Добавить в корзинуПозвонить
Найти в Дзене

Когда всё идёт не по плану и почему важно вовремя разобраться

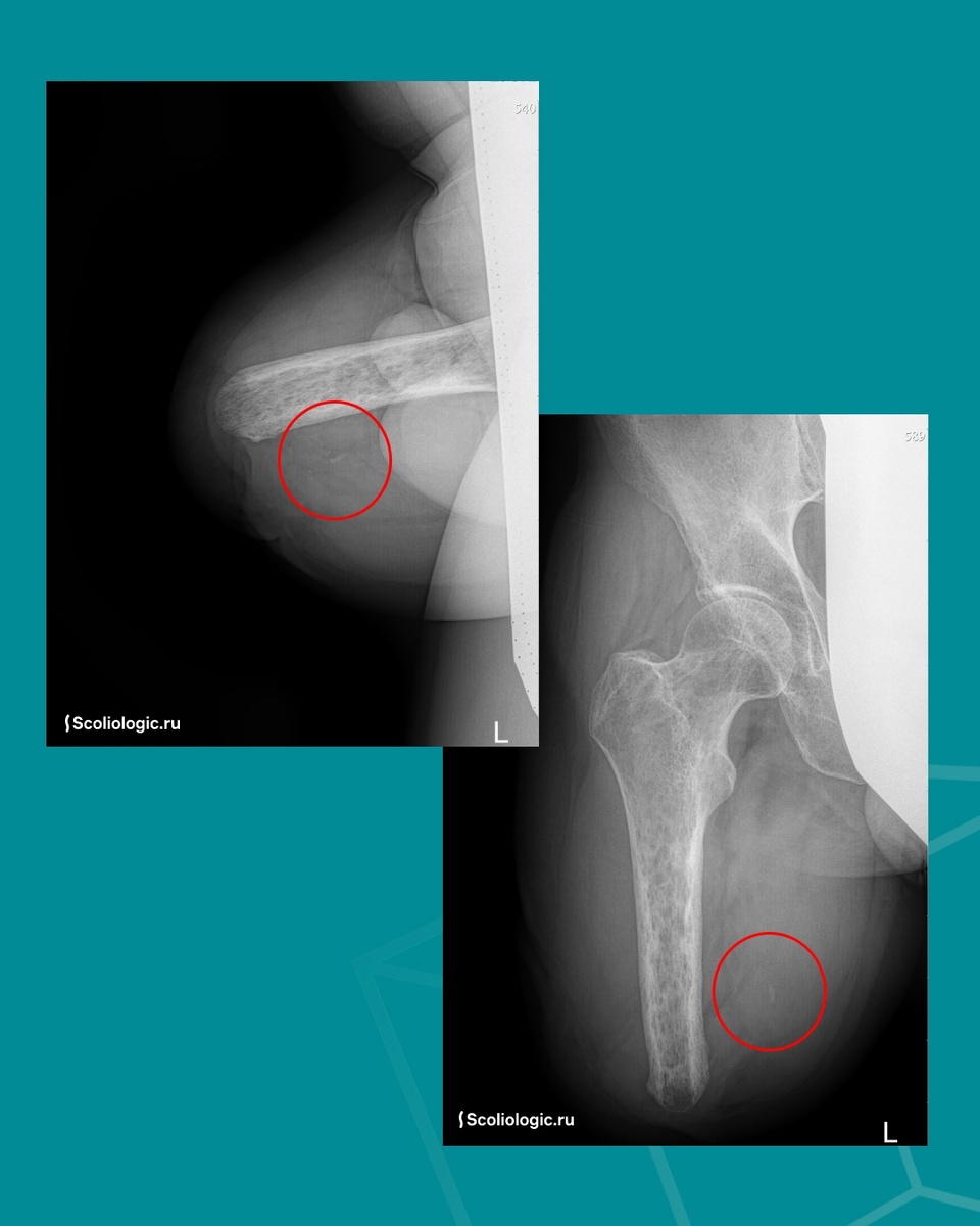
Пациент с ампутацией бедра после минно-взрывного ранения. Молодой, мотивированный, с невероятной силой воли. В прошлом профессионально занимался горными лыжами.
Как обычно, врачи начали с примерочной гильзы. Но каждый шаг давался через боль. Культя отекала. Спустя время боль в конечности стала появляться даже при надевании лайнера.
Сначала думали, что это просто послеоперационный отёк, нагрузки, адаптация.
Конечно, можно было развести руками, сказать: «Ходите так, со временем должны привыкнуть». Возможно, пациент бы даже привык к тому, что ходьба на протезе = боль. Или вернулся к костылям, или пересел в инвалидную коляску...
Но врачи отправили пациента на рентген, на снимке обнаружили нечто странное: не похоже на металл, скорее, на кусок пластика. Предположили осколок. Или тромбоз. Отправили на УЗИ. Исследование показало не тромб, а окклюзию – сужение сосуда, приводящее к нарушению кровотока. Хотя полной закупорки не наблюдалось.
Решили оперировать. И оказалось, что внутри – костный

Пациент с ампутацией бедра после минно-взрывного ранения. Молодой, мотивированный, с невероятной силой воли. В прошлом профессионально занимался горными лыжами.
Как обычно, врачи начали с примерочной гильзы. Но каждый шаг давался через боль. Культя отекала. Спустя время боль в конечности стала появляться даже при надевании лайнера.
Сначала думали, что это просто послеоперационный отёк, нагрузки, адаптация.

Конечно, можно было развести руками, сказать: «Ходите так, со временем должны привыкнуть». Возможно, пациент бы даже привык к тому, что ходьба на протезе = боль. Или вернулся к костылям, или пересел в инвалидную коляску...

Но врачи отправили пациента на рентген, на снимке обнаружили нечто странное: не похоже на металл, скорее, на кусок пластика. Предположили осколок. Или тромбоз. Отправили на УЗИ. Исследование показало не тромб, а окклюзию – сужение сосуда, приводящее к нарушению кровотока. Хотя полной закупорки не наблюдалось.

Решили оперировать. И оказалось, что внутри – костный осколок его собственной бедренной кости. Он и сдавливал сосуд, нарушая питание культи. После удаления ситуация стабилизировалась: отёки ушли, нога «успокоилась».

Пациент успешно получил свой протез бедра с микропроцессорным управлением, а сейчас врачи Сколиолоджик.ру делают этому пациент протез для занятий горными лыжами.
Иногда причина проблемы неочевидна. Но вовремя разобраться – значит вернуть человека к движению. И к жизни.