Найти в Дзене
Expert Med

Хроническая ишемия головного мозга на МРТ.

🧠 Хроническая ишемия головного мозга — это состояние, при котором ткань головного мозга не получает достаточного количества кислорода и питательных веществ из-за недостаточного кровоснабжения. Это может произойти в результате различных факторов, основными из которых являются атеросклероз, артериальная гипертензия, диабет. ➡️ В результате в веществе головного мозга происходит постепенное замещение нормальной мозговой ткани клетками глии - появляются очаги и фокусы глиоза. 👀 По МРТ в первую очередь мы оцениваем эти изменения на T2 ВИ и импульсной последовательности FLAIR, на которых очаги глиоза имеют гиперинтенсивный МР-сигнал, по Т1 ВИ данные очаги могут быть изо-гипоинтенсивны. Данные очаги зачастую сливаются в зоны глиоза, на фоне которых мы нередко видим лакунарные кисты - последствия лакунарных инсультов. 🖥 Данные изменения выявляются у пациентов после 60-65 лет - с такими пациентами врач-рентгенолог сталкивается каждую смену. 📎В случае обнаружения подобных изменений рентгенол

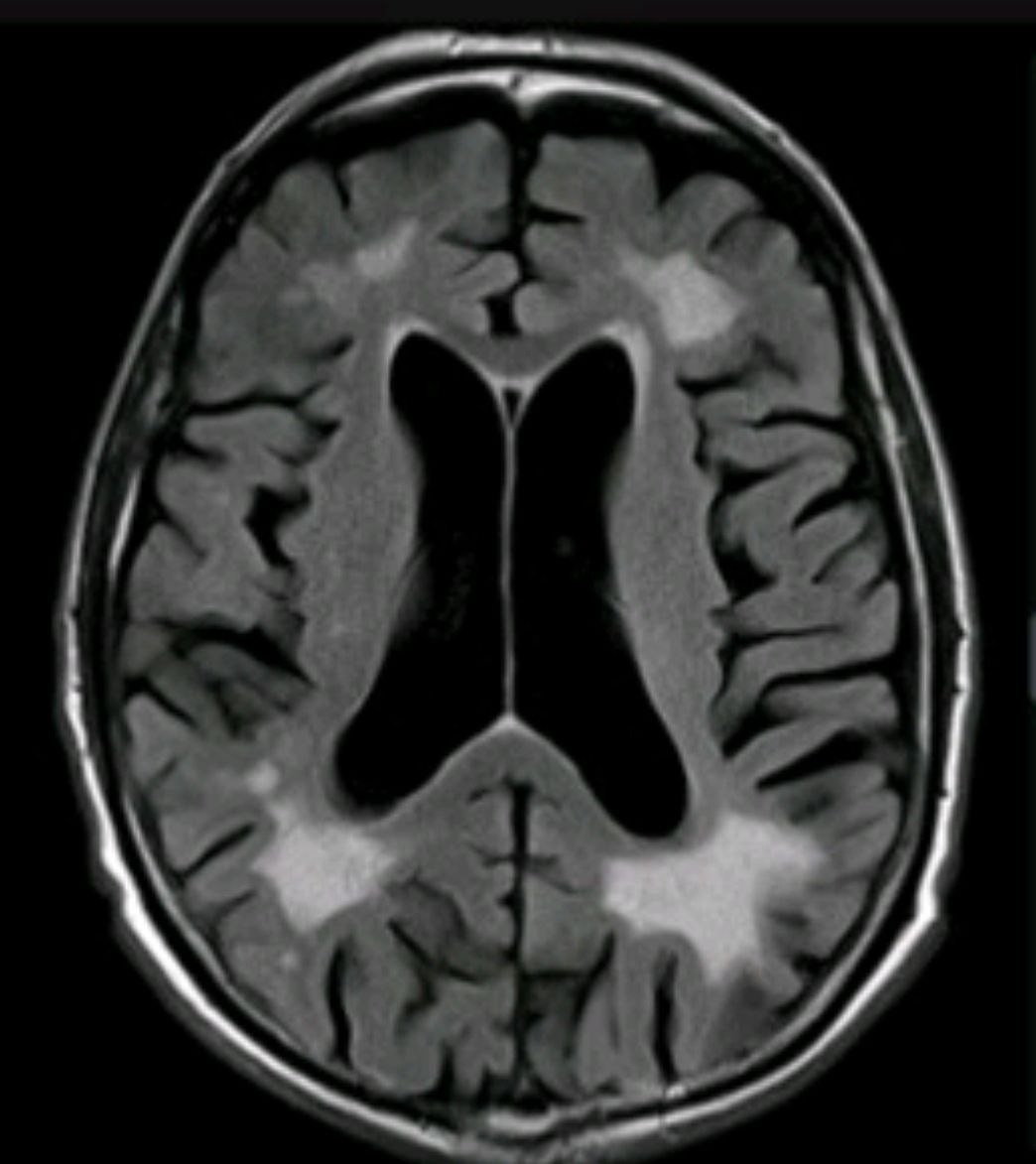
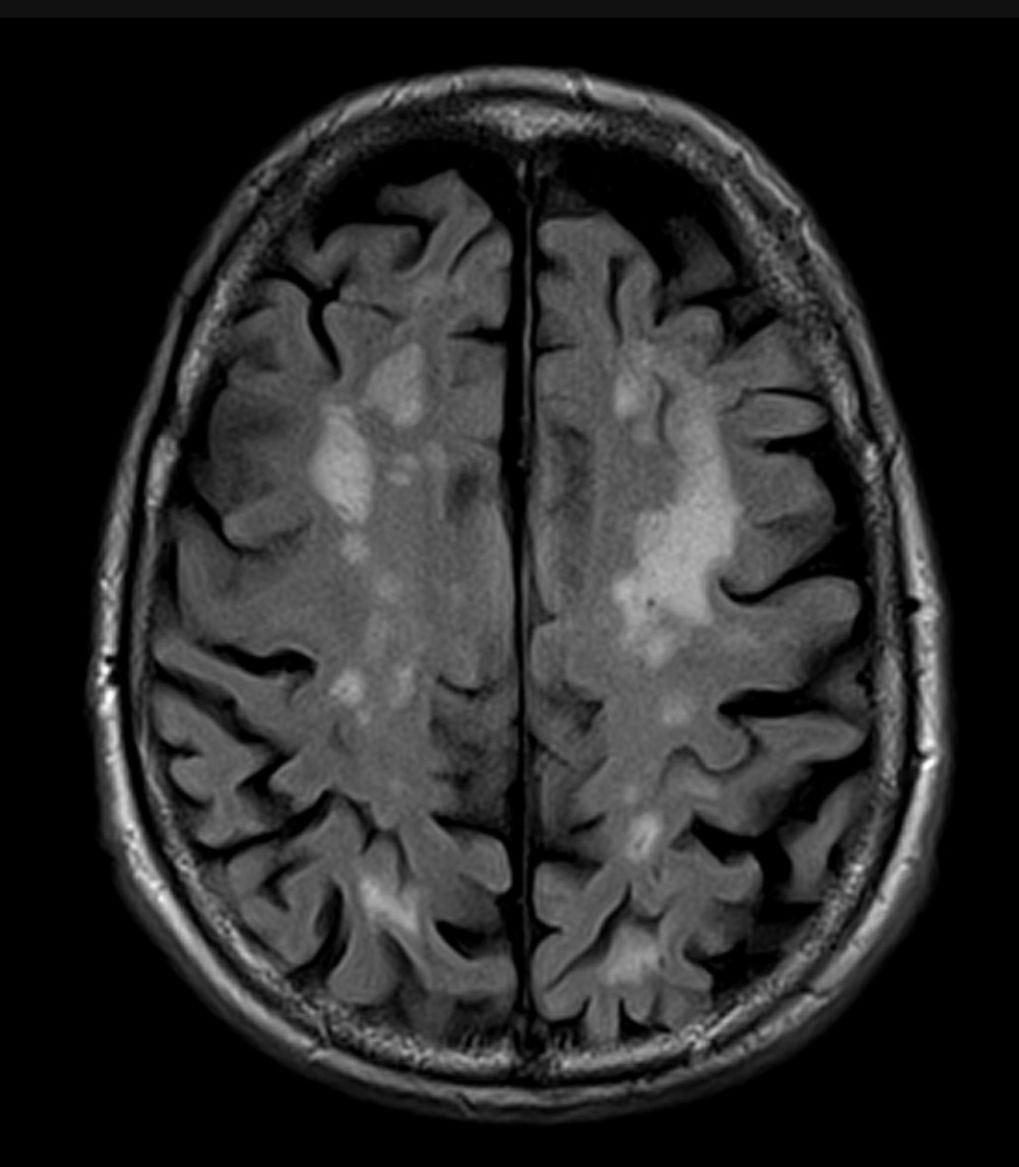
🧠 Хроническая ишемия головного мозга — это состояние, при котором ткань головного мозга не получает достаточного количества кислорода и питательных веществ из-за недостаточного кровоснабжения. Это может произойти в результате различных факторов, основными из которых являются атеросклероз, артериальная гипертензия, диабет.

➡️ В результате в веществе головного мозга происходит постепенное замещение нормальной мозговой ткани клетками глии - появляются очаги и фокусы глиоза.

👀 По МРТ в первую очередь мы оцениваем эти изменения на T2 ВИ и импульсной последовательности FLAIR, на которых очаги глиоза имеют гиперинтенсивный МР-сигнал, по Т1 ВИ данные очаги могут быть изо-гипоинтенсивны.

Данные очаги зачастую сливаются в зоны глиоза, на фоне которых мы нередко видим лакунарные кисты - последствия лакунарных инсультов.

🖥 Данные изменения выявляются у пациентов после 60-65 лет - с такими пациентами врач-рентгенолог сталкивается каждую смену.

📎В случае обнаружения подобных изменений рентгенолог порекомендует консультацию невролога, кардиолога, а ещё неплохо было бы сделать КТ ангиографию брахиоцефальных артерий на интра- и экстракраниальном уровне и оценить просвет внутренних сонных артерий на предмет наличия стенозов за счёт атеросклеротических бляшек.

---------------------------------------------------------

Материалы для подготовки к занятиям и экзаменам для студентов медицинских ВУЗов смотрите тут.