Найти в Дзене
Parodoctor

Мезиальный прикус и тотальная имплантация - повторяем особенность на временном протезе

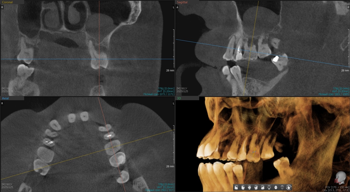
Почти про каждую большую имплантологическую работу можно написать, что ТАКОГО у нас ещё не было. И не обману ведь. Каждый человек с "зубной" патологией уникален. Это норма скучна и однообразна у всех (но всем именно её желаю). Патология у каждого своя. Вот и этот случай оказался, что называется, с изюминкой. Запрос на верхнюю челюсть. На первый взгляд многим покажется, что спасти своё можно, так думала и я, пока не открыла снимок КТ и не оценила состояние кости. Хронический генерализованный пародонтит тяжёлой степени тяжести - вон оно что, так это называется. Кость никогда уже не вырастит, зубы обречены. Хорошие зубы и плохая кость - печальное сочетание. Можно ли оставить такие зубы? Можно, но инфекция в зоне фуркаций корней будет находиться всегда, потому что пациент не способен будет дома очистить всё вот это вот, очень уж сложный рельеф. Не будет очищения - пародонтит будет продолжать уничтожать кость. А, значит, для классической имплантации может не остаться условий. Пациент решил
Оглавление

Почти про каждую большую имплантологическую работу можно написать, что ТАКОГО у нас ещё не было. И не обману ведь.

Каждый человек с "зубной" патологией уникален. Это норма скучна и однообразна у всех (но всем именно её желаю). Патология у каждого своя.

Вот и этот случай оказался, что называется, с изюминкой.

"Всё на 4" на верхней челюсти

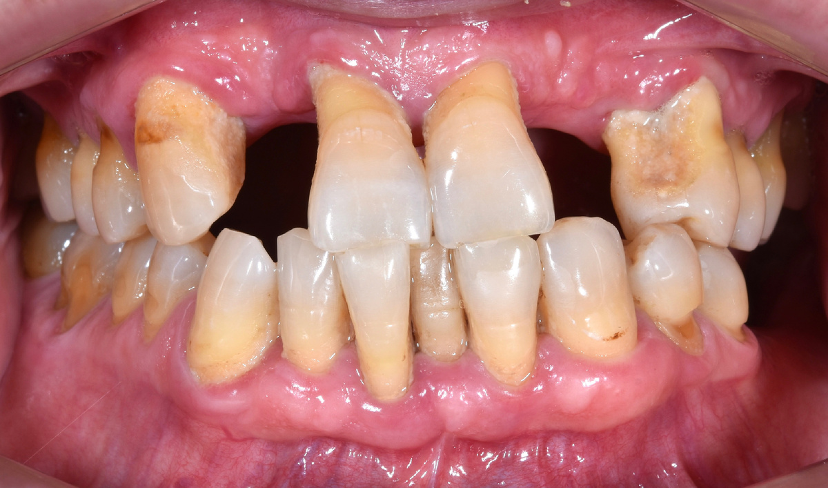
Состояние до "всё на 4"
Состояние до "всё на 4"

Запрос на верхнюю челюсть. На первый взгляд многим покажется, что спасти своё можно, так думала и я, пока не открыла снимок КТ и не оценила состояние кости.

Хронический генерализованный пародонтит тяжёлой степени тяжести - вон оно что, так это называется. Кость никогда уже не вырастит, зубы обречены. Хорошие зубы и плохая кость - печальное сочетание.

Можно ли оставить такие зубы? Можно, но инфекция в зоне фуркаций корней будет находиться всегда, потому что пациент не способен будет дома очистить всё вот это вот, очень уж сложный рельеф. Не будет очищения - пародонтит будет продолжать уничтожать кость. А, значит, для классической имплантации может не остаться условий.

Пациент решил не доводить состояние кости до толщины пергамента, зато решился на тотальную имплантацию. Ну и правильно, скажу я вам.

Вид сбоку. С одного, второй попозже покажу
Вид сбоку. С одного, второй попозже покажу

Но тут проблема имеется достаточно серьёзная (и даже не одна). Прикус.

Видете фотографию выше? Видите, что нижняя челюсть впереди челюсти верхней? Зубы же скомпенсировали ситуацию, верхние резцы тяяяяянутся к нижним. Носочками, буквально, цепляются.

Верхняя челюсть "короче" нижней
Верхняя челюсть "короче" нижней

Зубы в прямом контакте - верх упирается в низ. А челюсти разные по длине. Что делать?

Пациент попросил оставить всё как есть.

Не менять прикус. Врач покумекал, подумал хорошенько. Долго думал, но в случае данного человека оставить как есть посчитал возможным.

Ему виднее! Я не всегда понимаю, как идёт отбор - этого оставляем так, этого к ортодонту, а вот этого на ортогнатическую операцию. Но врачу доверяю, шибко умный и осторожный. Не враг ни себе, ни мне.

Что плохого в "оставить так, как есть" - протез будет с балконом, зубы на верхней челюсти будут так же патологически упираться в зубы на нижней челюсти.

Обо всех особенностях с пациентом беседа была проведена, информация донесена. Пожали руки и приступили к имплантации. Она у нас всегда проводится по цифровым протоколам, с изготовлением матрёшки индивидуальных шаблонов.

Имплантаты в кости (на штыри "пины" не обращайте внимания, снимок делался в процессе имплантации, что бы оценить постановку и что-то куда-то докрутить при необходимости).

Тут что хочу добавить важное - работа будет не на 4 имплантатах, а на 6, когда приживутся те "болты", что поставили в этот раз, добявят ещё по одному птеригоидному с 2х сторон. Сейчас же даже не все зубы удалили на верхней челюсти, что-то из жевательных осталось для фиксации прикуса (временно).

Потом была примерка прототипа:

Прототип временного адаптационного протеза
Прототип временного адаптационного протеза

Внесены коррективы и следующий шаг - сдача протеза временного, но финишного для этого этапа:

"Всё на 4", временный адаптационный протез
"Всё на 4", временный адаптационный протез

Выглядит сомнительно, верно? Но всё подогнано под комфортное ношение. Человеку удобно, проверено. Так же материал временных зубов достаточно мягкий, зубы на нижней челюсти будут истирать его, не истираясь сами.

Врач планирует ортодонтически подсобрать низ в перспективе (потому что работа с нижней челюстью ещё только в планах - необходимо удаление жевательных зубов и имплантация там же, фронтальные зубы будут сохранены).

В данном кейсе есть плюс - пациент мужчина. А мужчины гораздо меньше заморачиваются по поводу внешнего вида зубов и протезов (в массе своей). Смыкается нормально? Всё, шик, я пошёл.

Нижние - не вывалятся, нет
Нижние - не вывалятся, нет

Данная статья не является руководством к действию и я не рекомендую повторять подобное абы как и абы с кем.

Автор этой работы обладает большим багажом знаний, опытом реабилитации пациентов с двольно сложными патологиями, образованием в ортодонтии, с появления цифровых протоколов в РФ - работает по ним. Постоянно мотается по топовым (и очень дорогим) учебным мероприятиям как в РФ, так и за пределами нашей страны. Ну и, если вдруг что-то случится, и клиника (я, то есть, как генеральный директор и главный врач), и сам доктор - обязательно вопрос решим самым органичным образом.

А сейчас можете ознакомиться с другими нашими уникальными работами в области тотальной хирургии:

Тотальные работы на имплантатах. | Parodoctor | Дзен

Ответы на вопросы подписчиков, клинические случаи, новости, операционные (и не только кровавые) фото и видео, инструкции как к нам попасть (и с чем) - в моём ТГ канале:

Parodoctor

С уважением, Лежачёва Наталия Александровна, хирург-пародонтолог и главный врач стоматологии Parodent, СПб (89817278969).