Добавить в корзинуПозвонить
Найти в Дзене

Операция при болезни Келлера 2

Болезнь Келлера 2 (в зарубежной литературе болезнь Фрайберга) или асептический некроз головки 2 плюсневой кости довольно редкое заболевание и о способах его лечения зачастую не осведомлены не только сами заболевшие, но и врачи травматологи-ортопеды. Заболевание чаще всего начинается в подростковом возрасте (14-18лет), проявляется болью и отёком в области головки 2 плюсневой кости и 2 плюсне-фалангового сустава. Чаще всего на этом этапе пациентов лечат консервативно при помощи физиопроцедур и ношения ортопедической обуви, хотя возможно и хирургическое лечение в виде реваскуляризирующих операций. Через 1,5-2 года болевой синдром постепенно регрессирует, так как острая фаза асептического некроза заканчивается. Постепенно происходит «схлопывание» верхней части головки плюсневой кости, с формированием свободных внутрисуставных тел состоящих из хрящевой и костной ткани. Дальше на первый план выходят явления артроза, из-за повреждения суставного хряща начинается рост костных остеофитов, и амп

Болезнь Келлера 2 (в зарубежной литературе болезнь Фрайберга) или асептический некроз головки 2 плюсневой кости довольно редкое заболевание и о способах его лечения зачастую не осведомлены не только сами заболевшие, но и врачи травматологи-ортопеды. Заболевание чаще всего начинается в подростковом возрасте (14-18лет), проявляется болью и отёком в области головки 2 плюсневой кости и 2 плюсне-фалангового сустава. Чаще всего на этом этапе пациентов лечат консервативно при помощи физиопроцедур и ношения ортопедической обуви, хотя возможно и хирургическое лечение в виде реваскуляризирующих операций. Через 1,5-2 года болевой синдром постепенно регрессирует, так как острая фаза асептического некроза заканчивается. Постепенно происходит «схлопывание» верхней части головки плюсневой кости, с формированием свободных внутрисуставных тел состоящих из хрящевой и костной ткани. Дальше на первый план выходят явления артроза, из-за повреждения суставного хряща начинается рост костных остеофитов, и амплитуда движений из-за этого прогрессивно уменьшается. Обычно в течение 10-15 лет остеофиты вырастают до значительных размеров и практически полностью блокируют тыльное сгибание 2 пальца. На этом этапе пациенты чаще всего и обращаются за хирургической помощью, так как становится невозможно не только заниматься спортом, но уже и попросту ходить.

На этом этапе возможно выполнение 2 типов вмешательств.

Первый вариант – резекция экзостозов, удаление свободных внутрисуставных тел, синовэктомия. Подходит для пациентов с не очень высокими функциональными запросами. После удаления экзостозов и гипертрофированной синовиальной оболочки амплитуда движений в суставе увеличивается, боль проходит, однако спортивные физические нагрузки всё же не рекомендуются, так как хрящ на верхней половинке головки плюсневой кости отсутствует. Так же сохраняется риск повторного образования экзостозов. Плюсами вмешательства является его малая травматичность и короткий реабилитационный период – 2 недели.

Второй вариант – заключается в повторении всех этапов первого варианта + выполнение тыльной клиновидной остеотомии.

После остеотомии подошвенная часть головки с сохранным хрящом оказывается поднятой наверх и обеспечивает скольжение основной фаланги и полную амплитуду движений. Это вмешательство требует более длительного периода реабилитации, так как производится остеотомия, искусственный перелом кости. После остеотомии нагрузка на передний отдел стопы ограничена 6 недель. При этом, начиная со 2 дня пациент занимается лечебной физкультурой, направленной на сохранение и увеличение амплитуды движений.

Ниже представлен клинический пример хирургического лечения болезни Келлера 2 с применением второго метода.

Пациентка Д 32 года.

Отмечала боли в области 2 плюсне-фалангового сустава правой стопы на протяжении 15 лет, постепенно прогрессирующее ограничение амплитуды движений. В связи с усугублением болей обратилась на приём в К+31, осмотрена травматологом-ортопедом, рекомендовано оперативное лечение.

При клиническом осмотре обращает на себя внимание бугорок костной плотности по тыльной поверхности головки 2 плюсневой кости. Амплитуда тыльного сгибания 15 градусов.

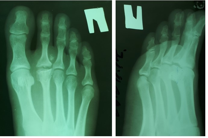
На рентгенограммах визуализируются крупные остеофиты по тыльной поверхности головки и свободные внутрисуставные тела.

-2

Учитывая молодой возраст пациентки и желание в последующем заниматься спортом, запланирована операция - корригирующая тыльная клиновидная остеотомия 2 плюсневой кости правой стопы, резекция экзостозов, удаление свободных внутрисуставных тел, синовэктомия.

-3

После предоперационного обследования и предоперационной подготовки пациентка взята в операционную.

Под КЭТН, в положении пациента на спине, после трёхкратной обработки кожных покровов растворами антисептиков, наложен отжимной и затем кровоостанавливающий жгут, произведён продольный доступ в проекции 2 ПФС правой стопы.

-4

При ревизии сустава определяются множественные экзостозы, свободные внутрисуставные тела, гипертрофированная синовиальная оболочка. Амплитуда движений резко ограничена.

Произведена резекция экзостозов, удаление свободных внутрисуставных тел, иссечение гипертрофированной синовиальной оболочки.

-5

Удалённые свободные костные и хрящевые фрагменты, резецированные экзостозы.

-6

Вид сустава после удаления экзостозов и свободных внутрисуставных тел.

Вторым этапом произведена тыльная клиновидная остеотомия 2 плюсневой кости.

-7

После удаления костного клина произведена фиксация фрагментов между собой при помощи компрессирующего винта и спицы. Фиксация стабильная по отношению к движениям в смежных суставах.

-8

После выполнения остеотомии тыльная поверхность головки 2 плюсневой кости представлена хрящевой тканью.

При оценке амплитуды движений: тыльное сгибание 80 градусов, подошвенное сгибание 15 градусов.

-9

Гемостаз по ходу доступа.

Рана ушита послойно.

-10

Асептическая повязка. Жгут снят.

-11

Послеоперационный протокол – однократная перевязка на следующий день после операции (косметический внутрикожный шов не требует перевязок). Ношение обуви Барука 2 недели после операции, затем переход на ботинки MBT ещё на 4 недели. Переход к полной осевой нагрузке через 6 недель, спортивные нагрузки через 12 недель.

Пассивная лечебная физкультура со 2 дня после операции, активная с 4 недели.

Холод местно по 20 минут 5 раз в день 2 недели.

При болях ксефокам 8 мг 2 р.д.

Рентгенконтроль через 6 и 12 недель.