Найти в Дзене

Лечение дистального прикуса и скученности зубов с помощью брекет-системы

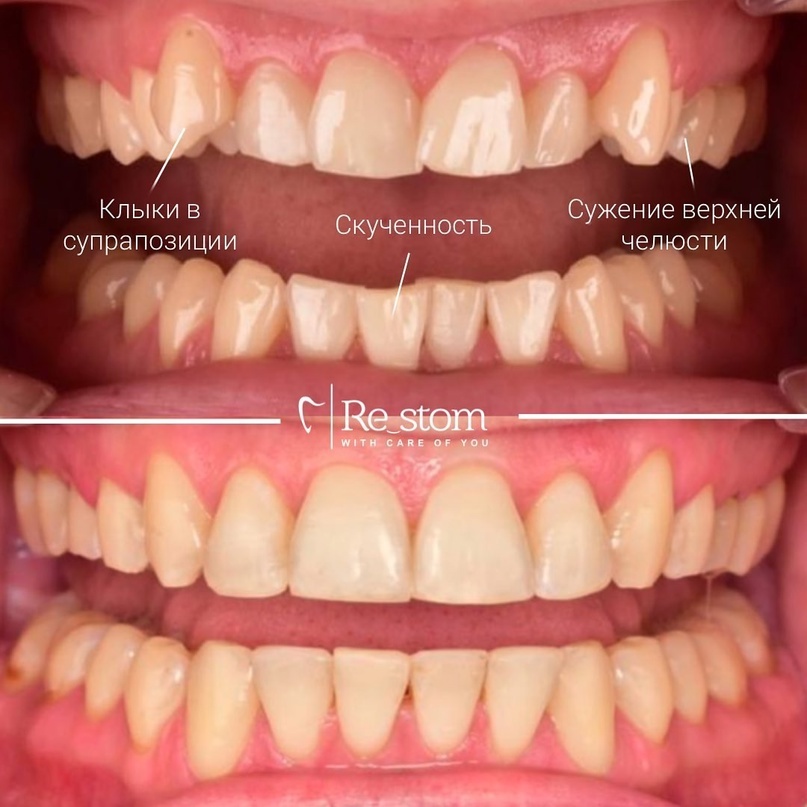
Исходная ситуация: • дистальный прикус - нижняя челюсть смещена назад • верхняя челюсть сужена • скученность зубов верхней и нижней челюсти • клыки верхней челюсти находились в супрапозиции - выше, чем в норме ⠀ Ход лечения: 1. Подготовительный этап • после консультации и диагностики мы выбрали для лечения брекет-систему • провели профессиональную гигиену полости рта, чтобы убрать зубной налёт • провели санацию полости рта: вылечили все зубы 2. Установка брекет-системы Зафиксировали брекет-систему на верхнюю и нижнюю челюсть и начали лечение. 3. Лечение ⠀ Во время лечения пациент каждый месяц приходил на активацию - замену дуги на более сильную. 4. Снятие брекетов Мы убедились в соответствии результата нашему плану и сняли брекет-систему. После снятия провели профессиональную гигиену полости рта и полировку зубов. 5. Установка ретейнеров После снятия брекетов мы установили ретейнеры на обе челюсти, чтобы стабилизировать результат лечения. Какой результат мы получили В результате мы пол

Исходная ситуация:

Лечение дистального прикуса и скученности зубов с помощью брекет-системы в клинике Рестом
Лечение дистального прикуса и скученности зубов с помощью брекет-системы в клинике Рестом

• дистальный прикус - нижняя челюсть смещена назад

• верхняя челюсть сужена

• скученность зубов верхней и нижней челюсти

• клыки верхней челюсти находились в супрапозиции - выше, чем в норме

Ход лечения:

Лечение дистального прикуса и скученности зубов с помощью брекет-системы в клинике Рестом
Лечение дистального прикуса и скученности зубов с помощью брекет-системы в клинике Рестом

1. Подготовительный этап

• после консультации и диагностики мы выбрали для лечения брекет-систему

• провели профессиональную гигиену полости рта, чтобы убрать зубной налёт

• провели санацию полости рта: вылечили все зубы

2. Установка брекет-системы

Зафиксировали брекет-систему на верхнюю и нижнюю челюсть и начали лечение.

3. Лечение

⠀ Во время лечения пациент каждый месяц приходил на активацию - замену дуги на более сильную.

4. Снятие брекетов

Мы убедились в соответствии результата нашему плану и сняли брекет-систему.

После снятия провели профессиональную гигиену полости рта и полировку зубов.

5. Установка ретейнеров

После снятия брекетов мы установили ретейнеры на обе челюсти, чтобы стабилизировать результат лечения.

Лечение дистального прикуса и скученности зубов с помощью брекет-системы в клинике Рестом
Лечение дистального прикуса и скученности зубов с помощью брекет-системы в клинике Рестом

Какой результат мы получили

Обратите внимание, как изменился угол нижней челюсти после лечения.
Обратите внимание, как изменился угол нижней челюсти после лечения.

В результате мы получили ровную широкую и симметричную улыбку. Устранили дистальный прикус и вернули нижнюю челюсть в правильное положение. Убрали скученность и восстановили форму дуги зубного ряда.

Обратите внимание, как изменился угол нижней челюсти после лечения.

⠀ Хотите изменить улыбку?

📲 запишитесь на консультацию через WhatsApp: по номеру +7 (981) 764 04 14

__________

#брекеты #брекетыдопосле #брекетыспб #брекетыдопослеспб #брекетыdamon #самолигирующиебрекеты #ортодонтспб #ортодонтпетроградская #элайнеры #элайнерыспб