Найти в Дзене

Впечатляющие ядрышки

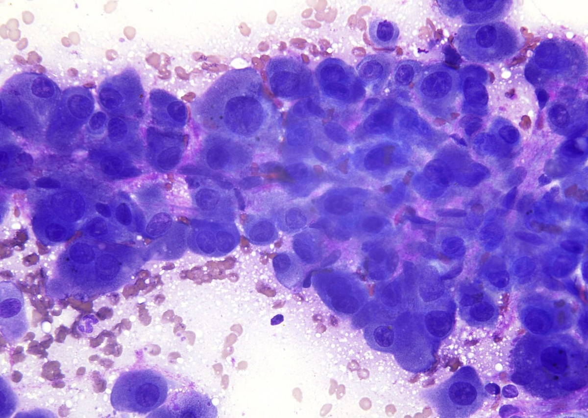
Впечатляющие ядрышки 👀 Высокодифференцированная гепатоцеллюлярная карцинома. Материал ТАБ печени. Объектив 100x. #цитология #печень

Впечатляющие ядрышки 👀

Высокодифференцированная гепатоцеллюлярная карцинома.

Материал ТАБ печени. Объектив 100x.

#цитология #печень