Найти в Дзене
Два Дантиста

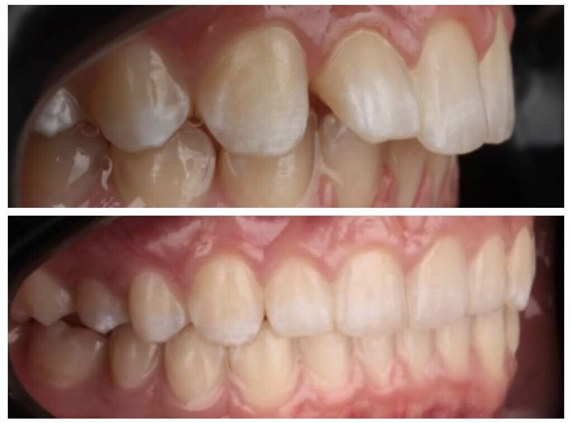
Рецидив после ортодонтического лечения: как исправляли?

К нам обратилась пациентка, которая прошла лечения в другой клинике. После восстановления на брекет-системе положение зубов вернулось к исходному неправильному положению.  Такая ситуация может возникнуть по нескольким причинам: Для решения проблемы стоматолог-ортодонт клиники «Два Дантиста» применила элайнеры. И за 6 месяцев удалось восстановить правильное положение зубов.  Что из себя представляет протокол лечения на элайнерах? Хотя ортодонтическое лечение значительно улучшает качество жизни и здоровье полости рта, оно требует ответственности и соблюдения рекомендаций после завершения курса. Правильный уход, ношение ретейнеров и регулярные визиты к специалисту помогут сохранить достигнутый результат и избежать возможных проблем. Записаться в клинику «Два Дантиста» можно через сайт или по тел. 8 (812) 223-43-29 

К нам обратилась пациентка, которая прошла лечения в другой клинике. После восстановления на брекет-системе положение зубов вернулось к исходному неправильному положению. 

Такая ситуация может возникнуть по нескольким причинам:

  • если не соблюдаются рекомендации врача по ношению съемных ретейнеров — специальные ортодонтические аппараты, предназначенные для закрепления результата лечения и предотвращения рецидива;
  • если нарушена гигиена полости рта, которая приводит к возникновению кариеса, пародонтита или других проблем с зубами и деснами, что может усложнить успешное лечение; восстановительный процесс станет сложным и болезненным, а также заболевания увеличивают риск необходимости удаления зубов;
  • если лечение было проведено неправильно или не полностью завершено: игнорирование особенностей анатомии челюсти, использование неподходящих аппаратов и методов, неучет риска рецидива и т.д.

Для решения проблемы стоматолог-ортодонт клиники «Два Дантиста» применила элайнеры. И за 6 месяцев удалось восстановить правильное положение зубов. 

-2

Что из себя представляет протокол лечения на элайнерах?

  • На начальном этапе стоматолог создает цифровую модель зубного ряда и разрабатывает пошаговый план перемещения зубов. На основе этого создаются серии элайнеров, каждый из которых немного отличается от предыдущего.
  • Каждый элайнер предназначен для ношения примерно 1-2 недели. Он аккуратно и постепенно сдвигает зубы в нужное положение, оказывая мягкое, но постоянное давление.
  • Пациент меняет элайнеры по графику, следуя рекомендациям врача. В течение всего курса лечения зубы постепенно перемещаются в правильное положение, а прикус выравнивается.
  • По завершении серии элайнеров зубной ряд становится более ровным, прикус — правильным, а улыбка — эстетичной.
-3

Хотя ортодонтическое лечение значительно улучшает качество жизни и здоровье полости рта, оно требует ответственности и соблюдения рекомендаций после завершения курса. Правильный уход, ношение ретейнеров и регулярные визиты к специалисту помогут сохранить достигнутый результат и избежать возможных проблем.

Записаться в клинику «Два Дантиста» можно через сайт или по тел. 8 (812) 223-43-29