Найти Π² Π”Π·Π΅Π½Π΅

πŸ’Ž КСйс: ΠΏΠΎΠ»Π½ΠΎΠ΅ ΠΏΡ€Π΅ΠΎΠ±Ρ€Π°ΠΆΠ΅Π½ΠΈΠ΅ ΡƒΠ»Ρ‹Π±ΠΊΠΈ с ΠΊΠΎΡ€ΠΎΠ½ΠΊΠ°ΠΌΠΈ E-max

ОглавлСниС

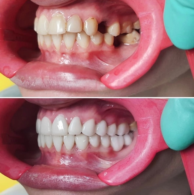
πŸ“Έ На Ρ„ΠΎΡ‚ΠΎ β€” Ρ€Π΅Π·ΡƒΠ»ΡŒΡ‚Π°Ρ‚ нашСй Π½Π΅Π΄Π°Π²Π½Π΅ΠΉ Ρ€Π°Π±ΠΎΡ‚Ρ‹: эстСтичСскоС ΠΈ Ρ„ΡƒΠ½ΠΊΡ†ΠΈΠΎΠ½Π°Π»ΡŒΠ½ΠΎΠ΅ восстановлСниС Π·ΡƒΠ±ΠΎΠ², с ΡƒΡ‡Ρ‘Ρ‚ΠΎΠΌ Π°Π½Π°Ρ‚ΠΎΠΌΠΈΠΈ ΠΏΠ°Ρ†ΠΈΠ΅Π½Ρ‚Π°, прикуса ΠΈ ΠΏΠΎΠΆΠ΅Π»Π°Π½ΠΈΠΉ ΠΊ эстСтикС.

πŸ“Œ Π”ΠΎ: Ρ€Π°Π·Ρ€ΡƒΡˆΠ΅Π½Π½Ρ‹Π΅ Π·ΡƒΠ±Ρ‹, отсутствиС ΠΎΠ΄Π½ΠΎΠ³ΠΎ ΠΈΠ· моляров, Π·Π°ΠΌΠ΅Ρ‚Π½Ρ‹Π΅ Π΄Π΅Ρ„Π΅ΠΊΡ‚Ρ‹ эмали, выраТСнная асиммСтрия прикуса.

πŸ“Œ ПослС: аккуратная, СстСствСнная рСставрация с ΠΏΠΎΠΌΠΎΡ‰ΡŒΡŽ ΠΊΠΎΡ€ΠΎΠ½ΠΎΠΊ E-max β€” Π±Π΅Π· ΠΌΠ΅Ρ‚Π°Π»Π»Π°, с Π±Π΅Π·ΡƒΠΏΡ€Π΅Ρ‡Π½ΠΎΠΉ эстСтикой.

ΠŸΠΎΡ‡Π΅ΠΌΡƒ E-max?

  • βœ… Максимально ΠΏΡ€ΠΈΠ±Π»ΠΈΠΆΠ΅Π½Ρ‹ ΠΊ Π½Π°Ρ‚ΡƒΡ€Π°Π»ΡŒΠ½Ρ‹ΠΌ Π·ΡƒΠ±Π°ΠΌ
  • βœ… ΠŸΡ€ΠΎΡ‡Π½Ρ‹Π΅, износостойкиС
  • βœ… Π˜Π΄Π΅Π°Π»ΡŒΠ½Ρ‹ для Π·ΠΎΠ½Ρ‹ ΡƒΠ»Ρ‹Π±ΠΊΠΈ ΠΈ Π±ΠΎΠΊΠΎΠ²ΠΎΠΉ Π³Ρ€ΡƒΠΏΠΏΡ‹
  • βœ… НС Π²Ρ‹Π·Ρ‹Π²Π°ΡŽΡ‚ Π°Π»Π»Π΅Ρ€Π³ΠΈΠΈ

πŸ’― Π Π΅Π·ΡƒΠ»ΡŒΡ‚Π°Ρ‚ β€” красивая, гармоничная ΡƒΠ»Ρ‹Π±ΠΊΠ° ΠΈ ΠΊΠΎΠΌΡ„ΠΎΡ€Ρ‚ Π² повсСднСвной ΠΆΠΈΠ·Π½ΠΈ.

πŸ“² Π₯ΠΎΡ‚ΠΈΡ‚Π΅ Ρ‚Π°ΠΊ ΠΆΠ΅?

Π—Π°ΠΏΠΈΡˆΠΈΡ‚Π΅ΡΡŒ Π½Π° Π±Π΅ΡΠΏΠ»Π°Ρ‚Π½ΡƒΡŽ ΠΊΠΎΠ½ΡΡƒΠ»ΡŒΡ‚Π°Ρ†ΠΈΡŽ β€” расскаТСм ΠΎΠ±ΠΎ всСх Π²ΠΎΠ·ΠΌΠΎΠΆΠ½Ρ‹Ρ… Π²Π°Ρ€ΠΈΠ°Π½Ρ‚Π°Ρ… восстановлСния ΡƒΠ»Ρ‹Π±ΠΊΠΈ!

  • ☎️ 8 (495) 134-50-90
  • πŸ“ž 8 (916) 000-85-53

πŸ‘ͺ Π‘ любовью ΠΈ Π·Π°Π±ΠΎΡ‚ΠΎΠΉ ΠΎ вас ΠΈ Π²Π°ΡˆΠΈΡ… дСтях, ваш Π»ΡŽΠ±ΠΈΠΌΡ‹ΠΉ ΠΎΡ€Ρ‚ΠΎΠ΄ΠΎΠ½Ρ‚ ΠΈ Π³Π»Π°Π²Π½Ρ‹ΠΉ Π²Ρ€Π°Ρ‡ ΠΊΠ»ΠΈΠ½ΠΈΠΊΠΈ Π‘Π˜Π›Πš-Π‘ΠœΠΠ™Π›, Π•Π»Π΅Π½Π° ЛСщук❣️

ΠšΠ΅Ρ€Π°ΠΌΠΈΡ‡Π΅ΡΠΊΠΈΠ΅ ΠΊΠΎΡ€ΠΎΠ½ΠΊΠΈ E-Max: ΠΏΡ€ΠΎΡ‡Π½ΠΎΡΡ‚ΡŒ, эстСтика, Π΄ΠΎΠ»Π³ΠΎΠ²Π΅Ρ‡Π½ΠΎΡΡ‚ΡŒ
БтоматологичСская ΠΊΠ»ΠΈΠ½ΠΈΠΊΠ° Π² МосквС - Π‘ΠΈΠ»ΠΊ Π‘ΠΌΠ°ΠΉΠ»

#силксмаил #совСтотСлСнылСщук #совСтотсилксмаил #Π΅Π»Π΅Π½Π°Π»Π΅Ρ‰ΡƒΠΊ