Найти в Дзене

Остеосинтез плечевой кости: что нужно знать

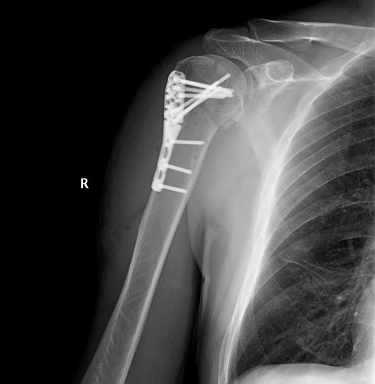
Остеосинтез плечевой кости – это хирургическая процедура, направленная на восстановление целостности и функциональности плечевой кости после перелома. Эта методика является ключевым этапом в лечении травм и заболеваний, связанных с плечом. В данной статье мы рассмотрим основные аспекты остеосинтеза, его показания, методы, реабилитацию и возможные осложнения. Остеосинтез – это хирургическая процедура, при которой осуществляется иммобилизация и фиксация костных фрагментов, чтобы они срастались. Эта операция применяется в случаях, когда традиционные методы лечения (например, наложение гипса) неэффективны. Остеосинтез может быть рекомендован в следующих случаях: Существует несколько методов остеосинтеза, каждый из которых подходит под определенные клинические ситуации. Наиболее распространенные методы: После операции необходима реабилитация для восстановления функции плечевого сустава и предотвращения осложнений. Основные этапы реабилитации включают: Несмотря на высокую эффективность остео
Оглавление

Остеосинтез плечевой кости – это хирургическая процедура, направленная на восстановление целостности и функциональности плечевой кости после перелома. Эта методика является ключевым этапом в лечении травм и заболеваний, связанных с плечом. В данной статье мы рассмотрим основные аспекты остеосинтеза, его показания, методы, реабилитацию и возможные осложнения.

Что такое остеосинтез?

Остеосинтез – это хирургическая процедура, при которой осуществляется иммобилизация и фиксация костных фрагментов, чтобы они срастались. Эта операция применяется в случаях, когда традиционные методы лечения (например, наложение гипса) неэффективны.

Основные цели остеосинтеза:

  • Восстановление анатомической целостности костей.
  • Обеспечение свободного движения в суставе.
  • Минимизация риска осложнений, таких как деформация или инфекция.

Показания к остеосинтезу плечевой кости

Остеосинтез может быть рекомендован в следующих случаях:

  • Переломы плечевой кости (в том числе многократные).
  • Переломы со смещением, требующие стального фиксирования.
  • Открытые переломы, при которых есть риск инфицирования.
  • Патологические переломы на фоне остеопороза.

Методы остеосинтеза плечевой кости

Существует несколько методов остеосинтеза, каждый из которых подходит под определенные клинические ситуации. Наиболее распространенные методы:

1. Открытый остеосинтез с использованием пластин:

  • Установка металлической пластины и винтов для удержания костных фрагментов.
  • Применяется при сложных переломах.

2. Закрытый остеосинтез:

  • Манипуляции проводятся через небольшие разрезы.
  • Основан на использовании интрамедуллярных штифтов.

3. Костные трансплантаты:

  • Использование донорской кости для поддержки процесса сращивания.

Реабилитация после остеосинтеза

После операции необходима реабилитация для восстановления функции плечевого сустава и предотвращения осложнений. Основные этапы реабилитации включают:

  • Иммобилизация конечности на 4-6 недель.
  • Постепенное увеличение объема движений.
  • Физиотерапия для восстановления силы мышц.
  • Коррекционные упражнения для предотвращения контрактур.

Возможные осложнения остеосинтеза

Несмотря на высокую эффективность остеосинтеза, могут возникать определенные риски и осложнения:

  • Инфекции в области операции.
  • Неправильное срастание костей.
  • Повреждения сосудов или нервов.
  • Рецидив травмы.

Заключение

Остеосинтез плечевой кости – это важная хирургическая процедура, которая помогает вернуть больным возможность активно пользоваться конечностью. Правильная диагностика, выбор метода и реабилитация играют ключевую роль в успехе лечения. Если вы столкнулись с подобной травмой, обращайтесь к квалифицированным специалистам для получения необходимой помощи и рекомендаций.