Найти в Дзене
Пикабу

Пациентка пришла с кашлем а ушла с букетом очень редких болезней

Я врач-пульмонолог в московской поликлинике. Эта история болезни пациентки ещё не закончилась, но настолько интересная, что ждать окончания нет сил. Итак, пациентка 43 лет обратилась ко мне впервые в декабре 2024 года. На момент первичного осмотра жаловалась на кашель в любое время суток (ночью тоже) с большим количеством слизисто-гнойной мокроты, хрипы в грудной клетке и эпизоды затруднения дыхания летом 2024. В начале декабря 2024 простудилась и обратилась к терапевту. В связи с низкой эффективностью лечения направлена ко мне - подозрение на ХОБЛ. Из анамнеза: курила 20 лет по 20 сигарет. Работала маляром, в настоящее время в клининге. Аллергии: когда-то была непонятная сыпь на коже по неуточненной причине. При осмотре я выслушал грубые свистящие и жужжащие хрипы на выдохе. Подозрение на ХОБЛ и/или бронхиальную астму, возможно бронхоэктазы. - решил я. Так как терапевт обследованием особо не заморачивался, пришлось назначать большой список. В том числе КТ грудной клетки (исключить или

Я врач-пульмонолог в московской поликлинике. Эта история болезни пациентки ещё не закончилась, но настолько интересная, что ждать окончания нет сил.

Итак, пациентка 43 лет обратилась ко мне впервые в декабре 2024 года.

На момент первичного осмотра жаловалась на кашель в любое время суток (ночью тоже) с большим количеством слизисто-гнойной мокроты, хрипы в грудной клетке и эпизоды затруднения дыхания летом 2024.

В начале декабря 2024 простудилась и обратилась к терапевту. В связи с низкой эффективностью лечения направлена ко мне - подозрение на ХОБЛ.

Из анамнеза: курила 20 лет по 20 сигарет. Работала маляром, в настоящее время в клининге. Аллергии: когда-то была непонятная сыпь на коже по неуточненной причине.

При осмотре я выслушал грубые свистящие и жужжащие хрипы на выдохе.

Подозрение на ХОБЛ и/или бронхиальную астму, возможно бронхоэктазы. - решил я.

Так как терапевт обследованием особо не заморачивался, пришлось назначать большой список. В том числе КТ грудной клетки (исключить или подтвердить эмфизему и бронхоэктазы)

И тут начинается самое интересное!

Множественные воздушные кисты в лёгких - случаются только при очень редких и очень серьезных болячках.

По другим обследованиям тоже были некоторые изменения, но всё отошло на второй план.

Так как в дифференциальном ряду было подозрение на гистиоцитоз и лимфангиолейомиоматоз, значит нужно искать изменения в брюшной полости и в малом тазу. - таковы были мои рассуждения.

Было проведено КТ грудной, брюшной полостей и малого таза с контрастом.

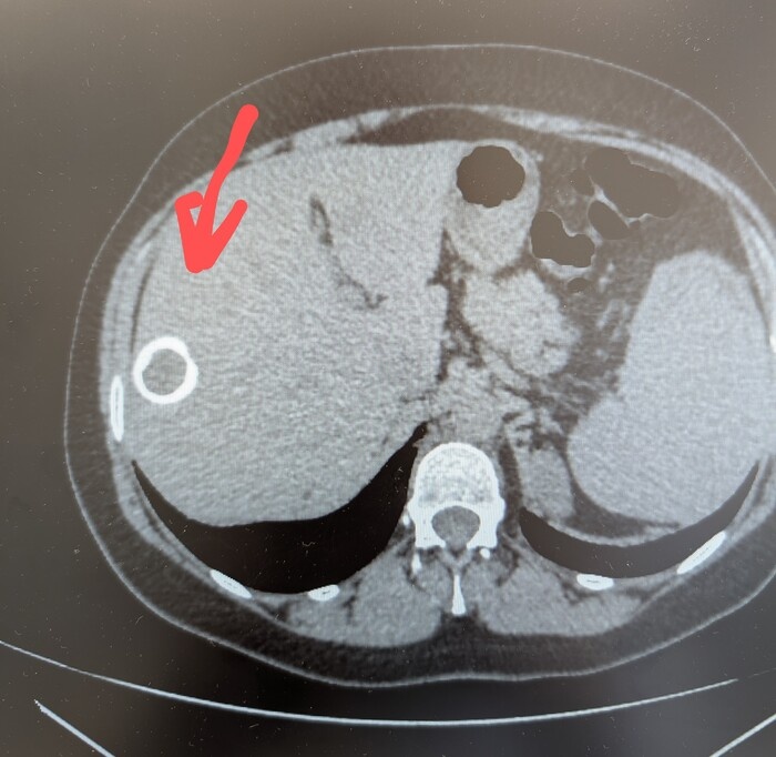
Кисты в лёгких, естественно, никуда не делись. В брюшной полости нечто (липома?), в шейке матки ещё одно нечто. А в печени вот такая красота:

Дальше, с подозрением на эхинококкоз печени, за дело взялись инфекционисты и хирурги.

В апреле 2025 пациентку благополучно прооперировали, и таки да, это был эхинококк:

-3

Сейчас пациентка принимает альбендазол (противоглистный препарат) и будет принимать не менее 1 года, каждый день.

Параллельно с паразитарной историей пациентка была проконсультирована пульмонологом из НИИ пульмонологии. Остаётся подозрение на гистиоцитоз и лимфангиолейомиоматоз.

Для постановки окончательного диагноза необходимо провести биопсию лёгкого и морфологическую верификацию. Но, в связи с недавней операцией на печени, было решено отложить эту идею (пока до октября).

А ещё у неё, скорее всего, бронхиальная астма.

Мой ТГ.

Подписаться на Пикабу Познавательный. и Пикабу: Истории из жизни.