Найти в Дзене
Прайм-Стоматология

«Это кардинально изменило мою самооценку!» - история нашей пациентки

Очередная сложная задача, с которой блестяще справился ведущий врач-стоматолог ортопед, наставник ПРАЙМа Кузьмин Павел Иванович. К доктору на приём обратилась Кристина с жалобами на эстетику передних зубов. Со слов нашей пациентки, это проблема мучила её очень давно, и она многократно посещала стоматологов, чтобы улучшить ситуацию. Однако, результат получался не таким, как хотелось бы. Чтобы исполнить давнюю мечту нашей прекрасной пациентки о красивой улыбке, оставался один выход — эстетические реставрации с помощью виниров. С помощью всего лишь 6 керамических виниров Павлу Ивановичу удалось добиться потрясающего преображения. Улыбка стала гармоничной, естественной и безупречной — керамические реставрации идеально слились по цвету с родными зубами, сохранив при этом прозрачность и игру света натуральной эмали. Это именно то, что искала наша пациентка — не просто красивая улыбка, а улыбка, которая становится частью тебя! «Это кардинально изменило мою самооценку!» - поделилась эмоциями К

Очередная сложная задача, с которой блестяще справился ведущий врач-стоматолог ортопед, наставник ПРАЙМа Кузьмин Павел Иванович.

К доктору на приём обратилась Кристина с жалобами на эстетику передних зубов. Со слов нашей пациентки, это проблема мучила её очень давно, и она многократно посещала стоматологов, чтобы улучшить ситуацию. Однако, результат получался не таким, как хотелось бы. Чтобы исполнить давнюю мечту нашей прекрасной пациентки о красивой улыбке, оставался один выход — эстетические реставрации с помощью виниров.

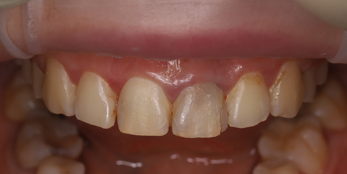
Фото нашей пациентки до эстетической реставрации с помощью виниров.
Фото нашей пациентки до эстетической реставрации с помощью виниров.

С помощью всего лишь 6 керамических виниров Павлу Ивановичу удалось добиться потрясающего преображения. Улыбка стала гармоничной, естественной и безупречной — керамические реставрации идеально слились по цвету с родными зубами, сохранив при этом прозрачность и игру света натуральной эмали.

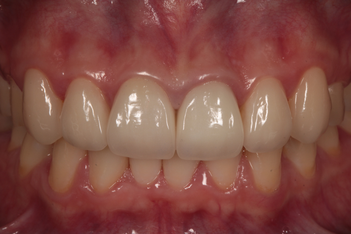
Фото нашей пациентки после эстетической реставрации с помощью виниров.
Фото нашей пациентки после эстетической реставрации с помощью виниров.

Это именно то, что искала наша пациентка — не просто красивая улыбка, а улыбка, которая становится частью тебя!

Улыбка – это часть нашего имиджа.
Улыбка – это часть нашего имиджа.
«Это кардинально изменило мою самооценку!» - поделилась эмоциями Кристина после установки керамических виниров.

В свою очередь благодарим нашу пациентку за доверие!

-4

Хотите такую же естественную улыбку, которая будет приковывать взгляды окружающих? Запишитесь на консультацию в ПРАЙМ— (4912)292-000.

_________________________________

Наши клиники в г. Рязань:

Есенина, 110

Советской армии, 9

Бирюзова, 28а

Интернациональная, 23

Полетаева, 34 (клиника корпоративного университета)

https://www.prime-med.ru/