Добавить в корзинуПозвонить
Найти в Дзене

"Как развенчать городскую легенду о том, что у мужчин на одно ребро меньше, чем у женщин?".

Как считать ребра на рентгене? Рёбра всегда считаются сверху, то есть сначала нужно найти первое ребро, а потом уже до него досчитать до интересующего нас места. По крайней мере нас так учили. Но отыскать первое ребро - самая большая засада. Чаще всего за него принимают ключицу. Задняя дуга рёбер видна лучше, чем передняя, что объясняется достаточно просто - задняя дуга целиком костная, передняя в значительной части - хрящ. Обратите внимание на еще одну засаду - толкучку в районе 1, 2 и 3 рёбер. Это связано с разными углами наклона и особенностями проецирования всего этого объемного безобразия на плоскость.  Пересчет ребёр не оставляет сомнений в том, что и на первом снимке, и на втором их ровно 24 штуки. Есть два варианта подсчета рёбер: Первый: берем учебник анатомиии и находим соответствующий рисунок, считаем рёбра. Второй вариант: рентгенограмма.  На второй рентгенограмме, чтобы не путаться, ключица обозначена буквой "С" - clavicula, лат. ВИД СЗАД

Как считать ребра на рентгене?

Рёбра всегда считаются сверху, то есть сначала нужно найти первое ребро, а потом уже до него досчитать до интересующего нас места. По крайней мере нас так учили.

Но отыскать первое ребро - самая большая засада. Чаще всего за него принимают ключицу.

Задняя дуга рёбер видна лучше, чем передняя, что объясняется достаточно просто - задняя дуга целиком костная, передняя в значительной части - хрящ. Обратите внимание на еще одну засаду - толкучку в районе 1, 2 и 3 рёбер. Это связано с разными углами наклона и особенностями проецирования всего этого объемного безобразия на плоскость. 

Пересчет ребёр не оставляет сомнений в том, что и на первом снимке, и на втором их ровно 24 штуки.

Есть два варианта подсчета рёбер:

Первый: берем учебник анатомиии и находим соответствующий рисунок, считаем рёбра.

Второй вариант: рентгенограмма. 

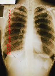
Женская рентгенограмма, стрелки указывают на задние дуги соответствующих рёбер.
Женская рентгенограмма, стрелки указывают на задние дуги соответствующих рёбер.

Мужская рентгенограмма, стрелками указаны задние и передние дуги 1-3 рёбер, цифры с 4 по 12 проставлены на задних дугах соответствующих рёбер.
Мужская рентгенограмма, стрелками указаны задние и передние дуги 1-3 рёбер, цифры с 4 по 12 проставлены на задних дугах соответствующих рёбер.

На второй рентгенограмме, чтобы не путаться, ключица обозначена буквой "С" - clavicula, лат.

ВИД СЗАДИ

-4

Вот более подробная инструкция:

1. Найдите первое ребро:

Обычно первое ребро можно найти под ключицей, либо на уровне угла грудины (места соединения рукоятки и тела грудины). 

2. Определите направление ребер:

Ребра идут сверху вниз, от позвоночника к грудине, и немного изогнуты. Их передние концы направлены к грудине. 

3. Начинайте счет:

Считайте ребра по порядку, двигаясь вниз по грудной клетке. 

4. Учитывайте "ложные" ребра:

Запомните, что последние 5 ребер не все прикрепляются к грудине, а некоторые из них заканчиваются в мышцах живота. В частности, 11 и 12 ребра не имеют связи с грудиной и называются "плавающими". 

Дополнительные советы: 

  • При обследовании можно использовать ключицы и остистые отростки позвонков как ориентиры для определения положения ребер. 
  • При пальпации ребер, обращайте внимание на их форму и направление, чтобы не перепутать ребра между собой.