Добавить в корзинуПозвонить
Найти в Дзене

Протезы с опорой на четыре импланта: про комфорт, стоимость и показания

Система «Все на 4-х» стала очень популярна в стоматологии. Зубы за один день, возможность сразу жевать, красивая улыбка – такой технология предстает в рекламе. Однако есть особенности, про которые нельзя забывать. Сегодня расскажем про них. Далеко не каждому процедура подходит. Дело не в возрасте или наличии соматических заболеваний, а в строго обозначенных показаниях. Их нельзя расширять. Когда использовать: Помните: технология «Все на 4-х» изначально разрабатывалась для пожилых людей. В 30-40 лет разумнее выбирать костную пластику. Сама операция, в зависимости от сложности, может занимать от 1 до 3 часов. На это время вполне хватает местной анестезии. В ближайшее время ортопед начинает изготавливать адаптационный протез. Адаптационный протез – временный. Доктор фиксирует его к имплантам в первые несколько дней (порой, и несколько часов) после операции. Его нужно заменить через 6 месяцев, после приживления имплантов. В нашей клинике фиксация адаптационного протеза проводится через
Оглавление

Система «Все на 4-х» стала очень популярна в стоматологии. Зубы за один день, возможность сразу жевать, красивая улыбка – такой технология предстает в рекламе. Однако есть особенности, про которые нельзя забывать. Сегодня расскажем про них.

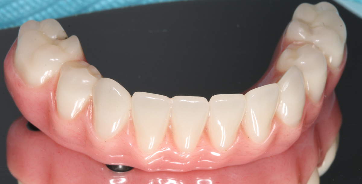
Так выглядит адаптационный протез на нижней челюсти. Подробности ниже.
Так выглядит адаптационный протез на нижней челюсти. Подробности ниже.

1. Показания к «Все на 4-х»

Далеко не каждому процедура подходит. Дело не в возрасте или наличии соматических заболеваний, а в строго обозначенных показаниях. Их нельзя расширять.

Когда использовать:

  • полное отсутствие зубов
  • атрофия (недостаток) костной ткани, особенно в боковых отделах
  • невозможность/сложность проведения костной пластики
  • генерализованный пародонтит тяжелой формы (с сильной подвижностью зубов)
  • сильная разрушенность зубов, сложность их восстановления
  • врожденные/приобретенные аномалии челюстно-лицевой области
Помните: технология «Все на 4-х» изначально разрабатывалась для пожилых людей. В 30-40 лет разумнее выбирать костную пластику.

2. Скорость

Сама операция, в зависимости от сложности, может занимать от 1 до 3 часов. На это время вполне хватает местной анестезии. В ближайшее время ортопед начинает изготавливать адаптационный протез.

На верхней и нижней челюсти фиксированы адаптационные протезы. Они из акрила, внутри – армирующая балка.
На верхней и нижней челюсти фиксированы адаптационные протезы. Они из акрила, внутри – армирующая балка.

Адаптационный протез – временный. Доктор фиксирует его к имплантам в первые несколько дней (порой, и несколько часов) после операции. Его нужно заменить через 6 месяцев, после приживления имплантов.

В нашей клинике фиксация адаптационного протеза проводится через 5-7 дней после установки имплантов. В течение этого времени ортопед снимает слепки или сканы, проводит примерку конструкции и фиксирует ее.

3. Стоимость и комфорт

Все лечение разбивается на два этапа: операция и временное протезирование, а после приживления – постоянное протезирование. Стоимость восстановления по системе «Все на 4-х» дешевле костной пластики, но дороже съемного протеза.

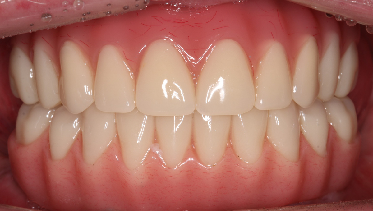
Постоянные конструкции после приживления имплантов. На верхней челюсти – металлокерамический протез, на нижней – из акрила (пластмассы).
Постоянные конструкции после приживления имплантов. На верхней челюсти – металлокерамический протез, на нижней – из акрила (пластмассы).

Качественное отличие от других вариантов – время лечения и удобство ношения. Съемное протезирование существенно уступает протезу с опорой на четыре импланта в плане комфорта при использовании. А костная пластика проигрывает по времени получения зубов (ожидание от 6 месяцев до 1 года).

Заключение

В конце добавим, что «Все на 4-х» – универсальная процедура, которую можно выполнить практически любому пациенту. Но не каждому ее НУЖНО выполнять. В нашей клинике мы учитываем пожелания пациентов, но не отступаем и от медицинских правил. Особенности и возможности разбираем на консультациях. Их проводят и хирург, и ортопед, так как работа всегда совместная.

__________________________________

Фотографии совместной работы имплантолога Асанова Владимира Константиновича и ортопеда Галстяна Саркиса Гурамовича.

__________________________________

Если статья была полезной для Вас, будем рады лайкам и вопросам.

Напоминаем: в стоматологическом центре «Перово» бесплатные консультации.

Мы находимся по адресу: Москва, 1-я Владимирская ул., 14 (м. Перово).

Телефон для записи: +7 (499) 490-93-01

Наш сайт: stom-perovo.ru (там можно оставить заявку, с вами свяжется администратор).