Найти в Дзене

Зубы vs гаджеты - как наши любимые устройства незаметно губят прикус

Вы прямо сейчас читаете этот текст, склонив голову к экрану? Поздравляем – вы в зоне риска! Современные гаджеты не только изменили наш образ жизни, но и начали влиять на... зубы. Да-да, смартфон и ноутбук могут быть виновниками неправильного прикуса, стираемости эмали и хронических болей в челюсти. По данным ВОЗ, 40% людей 18-35 лет уже имеют аномалии прикуса, вызванные гаджетами. В стоматологии «Дант» в Екатеринбурге мы исследовали, как цифровые привычки разрушают здоровье зубов. Делимся шокирующими фактами и способами защиты!

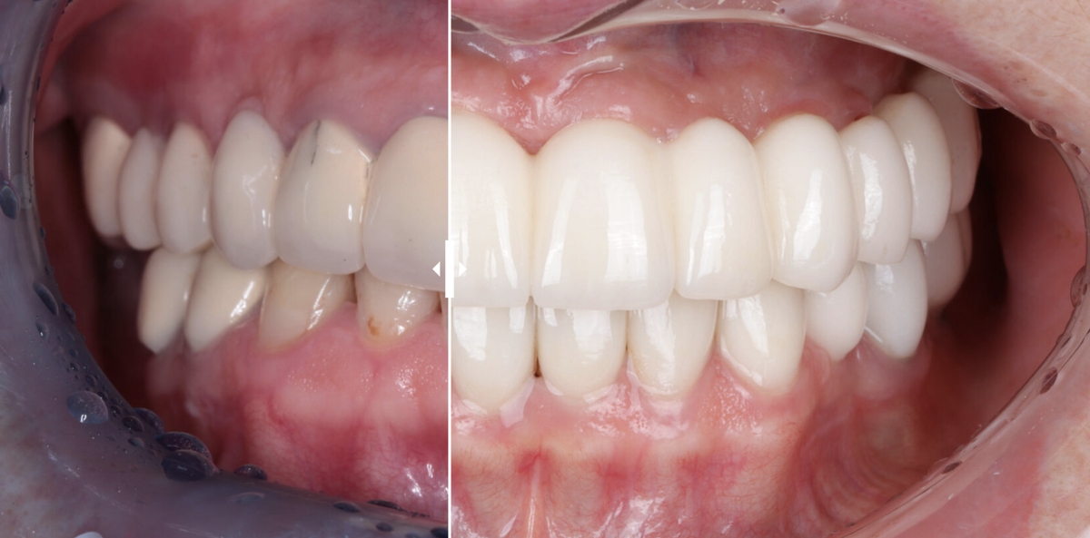
Зубы до и после. Стоматология "Дант"
Зубы до и после. Стоматология "Дант"

«Текстовая шея» – медленный убийца вашего прикуса

Когда вы:

➜ Наклоняете голову на 45° к телефону (вес головы увеличивается до 22 кг!);

➜ Подпираете подбородок рукой во время работы за ноутбуком.

Что происходит?

➜ Челюсть смещается вперед;

➜ Появляется перекрестный прикус;

➜ Возникает хроническое напряжение височно-нижнечелюстного сустава.

Факт: У 68% офисных работников к 30 годам развивается постуральный дисбаланс, влияющий на зубы.

Гаджет-паразиты: 3 вредные привычки

1. Грызть карандаши

Сколы эмали на передних зубах и микротрещины, которые ведут к образованию кариеса

2. Зубы как инструмент

Открывание пакетов или пробок от бутылок ведет к вывихам зубов и образованию трещин

3. Ночные скрежетания

Стресс от работы и соцсетей ведет к образованию бруксизма и стиранию зубов до 0,3 мм в год

Техно-стоматология: как защититься от возможных зубных проблем?

Как защититься от проблем с зубами из-за гаджетов?
Как защититься от проблем с зубами из-за гаджетов?

Упражнение «Цифровой детокс»

Каждый час – 10 жевательных движений без смыкания зубов;

Язык на нёбо – снимает напряжение челюсти.

Гаджет-аксессуары для защиты

Подставка для ноутбука (угол 30°)

Экстренная помощь в «Дант»

Капы от бруксизма

Исправление прикуса

Бесплатная консультация стоматолога в Екатеринбурге

Бесплатная консультация стоматолога в Екатеринбурге
Бесплатная консультация стоматолога в Екатеринбурге

Тест: Уже пострадали от гаджетов?

Проверьте себя:
Часто болит шея или челюсть?
Зубы стали чувствительными?
Появились щелчки при зевании?

2+ «Да» = пора на диагностику в «Дант»!

Запишитесь на цифровой чек-ап зубов – составим персональный «антигаджетный» план защиты и лечения!

P.S. Поделитесь этой статьей – возможно, вы спасаете чью-то улыбку!

Зубы vs гаджеты: как наши любимые устройства незаметно губят прикус