Добавить в корзинуПозвонить
Найти в Дзене
RuNews24.ru

Черви едва не съели сердце. Чтобы спасти россиянина, врачам пришлось его «убить»

Названия некоторых редких заболеваний очень трудно произнести, а еще сложнее эти болезни вылечить. Российские медики столкнулись с редчайшей патологией, а больному пришлось пройти все круги ада в поиске врача, согласившегося на операцию. Что это за болезнь, и почему россиянину грозила смерть, читайте далее. Жителю Нефтеюганска не повезло — у него выявили крайне редкую патологию, которая могла убить. Дело осложнилось тем, что в нескольких больницах пациенту отказались помочь из-за отсутствия опыта взаимодействия с таким заболеванием. У 47-летнего россиянина обнаружили эхинококкоз. Заболевание крайне опасное и вызывающее отвращение у любого человека. При этой болезни органы поражают личинки ленточного червя, который попадает в организм человека, в основном, через грязные руки и немытые продукты. Ослабленный иммунитет является основной причиной развития заболевания, личинки с кровотоком проникают в различные органы, в которых образуются кисты. Крайне редко кисты появляются в сердце, но ро
Оглавление

Названия некоторых редких заболеваний очень трудно произнести, а еще сложнее эти болезни вылечить. Российские медики столкнулись с редчайшей патологией, а больному пришлось пройти все круги ада в поиске врача, согласившегося на операцию. Что это за болезнь, и почему россиянину грозила смерть, читайте далее.

Жителю Нефтеюганска не повезло — у него выявили крайне редкую патологию, которая могла убить. Дело осложнилось тем, что в нескольких больницах пациенту отказались помочь из-за отсутствия опыта взаимодействия с таким заболеванием.

У 47-летнего россиянина обнаружили эхинококкоз. Заболевание крайне опасное и вызывающее отвращение у любого человека. При этой болезни органы поражают личинки ленточного червя, который попадает в организм человека, в основном, через грязные руки и немытые продукты.

Ослабленный иммунитет является основной причиной развития заболевания, личинки с кровотоком проникают в различные органы, в которых образуются кисты. Крайне редко кисты появляются в сердце, но россиянину и тут не повезло. Он попал в те 2% зараженных эхинококкозом, у которых поражается именно самый важный орган.

При разрыве кисты мужчине грозила смерть. Более того, одна из кист была расположена так, что сдавливала трахею, мешая дышать. Самое большое образование оказалось порядка 8 см в диаметре.

В пресс-службе Минздрава РФ рассказали, что россиянину пришлось обойти несколько клиник, включая крупные федеральные центры. Но везде он получал отказ — врачи просто боялись браться за лечение, так как не сталкивались с подобным случаем. Кисты в легких и печени вылечить было бы проще, но сердце…

-2

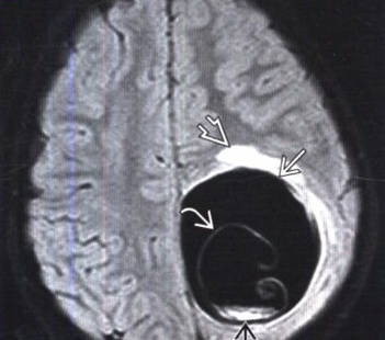
Вот так, например, выглядит на МРТ киста с личинкой в головном мозге

К счастью, житель Нефтеюганска попал к опытным хирургам Окружной клинической больницы Ханты-Мансийска. Врачи удалили кисты с паразитами, но для этого им пришлось практически «убить» пациента.

Зараженного червями мужчину подключили к системе искусственного кровообращения, остановили сердце, вырезали образования и запустили орган вновь.

Сейчас пациент вне опасности, но некоторое время ему придется принимать противопаразитарные препараты и восстанавливаться после сложнейшей операции.

Редко, но метко

Доцент кафедры детских болезней Сеченовского университета Павел Бережанский рассказал, что хотя болезнь и является редкой, способов заразиться очень много.

Через почву, воду, плохо прожаренное мясо, грязные фрукты и овощи. Личинка попадает в организм в капсуле, которая растворяется в желудочном соке. Взрослый червь живет в кишечнике, - пояснил эксперт в беседе с «360.ru».

Но в случае, когда личинка попадает в организм без капсулы, она через стенку кишечника проникает в кровь и разносится по организму. Где «застрянет» паразит, ни от каких факторов не зависит. Тут уж как не повезет.

-3

Личинка «обустраивает» себе «домик» - капсулу, которая растет на один-три сантиметра в год. Обнаружить эхинококкоз можно и через несколько лет, когда киста достигнет значительных размеров и начнет вызывать дискомфорт.

Эксперт пояснил, что у человека с эхинококкозом развивается аллергия, так как личинка выделяет токсины. Затем появляется тошнота, слабость — все то, что сопровождает любое отравление.

Опасными являются не только сдавление тканей капсулой, но и разрыв этой кисты.

Жидкость внутри капсулы очень токсична. Она может вызвать инфекционно-токсический шок, - заключил Павел Бережанский.

Как обезопасить себя от болезни

-4

Гигиена — первое правило профилактики любых паразитарных заболеваний. Мытье рук, овощей, фруктов, санитарная обработка поверхностей в доме, особенно если в нем проживают животные, - все это снизит риск.

Также важно употреблять только очень хорошо прожаренное мясо, а покупать этот продукт следует в проверенных магазинах и фермерских хозяйствах, а не с рук у соседа.

Кстати, известную шутку «Что упало у студента, то упало на газетку» эксперт раскритиковал. По его словам, патогенные микроорганизмы попадают на упавший продукт мгновенно, а вовсе не через пять секунд.

________________

Подпишитесь на наш канал, ставьте лайки и пишите свои комментарии, этим вы поможете донести важную информацию до большего количества людей.