Найти в Дзене
Екатерина Ляпина

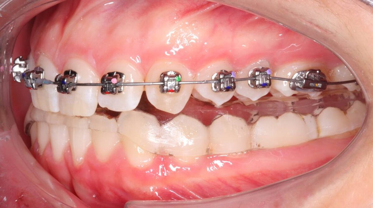
Правильно поняли только врачи

Правильно поняли только врачи 😄 На фото - лечение дисфункции сустава (дВНЧС) Пациентка прошла лечение каппой (сплинтом). После сплинта мы должны зафиксировать позицию нижней челюсти. В этой ситуации высота разобщения на каппе была очень большой, что связано с большим объемом дистракции в суставе. По МРТ хотелось сделать даже бОльшую дистракцию в суставе, но есть биологические лимиты. Боялись не досомкнуть зубы 🦷 После каппы поставили накладки на 6,7 на нижних зубах. Накладки из пластмассы PMMA, они временные ( и большие, да) За 2 месяца ношения слабых эластиков сомкнули зубы. Далее накладки будут сошлифованы, тотальное протезирование в молодом возрасте пациентки мы не планируем (18 лет). Для врачей: накладки сделаны в цифре. На вч 19*25 тма, на нч работали 2,5-3,5 oz эластиками начиная с первых дуг. Может пойти побочка в виде ротаций зубов и язычного наклона, поэтому силы слабые. Сейчас на нч 14*25 CuNiTi, чтобы исправить побочки в виде ротаций. Схему ношения эластиков приложил

Правильно поняли только врачи 😄

На фото - лечение дисфункции сустава (дВНЧС)

Пациентка прошла лечение каппой (сплинтом). После сплинта мы должны зафиксировать позицию нижней челюсти. В этой ситуации высота разобщения на каппе была очень большой, что связано с большим объемом дистракции в суставе.

По МРТ хотелось сделать даже бОльшую дистракцию в суставе, но есть биологические лимиты. Боялись не досомкнуть зубы 🦷

После каппы поставили накладки на 6,7 на нижних зубах. Накладки из пластмассы PMMA, они временные ( и большие, да)

За 2 месяца ношения слабых эластиков сомкнули зубы. Далее накладки будут сошлифованы, тотальное протезирование в молодом возрасте пациентки мы не планируем (18 лет).

Для врачей: накладки сделаны в цифре. На вч 19*25 тма, на нч работали 2,5-3,5 oz эластиками начиная с первых дуг. Может пойти побочка в виде ротаций зубов и язычного наклона, поэтому силы слабые. Сейчас на нч 14*25 CuNiTi, чтобы исправить побочки в виде ротаций. Схему ношения эластиков приложила 💋

-2
-3