Найти в Дзене

КАК ОПРЕДЕЛИТЬ БЫЛА ОВУЛЯЦИЯ ИЛИ НЕТ

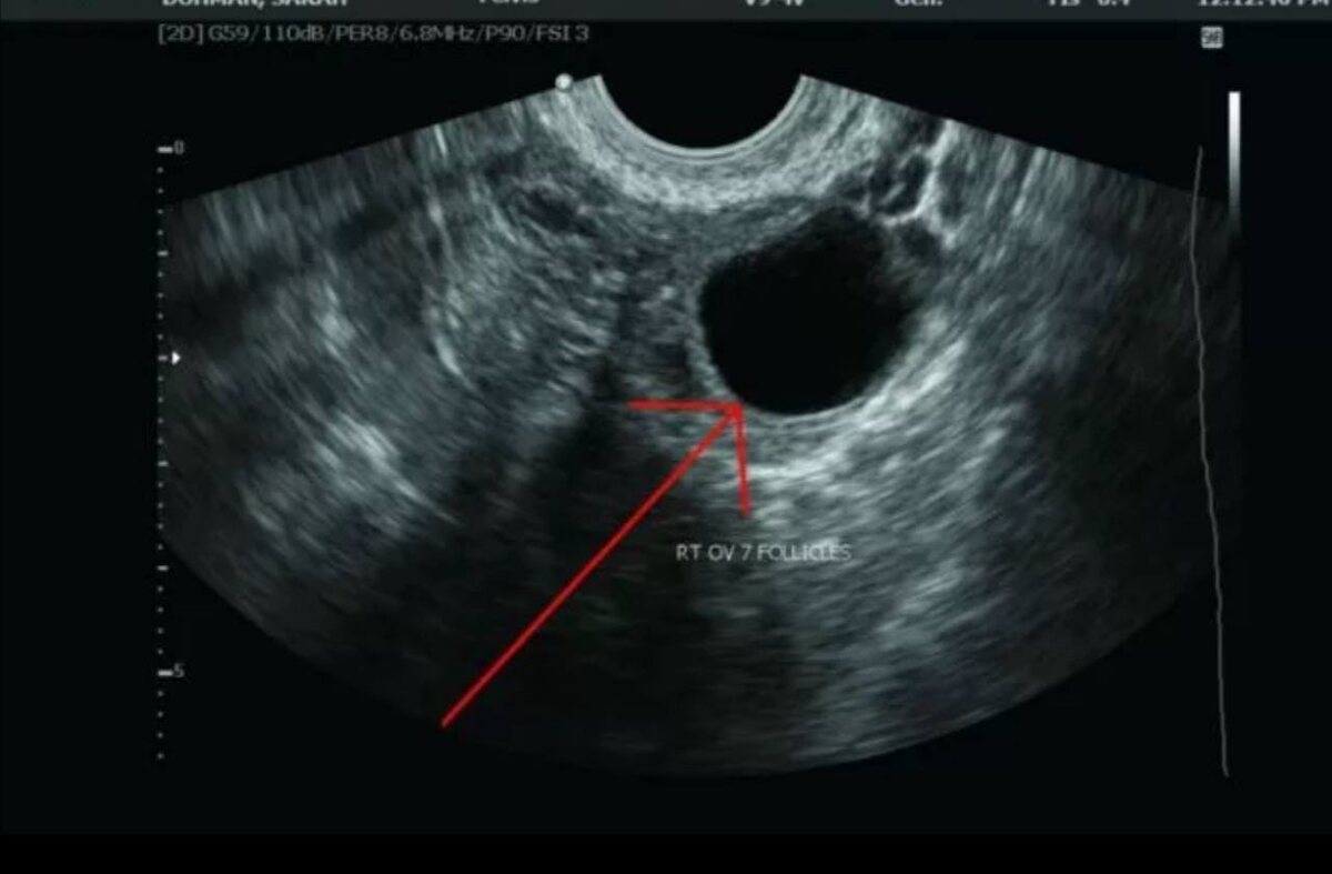
КАК ОПРЕДЕЛИТЬ БЫЛА ОВУЛЯЦИЯ ИЛИ НЕТ 🤔: Овуляция - это выход яйцеклетки из яичника в маточную трубу в результате разрыва доминантного фолликула Достоверные методы: 📍Фолликулометрия. При цикле 28-30 дней на 10-11 день цикла выполняется УЗИ для определения доминантного фолликула (более 10 мм в диаметре ) и далее контролируем каждые 2 дня до овуляции. Далее по узи за 7 дней (19-21 день цикла при его продолжительности 28-30 дней )до предполагаемой менструации надо оценить наличие желтого тела . 📍Анализ крови на прогестерон . Утром натощак надо сдать кровь на прогестерон за 7 дней до предполагаемой менструации(если цикл 28 дней ,то это будет 21 день и т.д.). При уровне более 10 нмоль/ мл (3 нг/мл) констатируем свершившуюся овуляцию. Этот показатель вариабельный ,и если нет повышения гормона ,это вовсе не означает ,что не было овуляции Так же существуют естественные методы : - Изменение характера выделений из половых путей (они становятся прозрачными и тягучими – как яичны

КАК ОПРЕДЕЛИТЬ БЫЛА ОВУЛЯЦИЯ ИЛИ НЕТ 🤔:

Овуляция - это выход яйцеклетки из яичника в маточную трубу в результате разрыва доминантного фолликула

Достоверные методы:

📍Фолликулометрия.

При цикле 28-30 дней на 10-11 день цикла выполняется УЗИ для определения доминантного фолликула (более 10 мм в диаметре ) и далее контролируем каждые 2 дня до овуляции. Далее по узи за 7 дней (19-21 день цикла при его продолжительности 28-30 дней )до предполагаемой менструации надо оценить наличие желтого тела .

📍Анализ крови на прогестерон . Утром натощак надо сдать кровь на прогестерон за 7 дней до предполагаемой менструации(если цикл 28 дней ,то это будет 21 день и т.д.). При уровне более 10 нмоль/ мл (3 нг/мл) констатируем свершившуюся овуляцию. Этот показатель вариабельный ,и если нет повышения гормона ,это вовсе не означает ,что не было овуляции

Так же существуют естественные методы :

- Изменение характера выделений из половых путей (они становятся прозрачными и тягучими – как яичный белок)

- Измерение базальной температуры ( каждое утро в одно и тоже время,после сна 6-8 ч измеряют температуру в прямой кишке). В 1 фазе она 36.6 , далее происходит снижение на 0,5 и затем повышается до 37.1-37.3. Это и свидетельствуют об овуляции

Некоторые женщины «чувствует» овуляцию(боль справа или слева ). Так же овуляция может сопровождаться мажущими выделения

- Календарный метод:овуляция происходит за 12-14 день до начала следующий менструации (если цикл 28 дней это 14-16 день ,если 30 дней 16-18 день ,при цикле 35 это 21-23 день)

+ Тесты на овуляцию . Они схожи с тестом на беременность - только вместо ХГЧ в моче определяют пик лютеинизурующего гормона . После того как тест стал положительным - следующие 24-48 часов наиболее благоприятны для зачатия .Этот способ подходит не всем (например при диагнозе синдром поликистозных яичников лютеинизирующий гормон часто повышен,но это не свидетельствует об овуляции )