Добавить в корзинуПозвонить
Найти в Дзене
STOMARUS

Тотальная реставрация улыбки с помощью виниров

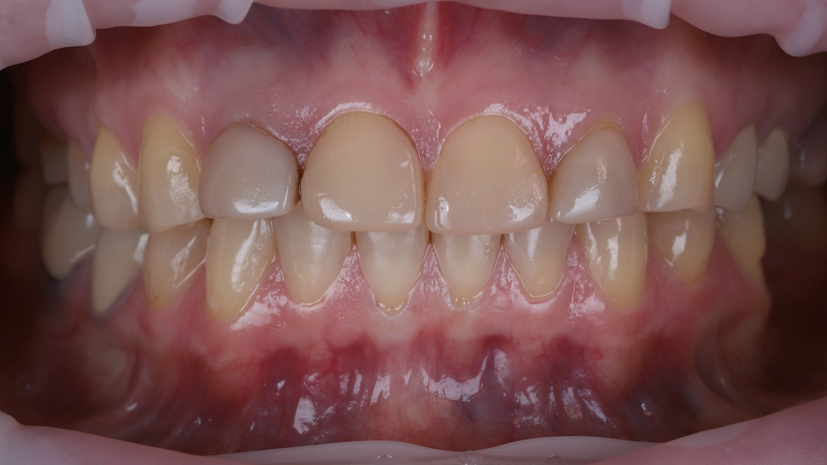
Пациентка всегда мечтала о красивой и эстетичной улыбке. Какая ситуация была изначально: Также пациентке не нравился цвет своих зубов и она хотела сделать их значительно светлее. Чтобы создать улыбку мечты, мы всей командой проделали большую работу: Теперь пациентка полностью довольна своей улыбкой и рада, что решилась на этот шаг. Работу выполнили: стоматолог-ортопед: Виталий Азаров стоматолог-хирург: Александр Воробьев стоматолог-терапевт: Наталья Макеева, Наталья Свержинская.

Пациентка всегда мечтала о красивой и эстетичной улыбке. Какая ситуация была изначально:

  • стираемость зубов;
  • обширные пломбы;
  • потемнения зубов;
  • проблемы с прикусом;
  • отсутствие некоторых зубов;
  • старые коронки;
  • воспаление десны.

Фотография до лечения
Фотография до лечения

Также пациентке не нравился цвет своих зубов и она хотела сделать их значительно светлее. Чтобы создать улыбку мечты, мы всей командой проделали большую работу:

  • провели диагностику;
  • изготовили макет, который потом полностью переделали, чтобы достичь идеального результата (да, так тоже бывает);
  • провели примерку и после того, как пациентка была довольна результатом, зафиксировали виниры;
  • до фиксации виниров установили имплантат на место отсутствующего зуба и затем установили на него коронку.

Фотография после лечения
Фотография после лечения

Теперь пациентка полностью довольна своей улыбкой и рада, что решилась на этот шаг.

Работу выполнили:

стоматолог-ортопед: Виталий Азаров

стоматолог-хирург: Александр Воробьев

стоматолог-терапевт: Наталья Макеева, Наталья Свержинская.

Фотография после лечения
Фотография после лечения