Добавить в корзинуПозвонить
Найти в Дзене
Алёна Леонтьева

Зачем нужно посещать ортодонта после снятия брекетов?

Считается, что этап завершения ортодонтического лечения подразумевает снятие брекетов, полировку зубов и установку ретейнеров.
Это не совсем так.
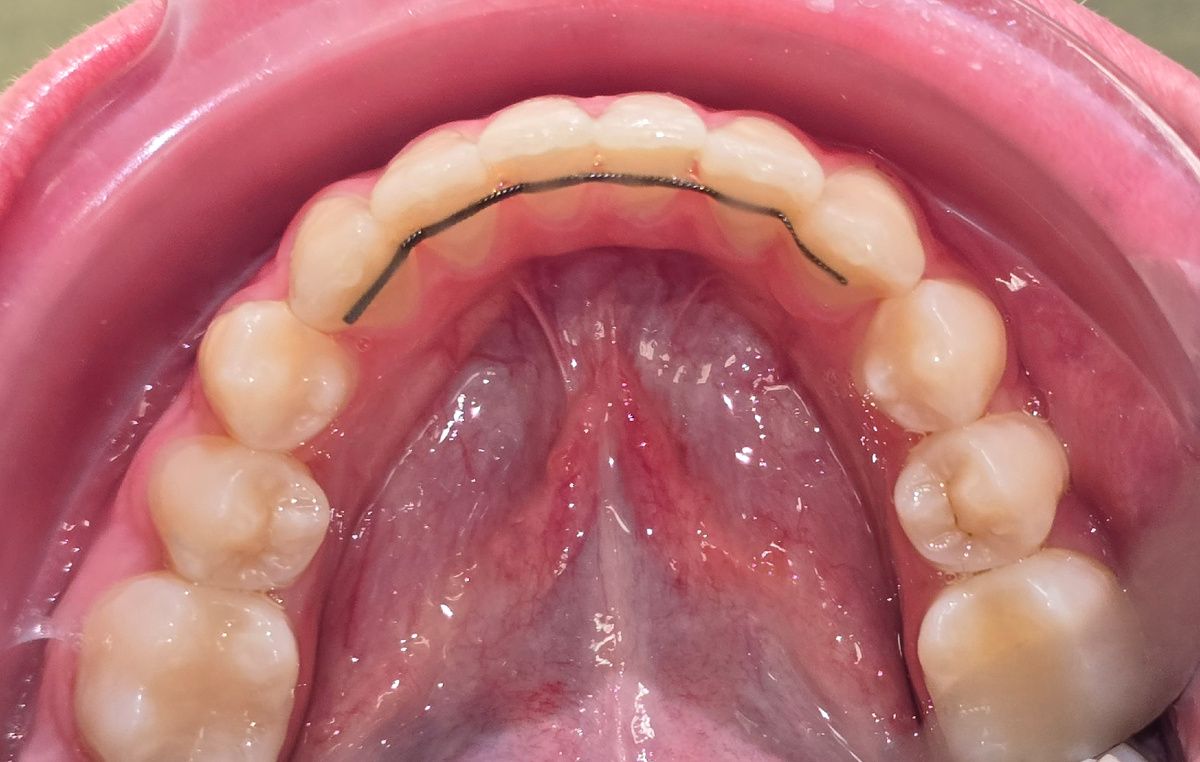
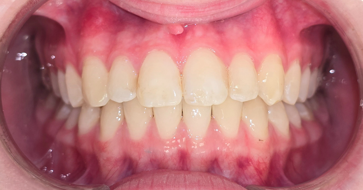
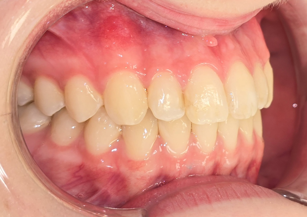
После снятия брекет-системы я назначаю контрольные осмотры с периодичностью раз в полгода. Необходимость профилактических осмотров раз в полгода обусловлена тем, чтобы оценить целостность ретейнеров, вовремя устранить появившиеся кариесы и зубные отложения, исключить возможность рецидива после снятия брекетов.
На фотографиях мы видим стабильный и красивый результат, полученный мной после снятия брекетов спустя год.
Леонтьева Алёна Владимировна, стоматолог ортодонт
Леонтьева Алёна Владимировна, стоматолог ортодонт

Считается, что этап завершения ортодонтического лечения подразумевает снятие брекетов, полировку зубов и установку ретейнеров.
Это не совсем так.

После снятия брекет-системы я назначаю контрольные осмотры с периодичностью раз в полгода. Необходимость профилактических осмотров раз в полгода обусловлена тем, чтобы оценить целостность ретейнеров, вовремя устранить появившиеся кариесы и зубные отложения, исключить возможность рецидива после снятия брекетов.

На фотографиях мы видим стабильный и красивый результат, полученный мной после снятия брекетов спустя год.