Найти в Дзене

Новости из стационара от Зари, которая после серьёзного ДТП три дня лежала в кустах

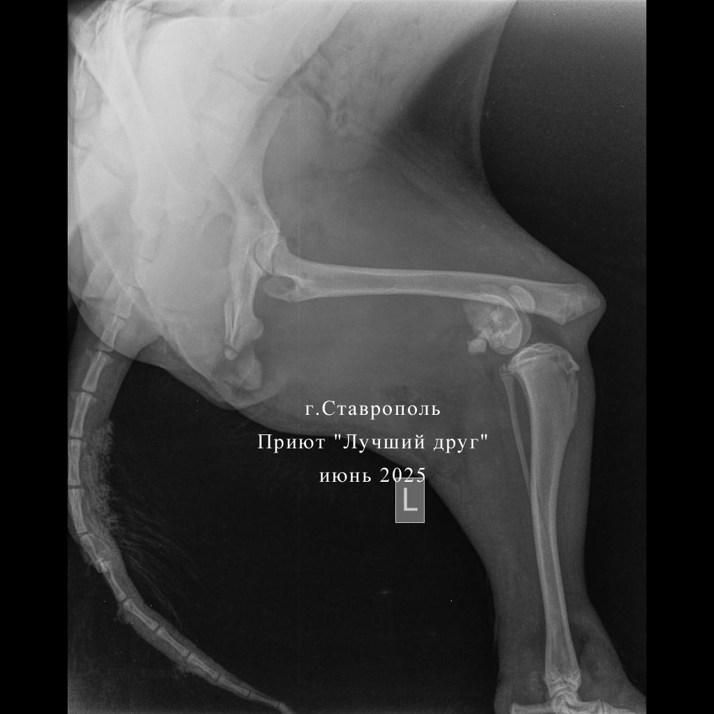
Читая истории спасения собак, поневоле задумываешься, насколько повезло животному, что кто-то его нашел вовремя и смог оказать помощь. Заре не повезло. Она три дня после ДТП валялась в кустах в беспомощном состоянии. И когда ее все-таки привезли в клинику к множественным травмам и переломам уже добавились некрозы, нагноения. Поэтому в клинике сначала провели экстренные мероприятия: обработали и максимально зачистили раны и ампутировали сгнивший хвост. И только после курса антибиотиков, несмотря на то, что по общему анализу крови анемия, взялись оперировать переломы, ждать дольше нельзя, собака рискует остаться инвалидом.
Вчера, 17 июня, Зарю прооперировали, в выписке много медицинских терминов, но если перевести на общепонятный язык - собрали сломанные кости задних лап и было это очень непросто. Сейчас Заря отошла от наркоза и остается под наблюдением врачей. Долг за лечение = спасение Зари будет огромный, и сами мы не справимся с этим. Собираем попечительский совет в помощь Заре, ище

Читая истории спасения собак, поневоле задумываешься, насколько повезло животному, что кто-то его нашел вовремя и смог оказать помощь. Заре не повезло. Она три дня после ДТП валялась в кустах в беспомощном состоянии. И когда ее все-таки привезли в клинику к множественным травмам и переломам уже добавились некрозы, нагноения.

Поэтому в клинике сначала провели экстренные мероприятия: обработали и максимально зачистили раны и ампутировали сгнивший хвост. И только после курса антибиотиков, несмотря на то, что по общему анализу крови анемия, взялись оперировать переломы, ждать дольше нельзя, собака рискует остаться инвалидом.
Вчера, 17 июня, Зарю прооперировали, в выписке много медицинских терминов, но если перевести на общепонятный язык - собрали сломанные кости задних лап и было это очень непросто. Сейчас Заря отошла от наркоза и остается под наблюдением врачей.

-2

Долг за лечение = спасение Зари будет огромный, и сами мы не справимся с этим. Собираем попечительский совет в помощь Заре, ищем попечителей на любую комфортную для вас сумму, которую вы сможете ежемесячно отправлять на реквизиты приюта, а мы из этих сумм будем оплачивать счета из клиники. Подробнее ватсапп 89886274357 (писать, не звонить) - Юлия

На 16 июня долг за Зарю 32 667 руб, собрали в соцсетях 37 850 руб, на операции денег уже не хватает, отклика на попечительство тоже пока нет... Пожалуйста, поддержите нас, сейчас очень много зависит от желания Зари выжить, от мастерства врачей и, конечно же, своевременной оплаты счетов.
Реквизиты приюта:
1. ОО ПБЖ "ЛУЧШИЙ ДРУГ" по СК.
ИНН/КПП 2635700552/263501001
ОГРН 11226000001281
р/сч. 40703810360100023846 в Ставропольском отделении №5230 ПАО СБЕРБАНК
кр/сч.30101810907020000615
БИК: 040702615

2. Сбербанк-онлайн. Вверху в графу "поиск" вписать название "Лучший друг", подождать пока организация найдётся. Все реквизиты уже заполнены, добавьте свои данные и желаемую сумму и сделайте перевод.

3. Пожертвование через СБП
qr.nspk.ru/AS1A0019VU...

4. Кнопка "Пожертвовать" vk.com/priyt_ld26?w=app5727...

5. Пожертвование можно сделать с помощью QR-кода

❗Как помочь приюту по QR-коду? Как отсканировать со своего телефона?❗ Чтобы сделать пожертвование, не нужно мучительно вбивать реквизиты, достаточно отсканировать код в приложении и ввести сумму пожертвования. Быстро и просто. Ниже подробная инструкция и видео о том, как сделать пожертвование. В течение суток все ваши пожертвования поступают напрямую на расчетный счет приюта. - Предварительно…
Приют для животных "Лучший друг"11 декабря 2023
-3

Тел для связи 8-962-442-18-56
Ставрополь, приют Лучший друг