Найти в Дзене

Впечатляющая дисперсная однослойная клеточная структура карциноидной опухоли лёгкого

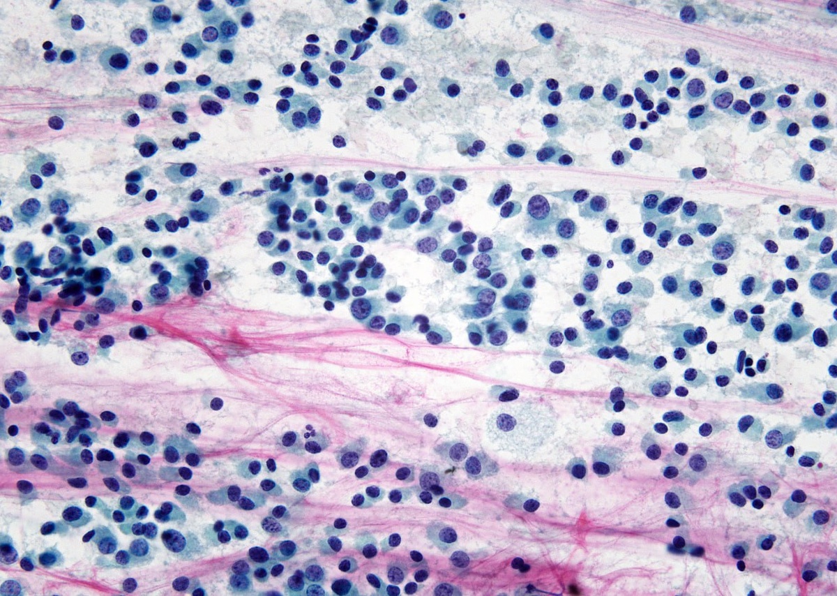
Впечатляющая дисперсная однослойная клеточная структура карциноидной опухоли лёгкого. Материал ТАБ под контролем эндоскопического ультразвука (EUS-FNA) #цитология #легкое

Впечатляющая дисперсная однослойная клеточная структура карциноидной опухоли лёгкого.

Материал ТАБ под контролем эндоскопического ультразвука (EUS-FNA)

#цитология #легкое

-2