уже не живёт, братишку не наблюдает и в рот ему не заглядывает. Родители стоматологами не являются и с зубами не настолько заморачиваются, насколько, наверное, следовало бы (но это поправимо). Хотели отвести сына в какую-то детскую клинику, где обещали справиться минут за 30 (вот это был бы номер). А почему так? Не любит мальчонка "зубников", ведёт себя плоховасто...

Когда случилась острая боль, обратились к дочери/сестре - выручай. А та подошла ко мне и доктору-терапевту, просить о помощи, спасать братана надобно, а то потащат родители его в неведомую клинику 30 минут и быть беде...

В честь заслуг на работе, доброго отношения и длительности "служебного стажа" мы не могли отказать. Главное, врачу не сказали заранее, что ребятёнок с характером антистоматологическим (и не зря, он оказался душкой).

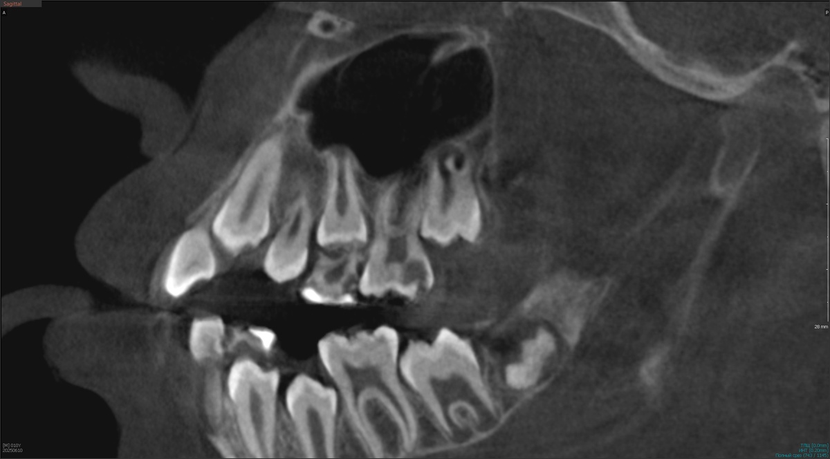
Сделали КТ, а там - мама дорогая. Всё плохо и тот факт, что некоторые зубы ПОКА ещё не болят, весьма скоро нивелируется очередным прострелом. Но про пульпит не будем, эндодонтическое лечение менее интересная тема, чем та, из-за которой и была написана статья.

Зуб никак не беспокоил, а огромная кариозная полость имелась

Вообще, не каждый сможет понять самостоятельно, что зуб в большой опасности находится:

Кариес
Кариес

На КТ всё выглядит плохо:

Видите, насколько тонкая полоска твёрдых тканей отделяет пульпу от краха? Приблизим:

Пульпит?
Пульпит?

Доктор почти уверен, что придётся лечить пульпит - делать эндодонтию.

Проводит чёткое диагностическое мероприятие, называемое фриз-тест.

Фриз-тест кратковременно положительный и быстропроходящий - признак живой, здоровой пульпы. Удивительно.

Биологический метод лечения пульпита

Начали "сверлить":

Удалена часть тканей
Удалена часть тканей

Дальнейше чистовое препарирование в коффердаме бором, который был заменен на новый, чистый, явило миру пульпу:

Пульпа
Пульпа

Не кровит (хотя анестезия с малым количеством адреналина), розовенькое нечто приветствует доктора. Не поднялась рука специалиста - не стал он убиением заниматься новой зубной жизни.

Что делать? Прямое покрытие МТА должно спасти ситуацию. Человек ещё совсем молодой, шансов на успех много.

Прямое покрытие МТА
Прямое покрытие МТА

Осталось приловчить пломбу хорошую да убрать всю изоляцию. На десну особо не смотрите, заживёт за пару дней:

Постоянная шестёрка юного человека спасена!
Постоянная шестёрка юного человека спасена!

Посмотрим рентгенограмму после:

Прямое покрытие МТА
Прямое покрытие МТА

Прошло уже достаточное количество времени, зуб не беспокоит. Со временем выработается достаточное кличество заместительного дентина и зуб должен остаться живым. У детей с этим проще, чем у взрослых.

Парень, кстати, отлично себя проявил на приёме - не пикнул, стойко всё выдержал. Молодец.

Почему сохранить пульпу живой - хорошо

Живой зуб менее хрупкий, чем зуб депульпированный, его не нужно покрывать коронкой. Шансы обойтись без проблем в перспективе с таким зубом очень велики. Так же, хоть доктор и с золотыми руками, эндодонтия имеет риски осложнений.

Вся жизнь впереди у человека - хорошо, что в современном мире, уже лет 10 как, доступно подобное лечение.

Уважаемые родители! Делайте, пожалуйста, упор на профилактику - водите деток с томатологам (детским) на гигиену и осмотры, лечите кариес вовремя, не затягивайте. Показывайте на своём примере, как важна домашняя гигиена. Ведь именно вы являетесь лучшим примером для своего чада.

Потом, когда человек станет взрослым, он скажет вам огромное спасибо за сохранённые зубы и за то, что будет освобождён от бесконечного посещения стоматолога для лечения и удаления зубов. Только гигиена, только осмотры.

Напоминаю, что детей мы не лечим по поводу кариеса, пульпита и т.п.

Подборка по гигиене:

ГИГИЕНА | Parodoctor | Дзен

Как зажила десна, ответы на вопросы, неформатные для Дзен материалы, группа поддержки в лице лояльных подписчиков - в моём ТГ канале:

Parodoctor

С уважением, Лежачёва Наталия Александровна, хирург-пародонтолог и главный врач стоматологии Parodent, СПб.