Найти в Дзене

Все на четырех имплантатах - популярная методика в Сочи. Тема тотального протезирования

Клинический случай тотального протезирования на имплантатах Dentium верхней и нижней челюсти. Пациентка 51-го года обратилась к нам в 2023 г. по поводу частичной адентии и не удовлетворенности эстетики. Было принято решение лечить пациента по протоколу «все на 4-х имплантатах DENTIUM (Южная Корея) верхней и нижней челюстей» с немедленной нагрузкой сразу после имплантации сначала временным акриловым протезом на титанов балке, затем, после приживления имплантатов установкой постоянного протеза полной анатомии из диоксина циркония также на титановой балке. Ваши впечатления? Стоимость лечения составила 1.600 000 руб. Врач стоматолог-ортопед: Татулин Р.В. Врач стоматолог-хирург-имплантолог: Марванов Г.Э. 📍MAGIC DENT 354000 Краснодарский край, г. Сочи 8-804-700-15-15 (звонок бесплатный) -ул. Юных Ленинцев, д. 10, 2 этаж 📞тел. +7-918-165-15-15 magicdent.sochi@mail.ru -ул. Пластунская, д. 123А, корп.2, ЖК «123» 📞тел. +7-988-165-15-15 magicdent123@mail.ru https://mdsochi.ru

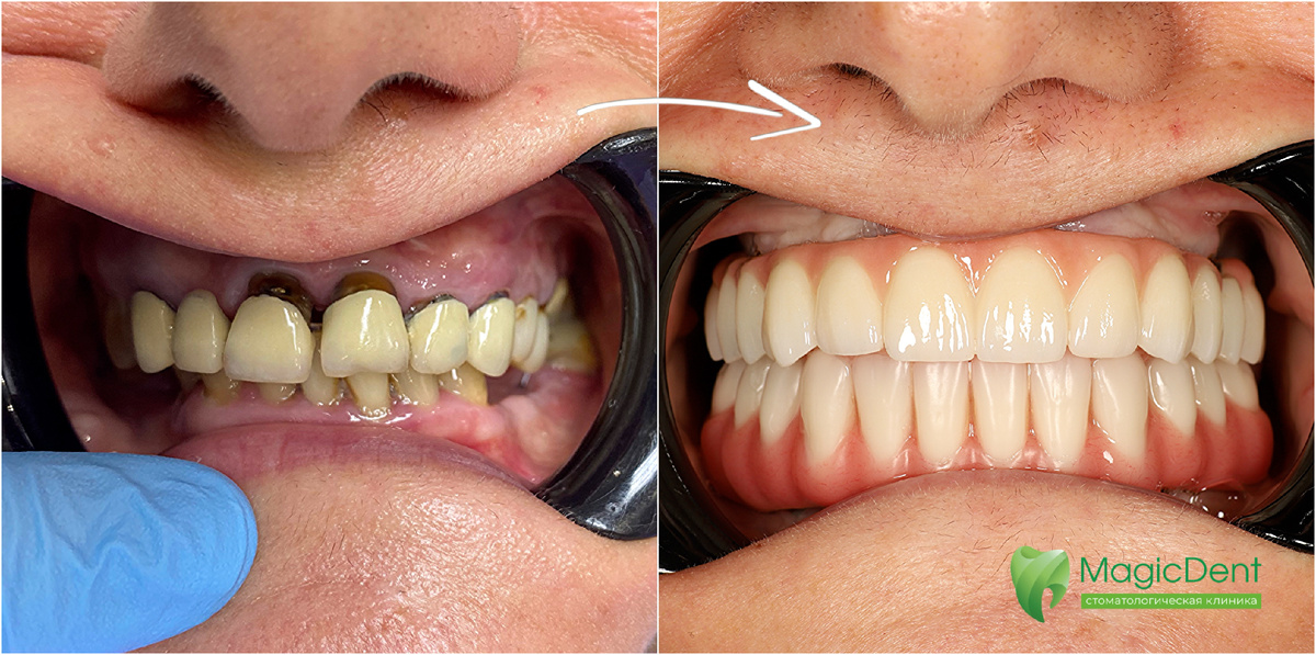
Клинический случай тотального протезирования на имплантатах Dentium верхней и нижней челюсти.

Пациентка 51-го года обратилась к нам в 2023 г. по поводу частичной адентии и не удовлетворенности эстетики.

-2

Было принято решение лечить пациента по протоколу «все на 4-х имплантатах DENTIUM (Южная Корея) верхней и нижней челюстей» с немедленной нагрузкой сразу после имплантации сначала временным акриловым протезом на титанов балке, затем, после приживления имплантатов установкой постоянного протеза полной анатомии из диоксина циркония также на титановой балке.

-3

Ваши впечатления?

После приживления имплантатов установка постоянного протеза полной анатомии из диоксина циркония
После приживления имплантатов установка постоянного протеза полной анатомии из диоксина циркония

Стоимость лечения составила 1.600 000 руб.

Врач стоматолог-ортопед: Татулин Р.В.

Врач стоматолог-хирург-имплантолог: Марванов Г.Э.

-5
-6

Стоматология MAGIC DENT г. Сочи
Стоматология MAGIC DENT г. Сочи

📍MAGIC DENT

354000 Краснодарский край, г. Сочи

8-804-700-15-15 (звонок бесплатный)

-ул. Юных Ленинцев, д. 10, 2 этаж

📞тел. +7-918-165-15-15

magicdent.sochi@mail.ru

-ул. Пластунская, д. 123А, корп.2, ЖК «123»

📞тел. +7-988-165-15-15

magicdent123@mail.ru

https://mdsochi.ru

Команда врачей MAGIC DENT.
Команда врачей MAGIC DENT.