Найти в Дзене
Ильинская больница

КОСТНЫЙ ВОЗРАСТ

В процессе роста и развития ребенка выделяют важные этапы формирования организма: прорезывание зубов, скачок роста, половое созревание и т.д. Родителей часто беспокоит вопрос, вовремя ли начался тот или иной этап, в каком возрасте появятся те или иные признаки, не отстает ли ребенок от сверстников. В этом случае врачи используют понятие «костный возраст». Многие параметры развития лучше коррелируют с костным возрастом, нежели с хронологическим. Нередко хронологический возраст отличается от костного, поэтому необходимо различать эти два параметра. Хронологический возраст - возраст в годах от момента рождения до оцениваемой даты. Костный возраст, выражаемый в годах, представляет собой общее понятие, используемое во всем мире и характеризующее степень зрелости скелета, или, другими словами, определяющее открытость зон роста. На костный возраст могут влиять различные факторы, включая пол, питание, а также метаболические, генетические и социальные факторы или острые/хронические заболевания,
Оглавление

В процессе роста и развития ребенка выделяют важные этапы формирования организма: прорезывание зубов, скачок роста, половое созревание и т.д. Родителей часто беспокоит вопрос, вовремя ли начался тот или иной этап, в каком возрасте появятся те или иные признаки, не отстает ли ребенок от сверстников.

В этом случае врачи используют понятие «костный возраст». Многие параметры развития лучше коррелируют с костным возрастом, нежели с хронологическим. Нередко хронологический возраст отличается от костного, поэтому необходимо различать эти два параметра.

Хронологический возраст - возраст в годах от момента рождения до оцениваемой даты. Костный возраст, выражаемый в годах, представляет собой общее понятие, используемое во всем мире и характеризующее степень зрелости скелета, или, другими словами, определяющее открытость зон роста. На костный возраст могут влиять различные факторы, включая пол, питание, а также метаболические, генетические и социальные факторы или острые/хронические заболевания, включая эндокринные нарушения.

Для определения костного возраста выполняют рентгенографию кистей рук с лучезапястными суставами. Далее проводят оценку костного возраста согласно одной из систем (Greulich and Pyle, The Tanner–Whitehouse Method и другие).

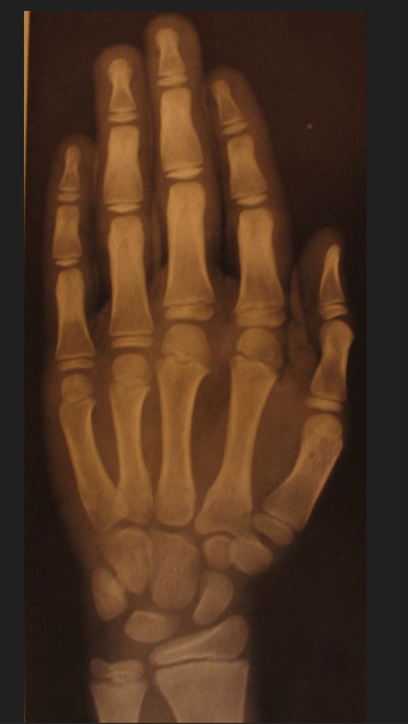
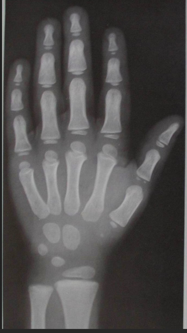
Пример определения костного возраста по методике Greulich and Pyle.

Мальчик, костный возраст 4 года.
Мальчик, костный возраст 4 года.
Мальчик, костный возраст 11 лет.
Мальчик, костный возраст 11 лет.
Мальчик, костный возраст 18 лет, полное закрытие зон роста.
Мальчик, костный возраст 18 лет, полное закрытие зон роста.

Когда нужно знать костный возраст?

Наиболее часто определение костного возраста используют детские эндокринологи. При различных эндокринных заболеваниях костный возраст может отличаться от паспортного. Например, при тяжелом гипотиреозе, дефиците гормона роста, при гипогонадизме может быть отставание костного возраста от паспортного, а при преждевременном половом созревании, наоборот, его опережение. Также определение костного возраста позволяет понять прогноз конечного роста на момент проведения исследования.

Определение костного возраста показано в следующих группах детей и подростков:

  • задержка роста или высокорослость,
  • задержка полового созревания или преждевременное половое развитие.

Врачу важно видеть сам снимок, а не только его описание, так что, собираясь на прием к детскому эндокринологу, не забудьте его захватить.

Автор: детский эндокринолог Писарева Елена Александровна.