Добавить в корзинуПозвонить
Найти в Дзене
Белка в позе

Дежурство с 08.07 на 09.07.25

Здравствуйте🤝 Сходили мы на рапорт , отчитались , новостей от начальства не получили и ушли по рабочим кабинетам работу работать. В приёмнике ее всегда хватает , не утром , так вечером будет, а то и с утра как зарядят. Конечно , все самое интересное происходит ближе к вечеру, за день народ наактивничается , и к вечеру уже не против пройти обследование , хотя бы в виде рентгена. ***************** Пришел мужчина , 67 лет , на снимок сначала ребер , а потом и органов грудной клетки. Явно у пациента негативный анамнез , упал где-то , на каких -то трубах , не помнит точно когда , но вот болит. Видно , что есть переломы ребер, множественные. А на снимке легких отчетливо видна подкожная эмфизема. Ну , и пошел пациент домой , отказавшись от госпитализации, обследованный и с диагнозом. ******************** Дальше шли пациенты , уже загипсованные , лучезапястные , плечевые суставы. Они все с области , в райбольницах им оказали первую помощь и направили к нам. Только и успевали делать первоначал
Оглавление

Здравствуйте🤝

Сходили мы на рапорт , отчитались , новостей от начальства не получили и ушли по рабочим кабинетам работу работать.

В приёмнике ее всегда хватает , не утром , так вечером будет, а то и с утра как зарядят.

Конечно , все самое интересное происходит ближе к вечеру, за день народ наактивничается , и к вечеру уже не против пройти обследование , хотя бы в виде рентгена.

*****************

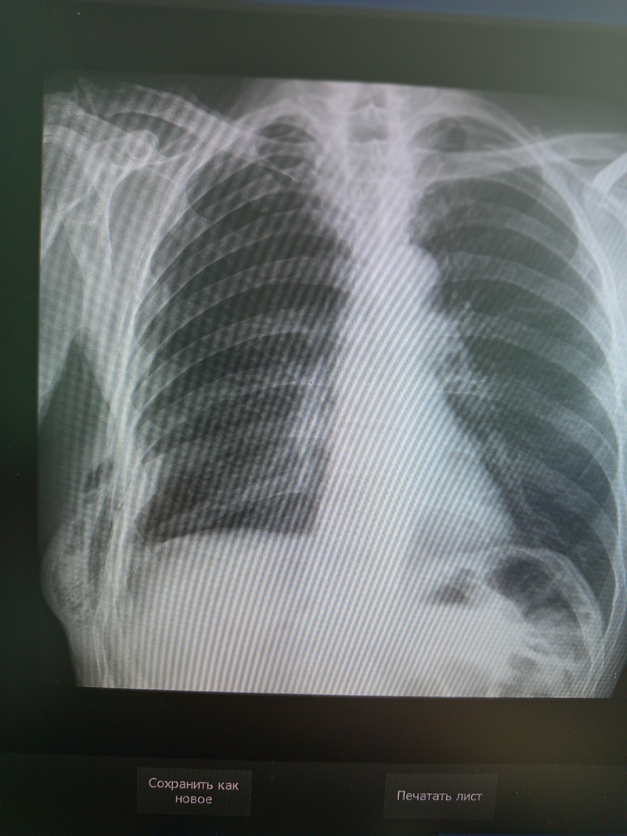
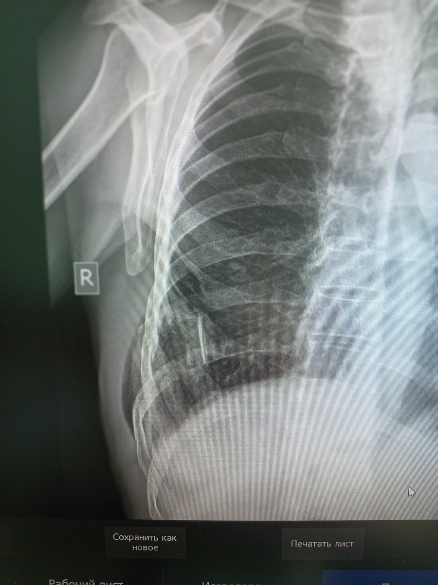
Пришел мужчина , 67 лет , на снимок сначала ребер , а потом и органов грудной клетки.

Явно у пациента негативный анамнез , упал где-то , на каких -то трубах , не помнит точно когда , но вот болит.

Видно , что есть переломы ребер, множественные.

-2

А на снимке легких отчетливо видна подкожная эмфизема.

Ну , и пошел пациент домой , отказавшись от госпитализации, обследованный и с диагнозом.

********************

Дальше шли пациенты , уже загипсованные , лучезапястные , плечевые суставы. Они все с области , в райбольницах им оказали первую помощь и направили к нам.

Только и успевали делать первоначальные снимки суставов , следом легкие и на госпитализацию.

*********************

Потом стали поступать переводные пациенты, со сломанными шейками бедра . Мы обычно не перекладываем их на стол , если вес не превышает 90 килограмм, все , что свыше , перекладываем, чтобы снимки были более-менее читаемые.

После такого пациента здорово тормозится общая очередь из ходячих и мобильных.

А переводных пациентов проходящих по сочетанной травмы вообще нужно снимать в кабинетах стационара. Сколько не бились , не добились ничего. И тот факт , что им в районах делали уже и снимки и КТ не влияет ни на что. Только нагрузка лучевая на пациента увеличивается.

Вот и завезли такую пациентку , из области , 23 года , автодорожка . Она , ее младшая сестра , их мама , наняв машину , ехали отдыхать на какую-то базу.

Мать погибла до приезда медиков , водитель остался в районе в тяжёлом состоянии , сестру к нам привезли еще в субботу , как более пострадавшую , а женщину перевели сегодня. И назначили:череп , легкие , таз, поясничный отдел(в двух проекциях) и плечо.

С большой аккуратностью по причине точного перелома плеча переложили ее на стол.

Начать решаю с плеча.

-3

И разумеется речь о второй проекции, боковой, сразу отпадает.Не ляжет она на бок , даже пробовать не буду , она и так с трудом переносит боль. В дополнительной информации так и указали , что нет технической возможности.

Да , врачам это неудобно , но , сами пусть приходят и попробуют уложить.

********************

Конечно , накопилась очередь из пациентов после мультисъемки молодой женщины. Трое по нейрохирургии, четверо по травме и двое по хирургии.

Конечно , работаем вдвоем с Линой , раскидывая скопившуюся очередь, да еще начал звонить телефон , из разных приемников интересуются , когда же будут снимки.

–Работаем, –коротко бросаю я в трубку. К трем коридор наконец-то пустеет полностью и Лина просит уборщицу сделать уборку , пока никого нет. Получает отказ в сиюминутной уборке и ответ , что в четыре она будет мыть.

В четыре мы с Михалной Лину отпускаем домой , все равно она завтра придет, у нее на месяц персональный график:каждый день в день и семь дежурств.

В четыре наша уборщица соизволила подняться с кушетки и приступила к обязанностям, и к половине пятого мы опять имели полный коридор пациентов , включая каталочных

Благо , Борисовна решила приехать пораньше на работу, она ж с нами в ночь сегодня.

За час втроем "раскидываем" пациентов. И я ухожу домой , чтобы проверить питомцев. Кто и чего сделал , в каком количестве , прогулять гуляющих и досыпать корм .

*********************

Вечереет

Завезли мужчину на сидячей каталке, 46 лет , сопровождает жена. По состоянию видно, что пациент частично парализован.

–Последствия инсульта?

–Нет , у него опухоль была , операцию делали и имплант поставили.

–С какой стороны имплант стоит?

–Вот тут , слева.

–Левограмма! –сообщаю Михалне о боковой проекции. –А он сам -то посидит?

–Не знаю.

–Тогда надевайте жилет и стойте с ним , приглядывайте, мало ли что будет, когда я уйду снимок делать.

Голову сняли , имплант целый.

-4

Назначена еще и поясница.

–Как он у вас упал , если почти не передвигается , –спрашиваю , помогая улечься пациенту на стол в правильную укладку.

–А он не у меня упал, –делится жена пациента. –Он находился на реабилитации в центре, там и упал , только все это скрыли и выписали мне его, как хорошо передвигающегося.

–Это называется хорошо передвигается!?

–Да, дома он уже начал жаловаться , что болит спина , выяснилось , что упал в этом центре.

Кошмар.

Отсняла маломобильного пациента . Следующий!

******************

Закатила санитарка приемника каталку.

–Встречайте "жениха", –положила она направление на стол.

"Жених " спит , свернувшись калачиком, числится , как неизвестный.

Отвергли мы кандидатуру , отсняли и укатили в приемник.

Пошли на ингаляцию , пока тихо.

Идет нейрохирург Олеся Аркадьевна мимо спящего в приемнике жениха.

–Инна, это кто такой? Где взяли? –задает вопрос медсестре приемника.

Та картинно закатывает глаза:

–Не мы , а скорая привезла. На вокзале подобрали.

–Вот пусть увозят , не нужен он нам!-шутит врач, прекрасно понимая, что его , скорее всего поднимут к ним в отделение.

*******************

Завозит санитарка приемника снова "жениха" на этот раз на сидячей каталке. Это с именем и фамилией хотя бы.

–Сопроводите его потом? Он дезориентирован.

Да дезориентация есть, заговаривается , но смирно сидит в укладках. Сняли и увезли к кабинету.

Парад женихов на этом не закончился . Следующий вышел из скорой сам, хоть и нетвердой походкой.

–Плохо мне , голова кружится, –жалуется он Михалне .

–Так ты не пить-то пробовал? Может , полегчало бы! –Михална уже здорово устала , но спать не идет.

***********************

Пришла пациентка на снимок плеча и плечевого сустава.

Михална оглядела руку пациентки и опытным взглядом определила перелом средней трети плечевой кости.

Сделала снимок плеча–так и есть , сустав отдельно можно не снимать.

–Ну , все, я сейчас пойду к ним , пусть мне объяснят свои назначения! Не отправляй пока снимок!

Вот довели опытного работника, хотя ходить и высказывать смысла нет , нам дали добро самим вносить коррективы в направления.

Вернулась в сопровождении травматолога и "кистевика" (он тоже травматолог , только не в общей травме , а в узкоспециализированной).

–Кто писал это направление? –строго глядя из-под очков , как учительница , спросила врачей Михална.

–Эээ.... А что? –замешкались врачи. –Что не так в направлении?

–То , что у пациентки перелом средней трети плеча, зачем, я спрашиваю вам ее сустав , если он цел?Почему я должна делать четыре снимка , вместо двух?! –заводится Михална.

Травматологи переглянулись , спорить не стали , обещали писать конкретнее и были таковы.

********************

09.07

-5

Отправила я всех спать , обещала не будить, додежурю , сколько смогу , потом стащу за ногу первого попавшегося лаборанта и пойду спать, вечером приду , у меня стоит ночная смена.

Относительно тихо, ну , пришло двое молодых муж , исключить травму пальцев стоп. Исключили.

Женщина на снимок предплечья.

–Вы сейчас получили травму?-вижу небольшой синяк на руке , но уже желтеет.

–Нет , дней шесть назад.

–А пришли ночью -то почему?

–А какая разница во сколько прийти? Вы же круглосуточная больница.

А , и правда же , сейчас она сходит на гипс , а она сходит

-6

и послушает медсестру процедурки приемника.

********************

–Можно? –слышу в приоткрывшуюся дверь мужской голос , хотя в базе висит пациентКА.

–Заходите.

Завозит мужчина сидячую каталку с женщиной, 47 лет , назначен снимок голеностопа и стопы, но стопа в очень неестественном положении.

–Это после травмы у вас так?

–Нет , это осложнения после операции , связки сшили не так.

-Или мышцы?

–Ой , да напортачили, теперь квоту жду , чтобы исправили. Стопа не слушается и колено сглажено.

👀

Снимала в положении "как есть" , что называется.

-7

Так в бок у нее стопа и есть, наступать она на нее наступает неполноценно, вот и подвернула, но костная система целая.

Пока сопровождающий забирал со стола даму сердца , в кабинет зашла женщина , не смотря на пациентов в кабинете , протянула мне направление.

–Там на двери информация есть , а мне еще снимки нужно проявить, –сказали я ей.

–Да ? Не видела.

–Так выйдите и почитайте , пока я работаю.

Очень громко захлопнулась дверь. Нервные все стали, еще и обидчивые.

Эта пациентка оказалась коллегой, медсестра процедурная , травмирован четвертый палец левой руки.

–Ну , даже если сломала , то работать можно, не на правой же руке.

–Да в том -то и дело , что я левша!

–А что случилось?

–Да брата с мужем разнимала.

-8

Подломила.Ей хотели продать лангету , но она не купила , в результате сошлись на импровизированной , из пятикубового шприца) 😂

Кончик срезали и надели , обвязав бинтом.

*******************

Пришла меня менять Михална, хотя я ее и не будила , она просто не смогла уснуть . Ну и ладно , тогда пойду домой, посплю и в ночь приду.

Завернула во двор , что ты будешь делать! Опять новые цветы! Эти я даже не буду так называть, не знаю из и предположений нет.

-9

А тем , кто в отпуске–хорошего отпуска)

Все события вымышлены , все совпадения случайны.