Добавить в корзинуПозвонить
Найти в Дзене
STOMARUS

Восстановление эстетики улыбки винирами

Тот случай, когда улыбка меняет многое! Какая ситуация была изначально? Что мы сделали? Теперь у пациентки здоровая и красивая улыбка, о которой она всегда мечтала. Стоматолог-ортопед: Виктор Молчанов Стоматолог-хирург: Александр Рачков Зубной техник: Александр Тонкович Зубная лаборатория: Smiledesign.

Тот случай, когда улыбка меняет многое!

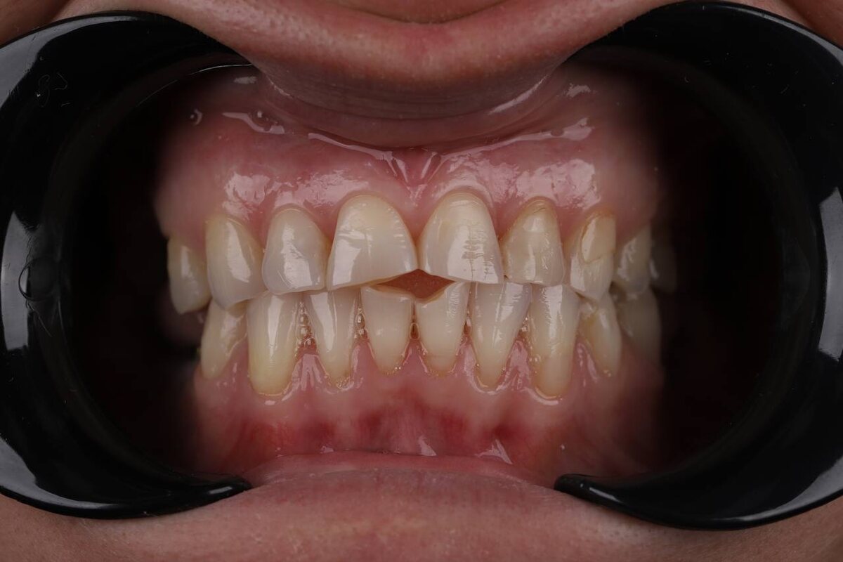
Какая ситуация была изначально?

  • Стираемость зубов
  • Были зубы с хроническим воспалением
  • Некоторые зубы отсутствовали
  • Эстетические дефекты
Фотография до лечения
Фотография до лечения

Что мы сделали?

  1. Провели осмотр и составили план лечения
  2. Установили 4 имплантата
  3. Установили виниры и коронки

Теперь у пациентки здоровая и красивая улыбка, о которой она всегда мечтала.

Стоматолог-ортопед: Виктор Молчанов

Стоматолог-хирург: Александр Рачков

Зубной техник: Александр Тонкович

Зубная лаборатория: Smiledesign.

Фотография после лечения
Фотография после лечения