Найти в Дзене

В деталях кроется магия

В деталях кроется магия!

Делимся с вами интересной работой.

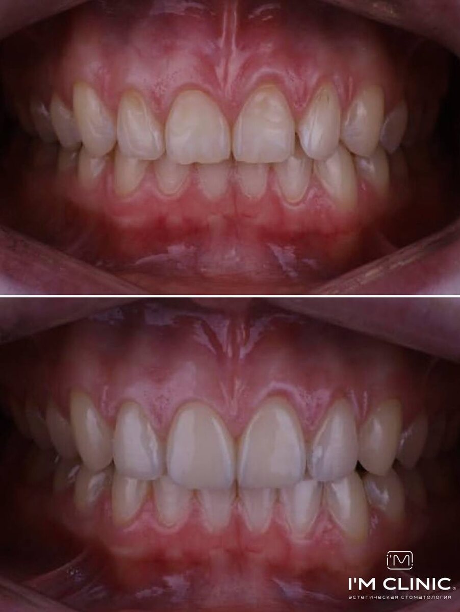
Если взглянуть на фото до и после, может показаться, что изменений не так много. Но если присмотреться внимательнее, увидите три ключевых улучшения, которые кардинально преобразили улыбку пациентки.

Что было исправлено?

1. Сколы, стираемость и эрозии на зубах.

2. Восстановлена идеальная длина зубов.

3. Форма бокового резца — повёрнутый на 30°, он вернулся в эстетически правильное положение.

Результат: керамические реставрации, идеально вписывающиеся в естественный зубной ряд.

Выполнили работу:

- Мамонтов Александр, стоматолог-ортопед;

- Исаханян Арсен, зубной техник.

Как важно чувствовать себя комфортно и уверенно в своей улыбке. В этой работе мы не просто исправили недостатки, а создали гармонию, воплотили мечту о безупречной улыбке, которая будет радовать пациентку каждый день.

📍Мичуринский проспект, д.56

📞+7 (495) 271 92 62

📞+7 (995) 797 94 94

#кейс@imclinic_dental

Имеются противопоказания. Необходима консультация специалиста.

-2
-3
-4
-5
-6
-7