Добавить в корзинуПозвонить
Найти в Дзене

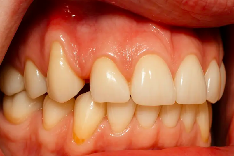
♨️ Оголилась шейка зуба?

Зубная щётка, холодная вода и кислое вызывают боль? Оголившаяся шейка — это не косметическая мелочь, а сигнал: зуб и десна в опасности. ⚠️ Это может быть началом пародонтоза, повышенной чувствительности или даже подвижности зубов. ✳️ Заботьтесь о зубах до боли, а не после. 📖 Читайте, пока проблема не стала сложной: 👉 https://silksmile.ru/ogolilas-shejka-zuba/ А, если что — мы рядом👇 👨‍👩‍👧‍👦 С любовью и заботой о вас и ваших детях, ваш любимый ортодонт и главный врач клиники СИЛК-СМАЙЛ, Елена Лещук❣️ #силксмаил #советотеленылещук #советотсилксмаил #еленалещук

Зубная щётка, холодная вода и кислое вызывают боль?

Оголившаяся шейка — это не косметическая мелочь, а сигнал: зуб и десна в опасности.

⚠️ Это может быть началом пародонтоза, повышенной чувствительности или даже подвижности зубов.

В новой статье рассказываем:

  • — почему шейки зубов оголяются и что с этим делать
  • — когда можно обойтись уходом, а когда уже пора к врачу
  • — и какие процедуры реально помогают

✳️ Заботьтесь о зубах до боли, а не после.

📖 Читайте, пока проблема не стала сложной:

👉 https://silksmile.ru/ogolilas-shejka-zuba/

Оголилась шейка зуба: причины, симптомы и методы лечения | Силк Смайл

А, если что — мы рядом👇

  • ☎️ +7 (495) 134-50-90
  • 📞 +7 (916) 000-85-53

👨‍👩‍👧‍👦 С любовью и заботой о вас и ваших детях, ваш любимый ортодонт и главный врач клиники СИЛК-СМАЙЛ, Елена Лещук❣️

#силксмаил #советотеленылещук #советотсилксмаил #еленалещук

Стоматологическая клиника в Москве - Силк Смайл