Добавить в корзинуПозвонить
Найти в Дзене
ReSmile

После установки протезов изменилась дикция: что делать, как долго это длится и как быстрее нормализовать привычную речь?

— Что с тобой? Ты как будто шепелявить начала. — А у тебя раньше такая «р» была звонкая… — Ты виниры поставила? Слушай, у тебя голос будто не твой. Такие фразы нередко слышат пациенты, прошедшие восстановление зубов — от простого наращивания до установки имплантов и протезов. Самое удивительное: вроде бы всё хорошо, зубы — как на обложке, улыбка — как в рекламе...а говорить стало сложно. Язык не слушается, некоторые звуки «проглатываются», дикция словно споткнулась. Разбираемся, почему это происходит и что делать, если после зубного лечения речь изменилась. Произношение — это не только язык и голос. Это целая работа мышц, суставов, костей и… зубов. Да-да. Каждый звук — это чёткое взаимодействие языка, неба, зубных рядов и даже слюны. Измените хотя бы одну составляющую — и всё «сценическое представление» рушится. После установки мостов, полных съемных протезов или несъемных на имплатах изменяется пространство во рту. Появляется новая форма зуба, чуть другой изгиб, иной угол — и язык ста
Оглавление

— Что с тобой? Ты как будто шепелявить начала.

— А у тебя раньше такая «р» была звонкая…

— Ты виниры поставила? Слушай, у тебя голос будто не твой.

Такие фразы нередко слышат пациенты, прошедшие восстановление зубов — от простого наращивания до установки имплантов и протезов. Самое удивительное: вроде бы всё хорошо, зубы — как на обложке, улыбка — как в рекламе...а говорить стало сложно. Язык не слушается, некоторые звуки «проглатываются», дикция словно споткнулась.

Разбираемся, почему это происходит и что делать, если после зубного лечения речь изменилась.

Дикция и зубы: как всё связано

Произношение — это не только язык и голос. Это целая работа мышц, суставов, костей и… зубов. Да-да. Каждый звук — это чёткое взаимодействие языка, неба, зубных рядов и даже слюны. Измените хотя бы одну составляющую — и всё «сценическое представление» рушится.

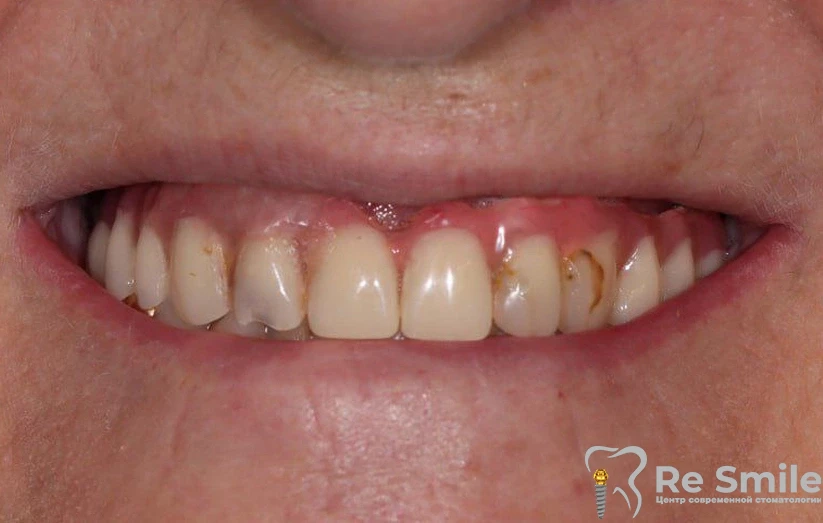
Пациентка обратилась в клинику с целью замены адаптационнного мостовидного протеза на верхней челюсти на постоянную конструкцию.

Проведено: протезирование верхней челюсти металлокерамическим мостовидным протезом.
Пациентка обратилась в клинику с целью замены адаптационнного мостовидного протеза на верхней челюсти на постоянную конструкцию. Проведено: протезирование верхней челюсти металлокерамическим мостовидным протезом.

После установки мостов, полных съемных протезов или несъемных на имплатах изменяется пространство во рту. Появляется новая форма зуба, чуть другой изгиб, иной угол — и язык сталкивается с препятствием там, где раньше его не было. Или, наоборот, опора пропадает.

Итог — сбивается привычная моторика, и особенно это сказывается на произношении:
  • Шипящие и свистящие: ш, ж, ч, щ, с, з, ц — требуют точной артикуляции с участием верхних зубов;
  • «Р» — зависит от вибрации кончика языка о нёбо;
  • Мягкие звуки — могут «расплываться», если меняется контур передних зубов.

Почему нарушается речь после восстановления зубов

-3

Вот основные причины:

1. Протез — это инородное тело

Даже если он изготовлен идеально и по слепку, всё равно он новый. Особенно если до этого зубов не было вообще и язык годами «жил» в условиях дефицита. Теперь он натыкается на непривычные преграды, и начинается переобучение.

Пациент обратился в клинику с жалобами на отсутствие зубов на верхней челюсти. В анамнезе были абсолютные противопоказания к имплантации.

Восстановлена эстетика съемным протезом, который был установлен на 5-й день.
Пациент обратился в клинику с жалобами на отсутствие зубов на верхней челюсти. В анамнезе были абсолютные противопоказания к имплантации. Восстановлена эстетика съемным протезом, который был установлен на 5-й день.
Пример: одна пациентка рассказывала, как после имплантации на верхнюю челюсть язык «вышибало» назад — настолько плотной казалась конструкция. Её речь вернулась к норме только спустя две недели, когда адаптация завершилась.

2. Закрытие неба или изменение его рельефа

Это особенно характерно для съёмных протезов, которые фиксируются за счёт перекрытия части нёба. В таком случае язык теряет опору, нарушается воздушный поток — и как следствие появляется гнусавость или шепелявость.

3. Изменение положения языка

Когда во рту появляется что-то новое (даже пара виниров), язык начинает подстраиваться. Но ему нужно время. А пока он пытается «угадать», куда упереться, страдает речь.Адаптация — процесс индивидуальный. У кого-то дикция восстанавливается за два дня, кому-то требуется три недели или месяцы. Всё зависит от нескольких факторов:

4. Нарушения слюноотделения

В первые дни после установки протеза у одних пересыхает во рту, у других — слюна течёт ручьём. И в том, и в другом случае говорить становится сложно. Вы начинаете сглатывать, запинаться, сбиваться.

Когда ждать улучшения?

Пациентка обратилась в нашу клинику с жалобой на неудовлетворительный эстетический вид коронки на имплантате в области бокового резца.

Была проведена ее замена на циркониевую коронку с керамическим нанесением.
Пациентка обратилась в нашу клинику с жалобой на неудовлетворительный эстетический вид коронки на имплантате в области бокового резца. Была проведена ее замена на циркониевую коронку с керамическим нанесением.

Адаптация — процесс индивидуальный. У кого-то дикция восстанавливается за два дня, кому-то требуется три недели. Всё зависит от нескольких факторов:

  • Местоположение протеза: передние зубы — сложнее, боковые — почти не влияют;
  • Тип конструкции: одиночная коронка — легко, съёмный протез на челюсть — дольше;
  • Пауза до протезирования: если зубов не было годами — привыкание займёт больше времени;
  • Возраст и речевые привычки: у молодых пациентов адаптация идёт быстрее, у пожилых — чуть медленнее.

Интересный факт: по наблюдениям логопедов и стоматологов, быстрее всех «перестраиваются» люди, чья профессия связана с речью — учителя, дикторы, актёры. Они интуитивно начинают «тренировать» речь, не дожидаясь, пока всё само наладится.

А как быть после имплантации?

Если вы поставили один имплант, то чаще всего ничего не изменится. А вот если речь идёт о тотальном протезировании (например, по технологии All-on-4, All-on-6), особенно после долгой паузы — да, дикция может пострадать на пару недель.

-6

Но тут важный момент: такие протезы несъёмные и опираются на импланты. А значит, нет перекрытия нёба, язык не «плавает», и вы гораздо быстрее входите в ритм.

Пациентка обратилась в клинику с проблемами подвижности и отсутствия зубов.

На верхней челюсти были удалены подвижные зубы  и одномоментно установлены импланты. На нижней челюсти были удалены подвижные зубы и установлен пластинчатый протез Квадротти.
На 3-й день был установлен адаптационный протез на верхнюю челюсть.
Пациентка обратилась в клинику с проблемами подвижности и отсутствия зубов. На верхней челюсти были удалены подвижные зубы и одномоментно установлены импланты. На нижней челюсти были удалены подвижные зубы и установлен пластинчатый протез Квадротти. На 3-й день был установлен адаптационный протез на верхнюю челюсть.

Что делать, чтобы восстановить дикцию?

Именно активная речь помогает быстрее вернуть прежнюю чёткость произношения. Вот проверенные способы, которые рекомендуют и стоматологи, и логопеды:

✅ Говорите вслух как можно чаще

Разговаривайте с родными, друзьями, даже с котом. Всё, что произнесено — тренирует мышцы языка.

✅ Читайте вслух

Журналы, книги, посты в соцсетях — неважно. Главное — не про себя. Чем чаще тренируете язык — тем быстрее он «запомнит» новую механику.

✅ Пойте песни

Серьёзно. Любимая музыка и пение не только поднимают настроение, но и активно задействуют речевой аппарат. Особенно если петь выразительно.

✅ Упражнение с леденцами

Возьмите 1–2 маленьких леденца без сахара (например, Sula) и начните читать вслух. Это трудно: язык скользит, артикуляция сбивается, но зато прокачивается в разы.

✅ Медленные проговаривания сложных слов

Попробуйте произносить: «шоссе», «решётчатый», «жужжание», «рыцарь», «свистящий» — чётко, с паузами. Делайте это в расслабленном темпе, без спешки.

А если не помогает?

Не паникуйте. У подавляющего большинства пациентов дикция восстанавливается сама, без логопеда.

Если прошло больше месяца, а вы всё ещё говорите «как с ваты», — стоит вернуться к ортопеду. Возможно, протез немного мешает, и требуется коррекция по высоте, ширине или положению. Бывает, что неудачно «перетянут» участок в области неба — а вы и не замечаете, пока не начинают сбиваться слова.

Логопед же — это крайний случай. Обычно до него дело не доходит.

Главное: дайте себе время

Ваш рот, язык и голос — как оркестр. Вы сменили скрипку, заменили трубы и перестроили дирижёра. Теперь всем нужно научиться играть по-новому. И вы тоже — освоиться с этим оркестром. Это займёт немного времени, но финал будет точно — симфония.

А пока — говорите, пойте, читайте и не бойтесь звучать немного иначе. Это — временно. А ваша новая улыбка — уже навсегда.

-8

Стоматология ReSmile – это высокотехнологичный центр современной стоматологии и имплантологии, открытый в Москве у метро Бутырская при поддержке мирового производителя имплантационных систем TRATE AG (Швейцария). Мы решаем абсолютно любые проблемы с зубами:

  • проводим имплантацию зубов (в том числе при полной адентии, при патологиях и частичном отсутствии зубов);
  • занимаемся протезированием зубов (устанавливаем съемные протезы; бюгельные; виниры и люминиры; коронки и мостовидные протезы);
  • проводим хирургические операции (пластику слизистых тканей, аугментацию костной ткани и так далее)

Переходите на наш сайт и жмите на кнопку "Заказать звонок", чтобы связаться с нашим специалистом. Любой человек, который обращается в нашу клинику, получает бесплатно специальные бонусы:

  1. Консультация 3-х специалистов
  2. Бесплатная компьютерная томограмма
  3. Бесплатная ортопантомограмма
  4. Комплексный план лечения

Виниры после 50 - это не прихоть, а вложение в качество жизни. Главное - подходить к решению осознанно, проверить здоровье полости рта, выбрать правильную технику, обсудить с врачом ожидания. И помнить: возраст - не ограничение, а забота о себе - лучший способ двигаться вперёд.

📌 Сохраните себе эту памятку и поделитесь с теми, кто собирается восстанавливать зубы — пусть знают, чего ожидать и как себе помочь.