Добавить в корзинуПозвонить
Найти в Дзене

Паразитарные заболевания легких

Паразитарные заболевания легких – группа болезней, вызываемых гельминтами, простейшими и другими паразитами, способными поражать респираторную систему. Эти патологии широко распространены в регионах с тропическим и субтропическим климатом, но встречаются и в умеренных широтах.   Возбудитель – личинки *Echinococcus granulosus* (реже *E. multilocularis*).   Путь заражения:   - Алиментарный (употребление зараженной воды, овощей, контакт с собаками).   - Формирование кист в легких (чаще в нижних долях).   - Симптомы: кашель, боли в груди, кровохарканье, при разрыве кисты – анафилактический шок.   Возбудитель – *Paragonimus westermani*.   Путь заражения:   - Употребление сырых или недостаточно обработанных пресноводных крабов и раков.   Клиническая картина:   - Кашель с кровянистой мокротой, боли в груди.   - Часто сочетается с поражением ЦНС (церебральный парагонимоз).   Возбудитель – *Ascaris lumbricoides*.   Путь заражения:   - Проглатывание яиц с загрязненной пищей.   Проявления:
Оглавление

Паразитарные заболевания легких – группа болезней, вызываемых гельминтами, простейшими и другими паразитами, способными поражать респираторную систему. Эти патологии широко распространены в регионах с тропическим и субтропическим климатом, но встречаются и в умеренных широтах.  

Основные возбудители и пути заражения:

1. Эхинококкоз (гидатидоз) легких  

Возбудитель – личинки *Echinococcus granulosus* (реже *E. multilocularis*).  

Путь заражения:  

- Алиментарный (употребление зараженной воды, овощей, контакт с собаками).  

Особенности поражения:  

- Формирование кист в легких (чаще в нижних долях).  

- Симптомы: кашель, боли в груди, кровохарканье, при разрыве кисты – анафилактический шок.  

2. Парагонимоз (легочный сосальщик)  

Возбудитель – *Paragonimus westermani*.  

Путь заражения:  

- Употребление сырых или недостаточно обработанных пресноводных крабов и раков.  

Клиническая картина:  

- Кашель с кровянистой мокротой, боли в груди.  

- Часто сочетается с поражением ЦНС (церебральный парагонимоз).  

3. Аскаридоз легких (миграционная фаза)  

Возбудитель – *Ascaris lumbricoides*.  

Путь заражения:  

- Проглатывание яиц с загрязненной пищей.  

Проявления:  

- Легочный синдром Лёффлера (эозинофильные инфильтраты).  

- Кашель, одышка, редко – кровохарканье.  

4. Токсокароз (висцеральная форма)  

Возбудитель – *Toxocara canis/cati*.  

Путь заражения:  

- Контакт с почвой, зараженной яйцами паразита.  

Симптомы:  

- Эозинофилия, кашель, бронхоспазм, возможны очаговые изменения в легких на КТ.  

5. Амебиаз легких  

Возбудитель – *Entamoeba histolytica*.  

Путь заражения:  

- Гематогенное распространение из кишечника или прорыв печеночного абсцесса через диафрагму.  

Клиника:  

- Кашель с «шоколадной» мокротой, плевральные боли, признаки абсцесса легкого.  

Диагностика  

1. Лабораторные методы:  

  - Общий анализ крови (эозинофилия при гельминтозах).  

  - Серология (ИФА на антитела к паразитам).  

  - Анализ мокроты (обнаружение яиц, личинок, амеб).  

2. Инструментальные методы:  

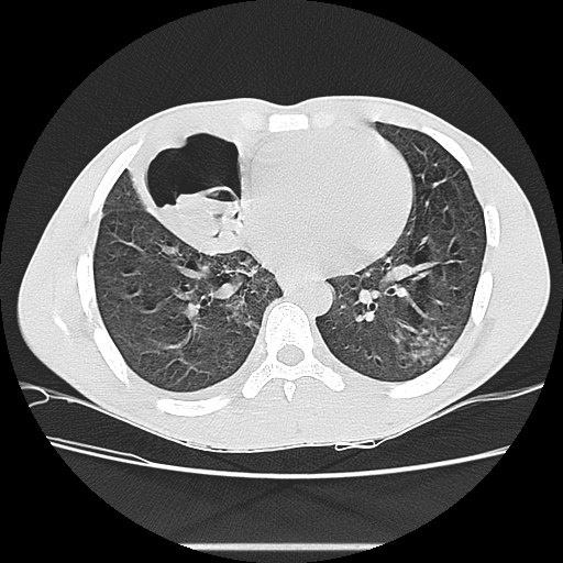
  - Рентгенография и КТ легких (кисты, инфильтраты, абсцессы).  

  - УЗИ печени (при эхинококкозе).  

  - Бронхоскопия (при подозрении на парагонимоз).  

-2

Лечение  

1. Противопаразитарные препараты:  

  - Альбендазол, мебендазол – при эхинококкозе, аскаридозе.  

  - Празиквантел – при парагонимозе.  

  - Метронидазол – при амебиазе.  

2. Хирургическое лечение:  

  - Удаление эхинококковых кист.  

  - Дренирование абсцессов.  

3. Симптоматическая терапия:  

  - Кортикостероиды (при выраженной аллергической реакции).  

  - Бронхолитики (при обструкции).  

Профилактика  

- Соблюдение гигиены (мытье рук, овощей, термическая обработка пищи).  

- Санитарный контроль воды и почвы.  

- Регулярная дегельминтизация домашних животных.  

Паразитарные поражения легких требуют комплексного подхода в диагностике и лечении. Важно учитывать эпидемиологический анамнез и проводить дифференциальную диагностику с туберкулезом, пневмонией и опухолями. Своевременная терапия позволяет избежать тяжелых осложнений.

Где получить консультацию специалиста?

Вы можете записаться на консультацию к Андрею Владимировичу Никулину – кандидату медицинских наук, торакальному хирургу, онкологу.

Андрей Владимирович Никулин – один из ведущих специалистов в области хирургического лечения заболеваний легких, средостения, грудной стенки и диафрагмы. Он поможет разобраться в вашей ситуации и предложит наиболее эффективный путь решения проблемы.

Главное – внимательное отношение к своему здоровью и своевременное обращение к врачу.

Быть здоровым гораздо лучше, нежели больным!